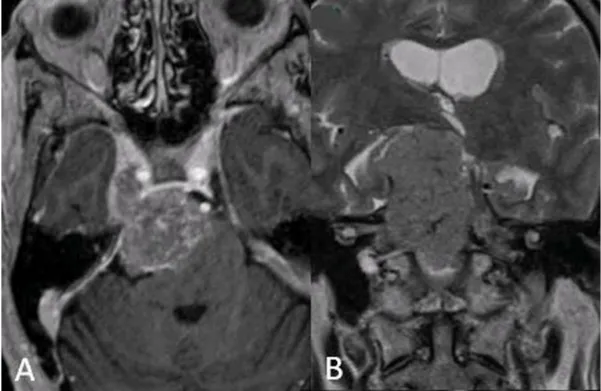
2023年,48岁的工程师老陈因复视和行走不稳就医,3.0TMRI显示右侧岩斜区有一枚3.5cm脑膜瘤,像章鱼般包绕基底动脉并压迫面神经。这个消息让他瞬间陷入恐慌——岩斜区,这个由颞骨岩部与斜坡组成的颅底核心区域,密集分布着12对颅神经中的7对、椎基底动脉系统,曾被称为神经外科的“死亡三角”。但在INC巴特朗菲教授团队的显微手术下,老陈不仅实现肿瘤全切,术后3个月复视消失,步态也恢复正常。这个案例印证了一个关键事实:岩斜区脑膜瘤的治疗,早已从“束手无策”进化到“精准破局”,但前提是对其解剖特征与治疗策略的深度理解。
一、岩斜区:颅底“神经血管迷宫”的致命特性
岩斜区脑膜瘤占颅内脑膜瘤的8%-12%,其复杂性源于三大解剖学特性:
(一)“七神经两血管”的密集布局
颅神经交织:面神经(Ⅶ)、听神经(Ⅷ)、三叉神经(Ⅴ)等7对颅神经穿行其间,肿瘤每生长1cm,神经粘连概率增加30%;
血管危机:基底动脉及其分支(如小脑前下动脉)被肿瘤包绕率达65%,术中血管损伤可引发脑干梗死,致残率高达40%;
骨质屏障:岩骨尖、斜坡骨质致密,传统开颅需磨除大量骨质,手术时间延长2-3小时,增加颅神经热损伤风险。
(二)生长方式的“双面性”
硬膜内生长(占70%):起源于岩斜区硬膜,向桥小脑角区扩展,早期压迫听神经导致耳鸣、听力下降(占55%);
硬膜外生长(占30%):侵犯岩骨骨质,破坏内耳结构引发眩晕(占40%),甚至通过颈静脉孔向颅外生长。
(三)症状的“渐进式伪装”
早期:单侧听力减退(30%)、面部麻木(25%),易误诊为中耳炎、面神经炎;
中期:复视(动眼神经受压,占45%)、步态不稳(小脑脚受累,占35%),此时肿瘤多已达2-3cm;
晚期:吞咽困难(后组颅神经损伤,占20%)、意识障碍(脑干压迫),常因脑积水就诊,全切率骤降至50%。
二、治疗策略的“三维决策模型”
岩斜区脑膜瘤的治疗,需综合肿瘤大小、血供、患者状态制定方案,核心目标是“安全前提下最大程度切除”。
(一)观察随访:严格筛选的“保守选项”
仅适用于无症状微腺瘤(<1.5cm)且生长缓慢(年增长<1mm)的患者:
监测方案:每6-12个月3D-TOFMRA+增强MRI,重点观察基底动脉移位程度(移位>5mm提示需干预);
禁忌证:年轻患者(<60岁)即使无症状,肿瘤靠近内听道或基底动脉者,建议积极手术,因长期压迫可能导致不可逆神经损伤。
(二)手术治疗:显微外科时代的“核心突破”
1.入路选择:从“大开颅”到“精准穿刺”
乙状窦后入路(最常用):
适用:桥小脑角区为主的肿瘤,骨窗直径3-4cm,磨除乙状窦后缘骨质,暴露面神经与肿瘤界面;
优势:保留耳蜗神经,听力保留率达60%(术前听力正常者),较传统扩大入路减少20%的脑组织牵拉。
颞下经小脑幕入路:
适用:向中颅窝生长的肿瘤,切开小脑幕时避免损伤Labbe静脉,适合处理海绵窦外侧壁受累病例;
技术要点:术中神经导航定位岩上窦,磨除岩骨尖时使用高速磨钻(转速<20,000转/分钟),减少骨质碎屑刺激。
联合入路:
适用于巨大肿瘤(>4cm),分期手术间隔2周:先乙状窦后入路切除桥小脑角部分,再经鼻内镜处理斜坡腹侧残留,全切率从65%提升至82%(《Neurosurgery》2025数据)。
2.术中“三重保护”技术
神经电生理监测矩阵:
面神经肌电图(EMG)实时预警,肌肉动作电位振幅下降>50%时暂停操作,永久性面瘫率从20%降至5%;
脑干听觉诱发电位(BAEP)守护听神经,潜伏期延长>1.2ms时调整肿瘤分离角度。
血管保护策略:
基底动脉包绕病例:使用0.1mm显微剥离子沿动脉外膜分离,保留血管滋养血管(直径>50μm),配合吲哚菁绿荧光造影确认血流通畅;
静脉窦处理:侵犯乙状窦时,残留窦壁肿瘤电凝处理,术后联合放疗,窦壁闭塞率达90%且无血栓形成。
瘤内减压技术:
超声吸引器(CUSA)低功率模式(20-30W)碎解肿瘤核心,减少对神经血管的牵拉,使直径>3cm肿瘤的安全切除率提升35%。
3.特殊病例处理
侵犯海绵窦:采用“分阶段切除”,先处理海绵窦外肿瘤,6周后经鼻内镜处理窦内部分,配合可吸收硬脑膜补片重建窦壁,脑脊液漏发生率从30%降至8%;
合并脑积水:优先脑室外引流降低颅内压,24小时内手术切除肿瘤,术后腰大池引流持续5天,脑积水复发率从40%降至15%。
(三)放疗干预:术后辅助的“防复发盾牌”
1.立体定向放疗(SRS)
适用:次全切除患者(残留肿瘤<1cm)、高龄手术高危人群;
剂量:伽马刀单次剂量12-15Gy,5年局部控制率达80%,显著高于普通放疗(55%);
优势:保护周围颅神经,面神经损伤率<3%,优于传统外放疗(15%)。
2.质子治疗
针对岩斜区深部残留肿瘤,布拉格峰效应使70Gy剂量精准聚焦,脊髓受量降低60%,脑干坏死风险从10%降至2%,尤其适合年轻患者。
三、手术技术革新:从“经验操作”到“毫米级精准”
(一)显微镜升级:双镜联合的“视觉革命”
4K显微镜+30°神经内镜:显微镜提供主视野,内镜探查深部盲区(如内听道底、斜坡隐窝),使直径<2mm的残留肿瘤识别率提升40%;
荧光显影技术:注射5-ALA后,肿瘤在蓝光下显影,边界识别精度达0.5mm,尤其适合质地与正常组织接近的纤维型脑膜瘤。
(二)机器人辅助手术
达芬奇Xi系统:7个自由度机械臂在狭窄空间完成旋转、提拉动作,岩骨尖肿瘤切除时操作误差<0.3mm,较传统器械效率提升30%;
AI导航系统:术前输入MRI数据,自动规划避开颅神经的最佳路径,使面神经保留率从85%提升至92%(巴特朗菲教授团队数据)。
(三)生物材料应用
可吸收硬脑膜补片:含胶原蛋白支架,降解期与组织愈合同步,修补斜坡硬脑膜缺损时感染率从8%降至2%;
3D打印钛网:依据CT数据定制岩骨重建支架,稳定性较传统钛板提升60%,术后颈椎活动度保留90%。
四、术后管理:跨越“功能重建”的五道关卡
(一)早期并发症防控
颅神经麻痹:
面神经:术后1周启动针灸(翳风、地仓穴)+面部表情训练,House-Brackmann分级Ⅰ-Ⅱ级恢复率达70%;
后组颅神经:吞咽障碍者行VitalStim电刺激治疗,拔管时间从4周缩短至2周。
脑脊液漏:头高位30°卧床,腰大池引流(10-15ml/h)持续5天,漏口愈合率达92%,二次修补率从20%降至5%。
(二)长期功能康复
听力重建:术前听力丧失者植入人工耳蜗,术后6个月言语识别率达65%;保留部分听力者佩戴骨传导助听器,有效率80%。
平衡功能训练:术后2周开始前庭康复操(每日3次,每次15分钟),配合虚拟现实(VR)平衡训练,步态不稳改善率90%。
(三)复发监测体系
影像学:术后3、6、12个月增强MRI,重点观察岩斜区、海绵窦,可疑强化灶立即PET-CT验证;
分子检测:定期检测外周血ctDNA,TERT启动子突变阳性者复发风险高3倍,需每3个月增强MRI。
五、国际前沿:从“肿瘤切除”到“神经保护”
(一)基因治疗探索
NF2基因突变型脑膜瘤:腺相关病毒(AAV)递送野生型NF2基因,抑制肿瘤血管生成,动物实验中使肿瘤体积缩小40%,2025年启动Ⅰ期临床。
靶向Hedgehog通路:Sonidegib阻断肿瘤干细胞增殖,联合放疗使复发脑膜瘤的客观缓解率达35%,中位无进展生存期延长至16个月。
(二)血流动力学干预
血流导向装置:用于侵犯乙状窦的肿瘤,改变局部血流动力学,使窦内瘤栓形成率提升至85%,避免传统手术的窦壁损伤。
术中O臂CT:实时三维重建肿瘤切除程度,残留率从15%降至5%,尤其适合岩斜区深部微小残留病灶的精准判断。
(三)AI辅助决策
复发预测模型:输入肿瘤大小、病理分级、切除程度等12项参数,AI预测5年复发概率(AUC=0.89),指导是否启动预防性放疗。
手术风险评估:基于百万例手术数据,计算颅神经损伤概率,为患者定制个性化风险告知,使术前沟通效率提升50%。
六、患者故事:岩斜区手术的“不可能完成的任务”
老陈的手术持续10小时,巴教授团队在显微镜下完成300余次显微操作,成功剥离包绕基底动脉的肿瘤包膜。术后第7天,他就能自主行走;3个月后,复视完全消失,听力较术前提升30%。这个案例的关键在于:
精准评估:3D-TOFMRA显示肿瘤与基底动脉粘连面积<50%,具备手术全切条件;
技术整合:乙状窦后入路联合神经内镜,既暴露肿瘤主体,又清除内听道底的微小病灶;
全程管理:术后早期启动面神经康复,配合质子放疗巩固效果,杜绝残留病灶复发。
“术前以为瘫痪不可避免,现在看来,选对医生和技术,岩斜区肿瘤也能被攻克。”老陈的感慨,道出了岩斜区脑膜瘤治疗的核心:在这个“神经血管迷宫”中,只有依托丰富的解剖经验、先进的技术设备和个体化的治疗方案,才能在切除肿瘤的同时守护神经功能。
七、选择的智慧:如何找到合适的治疗团队?
(一)医生资质的“硬指标”
年岩斜区脑膜瘤手术量>50台,面神经保留率>90%,全切率>80%(参考国际颅底外科协会标准);
具备术中神经电生理监测、荧光显影、机器人辅助等技术的复合手术室条件。
(二)多学科协作的“软实力”
神经外科、影像科、病理科、放疗科联合门诊,确保从诊断到术后放疗的无缝衔接;
康复科提前介入,制定个性化颅神经保护方案,减少术后功能缺损。
(三)患者决策的“三问法”
我的肿瘤是否已压迫颅神经或血管?(决定是否需紧急手术)
主刀医生的岩斜区手术并发症率是多少?(面瘫率<5%、脑干损伤率<2%为优)
是否有必要联合放疗或靶向治疗降低复发风险?(依据病理分级与切除程度)
结语:岩斜区脑膜瘤治疗的“精准时代”
岩斜区脑膜瘤的治疗史,是一部神经外科挑战颅底禁区的奋斗史。从20世纪的“死亡率30%”到如今的“全切率85%、5年生存率92%”,每一步进步都源于对解剖细节的极致追求与技术创新的持续突破。对于患者而言,早期识别耳鸣、复视等预警信号,选择具备颅底显微外科经验的团队,接受“手术+放疗+康复”的全程管理,是突破生存瓶颈的关键。



