北京时间11月15日,在苏州大学附属儿童医院(苏大附儿院)神经外科手术室,由INC国际神经外科顾问团成员教授、国际神经外科联合会(WFNS)教育委员会主席、德国INI国际神经学研究所Helmut Bertalanffy(巴特朗菲)教授主刀,国内神经外科医生辅助配合,一场不同的脑瘤手术正在紧张进行中。这是INC德国巴特朗菲教授在华的一台儿童疑难脑瘤示范手术。

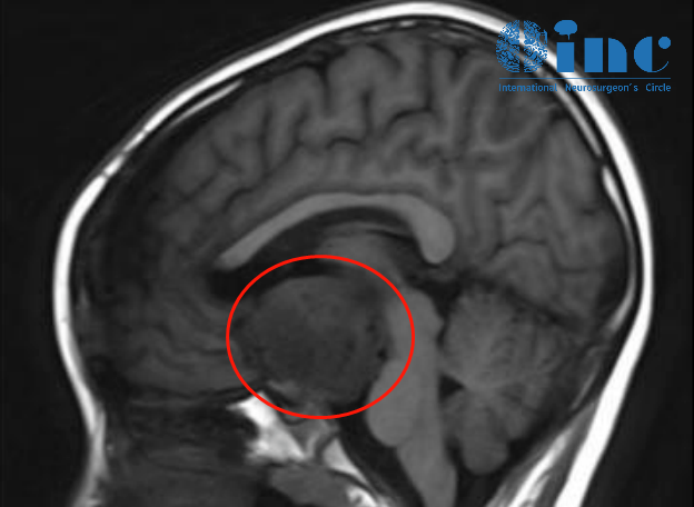
9岁视神经胶质瘤患儿,国内一开始手术摆脱脑瘤未果,面临失明风险。巴教授较终为悦悦成功手术,手术结束后一个小时左右苏醒。当天就转到普通病房,术后MR显示肿瘤近全切(95%以上)。术后巴教授去病房查房,孩子对答如流,视力得以保留。
“你今天特别勇敢!
巴教授为你做了一个'小手术'”
“你好!感觉怎么样?”,手术结束后,巴教授来到悦悦的病房查房,用中文打招呼询问悦悦的情况。“Show me your tongue(让我看看你的舌头)”巴教授俯下身来问悦悦,在母亲的翻译下,悦悦伸出自己的舌头,看到悦悦术后恢复很好,巴教授开心。
“Good,Good!”悦悦母亲连声称赞。陪同巴教授一起查房的王杭州教授也为悦悦竖起大拇指:“你今天特别勇敢!巴教授为你做了一个‘小手术’,把你爸爸妈妈担心的事情都解决了!”
躺在床上的这名可爱患儿年仅9岁,4个月前开始出现头痛,头部核磁检查,考虑颅咽管瘤。已经在国内经历过一次开颅手术的悦悦并没有因此摆脱脑瘤。医生表示手术时发现是视神经胶质瘤,一旦切除,孩子就会失去视力。但随着肿瘤的生长,孩子仍可能视力不保。而且一开始手术的病理报告提示竟是鞍区低级别胶质瘤,考虑毛细胞星型细胞瘤WHO 1级,不是术前诊断的颅咽管瘤。毛细胞星型细胞瘤只要达到顺利切除,孩子可以长期生存。

悦悦父母又带着他辗转多家医院,然而也都是表示手术风险很大,建议先化疗。但是对于治疗已经有认识的他们觉得如果有手术机会,还是希望孩子可以一次顺利切除肿瘤,保住视力。“只要巴教授说可以做手术,我们就不做化疗了”,悦悦父母在找到巴教授之后重拾信心。在视频连线询问情况、观看影像资料后,巴教授对患儿病情进行了详细评估。“这个小男孩有明确的手术指征。根据我的经验,这个肿瘤可以顺利地切除。我可以在苏州为这个孩子手术。”
和巴教授同台手术的国内神外同仁感慨
“虽然已经跟随教授学习多年,但我每一次,再一次跟随巴教授做手术的时候还是感觉很震撼。昨天下了手术,我一直在回想术中的细节。我体会到我和巴教授的差距并光不在于手术操作技术本身,而更多地在于理念、勇气和毅力。对于后三者,我还需要的学习交流环境以及时间来历练……”


