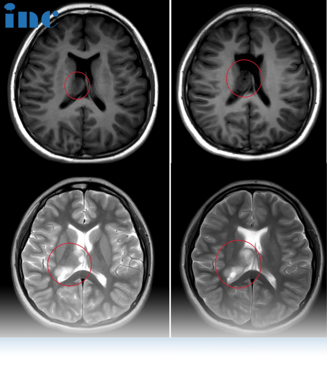
孩子生了病,当家长的比谁都着急,就算是是拼尽,都想着替孩子把病治好。诊室迎来新的患者,一位13岁脑瘤患儿小樱的母亲。在此之前为了评估患儿的情况,巴教授已经看过小樱的视频以及病历资料。“我研究了现在的影像和之前的影像对比,肿瘤已经变大了,从现在这个情况看,我认为是可以进行手术。”21年5月巴教授来华期间,小樱父母就选择与巴教授进行面对面咨询,当时肿瘤还没有进展,因此没有选择手术。但这一次再次对比影像,没想到病情进展了……

小樱在7岁时因身体不适查出颅内病变,在2017年7月,进行了开颅手术治疗,手术前医生考虑是囊肿,术中发现是肿瘤,只切了绿豆大小的一点,因为病理组织少,后来去其他医院重新做病理时无法确诊,因此诊断都比较模糊。因此小樱父母想要为女儿切除剩下的肿瘤,但是主刀医生说不能再手术,放疗也不建议,让咨询化疗。前往北京的医院,医生让复查病理,说影像特点不像一级,但因为切片少不好定论,让家属去其他医院。术后复查时外科,放疗,化疗专家都说定期复查就行。然而到了2018年北京某医院再次咨询,又建议赶紧放疗。
庆幸的是,小樱一直没有任何异常,像正常人一样饮食、生活、学习。咨询的一位老专家建议什么也别做,对孩子来说生活质量比生存周期重要得多,综合考虑后,父母放弃治疗回家。现在的小樱是父母心中的乖女儿,成绩优异,运动能力也很强。但是父母之爱子则为之计深远,对于孩子脑子里面的肿瘤人心存忌惮,如果可以顺利手术,孩子就可以的摆脱它,健康成长。
巴教授面对面咨询评估:
小樱母亲:现在就需要手术吗?
巴教授:肿瘤以一种弯曲不同的方式在侧脑室中生长。保守并不是个好主意,因为肿瘤会继续生长。手术并不紧急,但是这个孩子为什么要等待呢?如果她现在没有症状,这是较好的机会。如果她出现了症状,那么肿瘤已经到了晚期,那就很糟糕了。
小樱母亲:手术的话,位置好做吗,风险大吗?能切除多少?
巴教授:我经常做这类手术,我可以操作这个。切除率至少90%。如果可以的话,我可以尝试将肿瘤完全切除,但现在我还不能确定,因为肿瘤的形状太奇怪了。
小樱母亲:小孩术后会不会出现后遗症?
巴教授:我曾为许多脑室内肿瘤做过手术,没有出现过并发症。对于这个病例,我也能做到这一点。
小樱母亲:头发得剃光头吗?
巴教授:不,只是一小部分,但我们会从原来的手术切口进去。我的做法和之前的手术不同,我们会部分利用旧切口然后在另一侧做一个新切口,不过没关系,前面的头发会留下来。
小樱母亲:手术是在苏州独墅湖医院做吗?
巴教授:是的,手术可以做得很好,在这里手术中会使用术中核磁共振仪器。
小樱母亲:这几天如果要排上可以吗?
巴教授:可以。
孩子脑干胶质瘤,放疗症状加重,术后可以恢复正常吗?
“面瘫、喝水偶尔呛咳、近期右侧肢体还是无法使用……”又一位脑干胶质瘤患儿升升的父亲来到了咨询室,此时的他已经心急如焚。然而为了更好的帮助孩子问诊,他还是保持沉稳冷静,细心的将新拍的孩子视频给到教授看。
巴教授面对面咨询评估:
脑干胶质瘤放疗后并没有缓解孩子的情况,甚至加重,接下来该如何治疗?还能手术吗?听完这位父亲的描述,并问诊、审阅各种影像报告后,巴教授表示:对如此较大的肿瘤进行放射治疗,总会出现一些水肿,然后水肿就没有空间了,这就是为什么孩子根本没有动作能力。因此,如果我们进行手术,也许几天后他的活动能力就会慢慢恢复。不管怎么样,我们应该做手术。他应该明白,如果不做手术,男孩恢复到良好水平的机会渺茫。原因是肿瘤体大,我们需要缩小它。这是一种高级别肿瘤,但它是局灶性的,我做过很多这样的手术。
升升爸爸:孩子的手术可以等吗?
巴教授:这是一个比较急的病例,如果要做就是早做,肿瘤体积如此之大,进行放射治疗毫无意义,我们应该切除肿瘤。我不建议在等两三周。如果再等两三周,孩子可能就无法再吞咽了,或者得了肺炎什么的,情况就会变得复杂。这种情况真的很紧急。
升升爸爸:现在做的放疗对手术有没有影响?
巴教授:我们可以停止放疗,手术后再继续放疗。无论如何,放疗都应该在手术后进行,但现在它们已经开始了。这没问题,我们可以停止放疗,进行手术,一到两周后再继续放疗。在此期间,我们会有一个准确的组织病理学结果,他们以后可以增加靶向化疗。
升升爸爸:他术后能够恢复到正常的状况吗?
巴教授:当然,机会还是有的。但如果我们等得太久,他就会高度瘫痪。在儿童中,即使是瘫痪,手术后也可能恢复很好。



