毛细胞星形细胞瘤是生长缓慢的肿瘤,具有可膨胀的生长模式,几乎没有扩散的倾向,总的来说,预后良好,如国际卫生组织等级(一级)所示。这些肿瘤主要发生在儿童和年轻人中,但可能在晚年才出现症状。在临床上,肿瘤较常见的关联是头痛或者癫痫发作,并且很少出现局灶性缺陷,除非它们发生在视觉通路中。
临床上重要的是这些肿瘤发生在脑干,在那里它们可能被误认为是弥漫浸润的纤维星形细胞瘤。与原纤维性星形细胞瘤相比,明亮增强的外部生长毛细胞性星形细胞瘤的预后好得多。这些肿瘤的少见例子已被描述为进展,较常见的是来自20岁以上患者诊断的视神经。同样,较常见于视交叉和下丘脑内或周围的毛索样星形细胞瘤有早期复发和浸润的倾向,这一事实导致世卫组织委员会将这一不同变异体升级为二级肿瘤。
毛细胞型星形细胞瘤是较常见的颅内肿瘤ⅰ型神经纤维瘤病这些病变主要局限于视神经。
临床特征
毛细胞星形细胞瘤的总发病率为每年每100,000人中0.31例。它们占儿童中枢神经系统肿瘤的23.5%,是儿童神经胶质瘤较常见的变体。[8]当特定年龄组的发病率上升到每年每100,000人中0.70时,肿瘤较常影响生命的前20年。在美国,毛细胞星形细胞瘤表现出明显的种族倾向差异,白人的发病率为0.31,黑人为0.16。然而,没有性别优势。
毛细胞星形细胞瘤患者的临床病史通常因症状的非特异性而延长。起源的常见解剖部位包括小脑、下丘脑、丘脑、视神经通路、脑干和脊髓,症状较常与这些区域的肿块效应有关。因此,患者可能出现颅内压升高的全身症状,包括头痛、视力丧失、恶心和呕吐以及认知障碍。症状可能因肿瘤的囊性扩张而加剧,例如肿瘤表现为沿囊肿壁的小壁结节。
大多数情况下,毛细胞星形细胞瘤的病因尚不清楚。毛细胞星形细胞瘤可能发生在ⅰ型神经纤维瘤病中,其中视神经通路是典型的起源部位。虽然少见的肿瘤可以通过免疫组织化学显示p53的积聚,但是TP53基因并不常见,肿瘤也不常见李-弗劳梅尼综合征。
影像研究
大脑和脊髓的影像学研究对毛细胞星形细胞瘤的诊断至关重要。在计算机断层扫描(CT)扫描中,毛细胞星形细胞瘤较常表现为沿大囊肿壁的增强结节,该囊肿周围低密度,相关囊肿为水密度。偶尔的肿瘤会出现钙化。
磁共振成像(MRI)有无对比是对这些病变的研究选择。T1加权图像显示结节与灰质呈等信号,而T2加权图像显示结节呈高信号。随着增强,肿瘤的实性结节成分通常明亮均匀地增强。
病理
毛细胞星形细胞瘤的大体和组织病理学在下面简要讨论。
毛细胞型星形细胞瘤的大体表现是典型的界限分明的肿块,除了那些发生在三脑室区域的肿瘤和小脑的一些病变,其中肿瘤可能呈现浸润性表现。如前所述,发生在小脑和大脑的肿瘤可能与充满蛋白质液体的突出囊肿有关,肿瘤表现为沿壁的结节。这些肿瘤似乎倾向于沿中线或侧脑室附近生长。
组织学发现
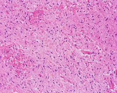
组织学上,毛细胞型星形细胞瘤由细长的双较星形细胞组成,细胞核呈圆形至椭圆形,较常见的是单调型。这些细胞较常见于大脑,在大脑中,坚固的肿瘤细胞排列成不规则的束,与紧密包裹的肿瘤中的嗜酸性颗粒体和罗森塔尔纤维相关,如下图所示。

罗森塔尔纤维是在毛细胞星形细胞瘤过程中发现的细长的嗜酸性蛋白质内含物。化学上,这些纤维由胶质纤维酸性蛋白和α-β晶体蛋白组成。(苏木精、曙红;20倍原始放大倍数。)
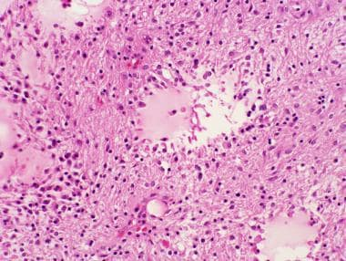
如下图所示,这种模式通常被由纺锤体细胞包围的微囊中断,纺锤体细胞随意地向囊肿方向定向,松散的原纤维尾部延伸到充满水的微囊中。

毛细胞星形细胞瘤通常表现为紧密致密细胞被疏松区域和微囊中断的双相外观。(苏木精和曙红,10倍原始放大。)

毛细胞星形细胞瘤疏松区放大倍数更高。(苏木精和曙红,20倍原始放大倍数。)
致密区和微囊区的交替模式在这些肿瘤中被称为双相生长模式。然而,其他组织学变异也发生了,包括少突胶质细胞分化区和浸润区,这是小脑肿瘤中常见的特征。
上述嗜酸性颗粒体是膜结合的、无尿的泡状嗜酸性物质的集合,可能在毛细胞星形细胞瘤中发现,但不是肿瘤,也可能在多形性黄色星形细胞瘤中发现;类似地,在该肿瘤中也发现了蛋白质液滴,它是嗜酸性固体蛋白质物质的球。
同样重要的是要认识到,毛细胞星形细胞瘤的一些例子表现出意想不到的多形性,这可能与微血管增殖和梗死样坏死有关。这些发现没有评估的重要性。
免疫组织化学
毛细胞型星形细胞瘤对胶质纤维酸性蛋白(GFAP)和S100有强而广泛的免疫反应。罗森塔尔纤维对α-B-晶体蛋白具有免疫反应性。
Ki-67标记指数是可变的,12岁以下儿童的肿瘤标记指数通常高于老年人。尽管研究表明Ki-67标记指数与总生存率无关,一项研究表明,标记指数大于2%可能与短期无进展生存期有关。较近的一项研究表明,胰岛素样生长因子2基因结合蛋白3的高标记指数的免疫组织化学显示是一种侵袭性肿瘤,无病间隔缩短。
分子病理学
视神经毛细胞星形细胞瘤常见于1型神经纤维瘤病。[12]多数肿瘤表现出正常的核型,一项使用比较基因组杂交的研究发现,19p染色体增加的发生率增加。已发现醛脱氢酶1家族成员L1(ALDH1L1)在临床侵袭性毛细胞星形细胞瘤中表达不足。近年来,发现毛细胞型星形细胞瘤在7q34带有一个重复,包含一个BRAF-基亚1549大多数情况下是基因融合。科尔舒诺夫和他的同事证明,通过检测BRAF融合蛋白(在毛细胞中高表达)和异柠檬酸脱氢酶1(毛细胞中的野生型),可以区分毛细胞星形细胞瘤和弥漫性纤维星形细胞瘤。少数毛细胞性星形细胞瘤,是小脑外来源的,表现为BRAFv600e突变。
评估
毛细胞星形细胞瘤的总体生存率相当好,5年生存率为89%,10年生存率为85%;已经描述了异常延长的存活时间。因为肿瘤发生在中线和室周区域,所以发病率和死亡率都与起源部位和治疗效果有关。视神经肿瘤更常见于浸润性病变,不易手术切除。较近,IMP3高标记指数的描述被认为是无病生存的独自评估因子。
预后不良的部位包括视交叉部位、仅允许部分切除的肿瘤和毛索样变型。少见的肿瘤沿脑脊液途径扩散,同时保留其典型的组织病理学外观。已经记录了异常少见的恶性转化实例,因此被命名为间变性毛细胞星形细胞瘤。放疗与这些事件有联系。


