inc国际神经外科医生集团
导航
(爱恩希)INC国际咨询电话

手术纪实案例

出国治疗脑瘤患者案例
当前位置:INC > 手术纪实
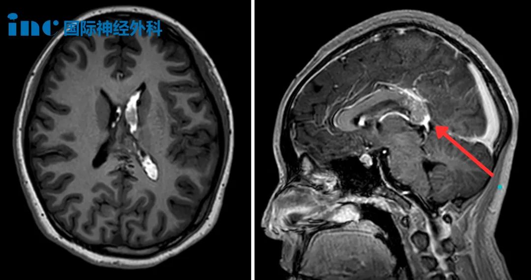
12岁男孩患罕见脑瘤,父母拼尽全力守住关键「第一刀」,不开颅肿瘤竟然消失了?

12岁男孩患罕见脑瘤,父母拼尽全力守住关键「第一刀」,不开颅肿瘤竟然消失了?

罹患脊索瘤,就像野火烧不尽,春风吹又生。只要第一刀没做好,后面就无穷无尽。 在决定为12岁的儿子小海进行脊索瘤手术前,他的父母疯狂查资料、搜集信息,为了只是帮助孩子更好、更快...

2026-05-15 14:56:46
查出脑干占位就一定是肿瘤?三位患者,三个反转,国际神外专家如何一眼看穿真相?

查出脑干占位就一定是肿瘤?三位患者,三个反转,国际神外专家如何一眼看穿真相?

对于中年的TA们来说,正值人生上升期,却都接连被诊断为脑干病变。但情况却截然不同,一个怀疑胶质瘤建议直接放化疗;一个一直都无法明确诊断;一个在脱髓鞘的诊断中徘徊3年在辗转多家...

2026-05-14 09:59:49
天坛医院手术纪实 | “谁能看出我刚做完手术?”疑难脑瘤开颅后,网友祝福刷屏!

天坛医院手术纪实 | “谁能看出我刚做完手术?”疑难脑瘤开颅后,网友祝福刷屏!

小小脑瘤,拿下!大脑出了点状况,特意请来了国际神外大咖帮我修复了Bug,我又活过来啦!罹患颅咽管瘤的武女士(化名)在社交媒体上激动分享了自己成功开颅手术后的喜悦,无数网友为她...

2026-05-13 09:38:33
脑干查出不明病变,先活检还是直接切除?一对夫妻的30天理性自救

脑干查出不明病变,先活检还是直接切除?一对夫妻的30天理性自救

查出疑难脑瘤,怎么办? 每个家庭都不希望发生这样的事情,但是我觉得发生这样的事情后就要积极的去寻找能够有效解决问题的方式。不能乱了方寸,要知道到底怎么样去解决,找谁去解决...

2026-05-09 10:25:55
“生命就在那一刀下!”脑瘤放疗后脸部疯狂抽动,一台手术如何找回明媚人生?

“生命就在那一刀下!”脑瘤放疗后脸部疯狂抽动,一台手术如何找回明媚人生?

罹患疑难脑瘤,第一刀究竟有多重要? 我的建议是,发现生病不要气馁,而且不要随便下决定。如果找不到对症的教授的话,生命其实就在那一刀下呀,对不对?看不好的话,尤其是女孩子就...

2026-04-30 09:47:10
8月龄婴儿查出脑瘤,父母陷入两难:等长大还是立刻手术?国际专家给出了答案

8月龄婴儿查出脑瘤,父母陷入两难:等长大还是立刻手术?国际专家给出了答案

对于家长而言,孩子确诊脑瘤犹如晴天霹雳,恨不能立刻手术一刀了断。然而当孩子年幼,甚至不满1岁时,很多的家属都有着许多类似的担忧:幼小的他们是否能够耐受这样大的开颅手术?肿...

2026-04-28 10:24:01
德国精英高管罹患高难延髓肿瘤,全球寻医,为何坚定选择了在华手术?

德国精英高管罹患高难延髓肿瘤,全球寻医,为何坚定选择了在华手术?

同为延髓肿瘤,走向不同命运的他们 一名21岁的女性,突发头痛,伴有恶心和严重的弹射性呕吐,整整持续了12小时。随着头痛不断加重,在症状出现12小时后入院,随后迅速进展为深度昏迷,...

2026-04-17 10:44:20
“走,吃火锅去!”1年前,35岁的他因脑干胶质瘤,差点放弃一切

“走,吃火锅去!”1年前,35岁的他因脑干胶质瘤,差点放弃一切

当查出脑瘤,恐惧手术,甚至想要放弃治疗时,家人的支持究竟意味着什么? 手术后,巴教授亲自告诉我手术成功全切时,我真的太高兴了!38岁的王先生脑干胶质瘤开颅手术已经一年多了,妻...

2026-04-11 10:45:17
手术很成功,33岁青年企业家却选择“提前退休”:胶质瘤治疗,他说这4个阶段最关键

手术很成功,33岁青年企业家却选择“提前退休”:胶质瘤治疗,他说这4个阶段最关键

33岁青年企业家正值事业高峰,突然决定提前退休?背后究竟有着怎样的故事? 2025年,申先生在例行体检时意外地查出了胶质瘤,当时没有任何症状的他,果断选择了开颅手术,胶质瘤被扩大...

2026-04-04 11:34:58
患者自述 |“手术风险巨大、也不能再放疗!”脑膜瘤复发却求医无门,她该怎么办?

患者自述 |“手术风险巨大、也不能再放疗!”脑膜瘤复发却求医无门,她该怎么办?

都说脑膜瘤是惰性肿瘤,不着急治。可谁能想到,这所谓的良性肿瘤,竟纠缠了我整整23年。一次开颅,两次伽马刀,仍无法阻止它的卷土重来。61岁的我,跑遍南北,得到的结论却出奇一致:...

2026-03-05 10:19:18
加班后身体一侧突然发麻,当查出可怕的脑干“肿瘤”,我花了4年才走上手术台

加班后身体一侧突然发麻,当查出可怕的脑干“肿瘤”,我花了4年才走上手术台

人生的道路虽然漫长,但紧要处常常只有几步。没有一个人的生活道路是笔直的,没有岔道的。走错一步,就可以影响人生的一个时期,也可以影响一生。 作家柳青 2021年,在经历4年的反复权...

2026-02-06 09:40:52
当医生自己查出脑干肿瘤,他脑子里第一句话是:“做完手术要是不能动了,怎么办?”

当医生自己查出脑干肿瘤,他脑子里第一句话是:“做完手术要是不能动了,怎么办?”

做了30年麻醉,我见过太多手术场景,知道担心没用。能安排都安排好了,剩下的,就交给医生和运气。 52岁的刘先生是一名麻醉科医生他守护过数不清的紧张时分,安抚过形形色色的病人,却...

2026-01-31 13:37:53
2次开颅+1次质子后又复发,但父母的爱可抵万难!5岁室管膜瘤男孩在这天迎来新生

2次开颅+1次质子后又复发,但父母的爱可抵万难!5岁室管膜瘤男孩在这天迎来新生

INC巴教授示范手术 2026.01.25 1月25日,INC 2026年度学术交流盛会持续进行。在结束第五届世界神经外科顾问团云端峰会的行程后,作为INC国际神经外科医生集团旗下世界神经外科顾问团(WANG)成员...

2026-01-27 10:41:32
当医生告知胶质瘤开颅可能会瘫痪,我却坚持手术:1个月后,我带着家人到处旅行

当医生告知胶质瘤开颅可能会瘫痪,我却坚持手术:1个月后,我带着家人到处旅行

我是莫女士,今年41岁。在很多人眼里,我大概属于那种停不下来的人职场里带着团队往前冲,回家后陪孩子读书运动,生活好像永远紧锣密鼓,却也让我觉得充实。 直到2022年11月3日,一切突...

2026-01-20 10:39:01
“手术成功,一年半后我生下健康宝宝!”备孕前查出脑干海绵状血管瘤,她如何解?

“手术成功,一年半后我生下健康宝宝!”备孕前查出脑干海绵状血管瘤,她如何解?

得了脑干海绵状血管瘤还能怀孕并成为母亲吗?脑干海绵状血管瘤患者怀孕后出血风险高的原因是什么?是否需要手术? 这是一个困扰许多患有脑干海绵状血管瘤的女性的问题,萱萱,一位3...

2026-01-18 19:42:00