脑部CT或MRI检查后,当看到“基底节区含血性病灶”,“基底节区异常信号”等描述——基底节区到底在哪?简单来说,基底节区=基底节+内囊+周围的白质;是负责运动神经、感觉神经和视神经等重要神经的重要功能区。

基底节区在大脑里是一个重要的结构和区域,这里走形着较重要的神经纤维,很多主管运动、感觉的神经纤维都从这个狭小的区域经过。基底节的主要功能是控制意识和本体感觉运动。它接收来自大脑皮层的信号,对这些信号进行权衡,并控制。

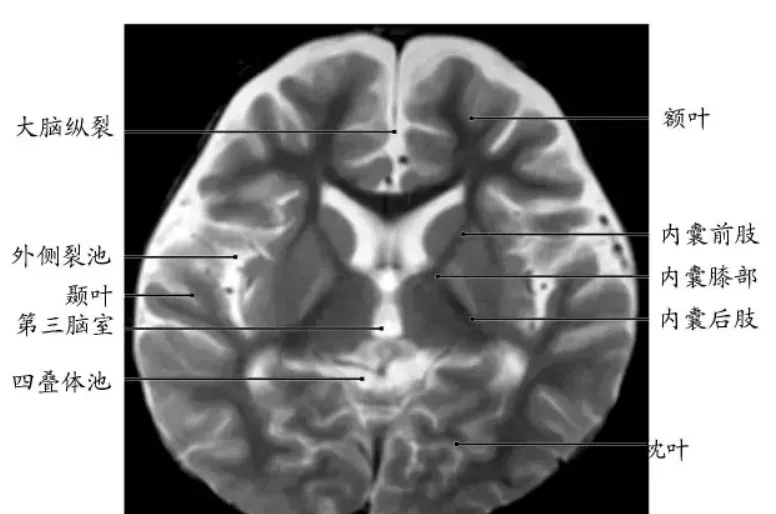
大脑基底节区图片
另一方面,这个区域的血液供应又比较脆弱,由一些叫作小穿支的小动脉供血,恰恰是缺血和梗塞较容易发生的地方。尽管内囊和基底节区的供血比较复杂,但还是有的规律可循。内囊和基底节较高部位的血供多来自于大脑中动脉;基底节前部及内囊前肢的血供多来自于大脑前动脉;较低部位内囊后肢的血供多由脉络膜前动脉供应。
如果病变一旦跨经基底节的运动感觉通路,常表现为进行性运动障碍,进展缓慢;如果肿瘤影响到内囊后肢,会出现进行性锥体束征,包括痉挛、虚弱或反射亢进;当瘤体深入边缘结构,可能会出现认知退化、人格改变和精神错乱等,不及时诊治会带来终身的后遗症。
基底节区是一个什么范围?
基底节区是医学影像学名词。包括:基底节及其周围白质、内囊。为一不太明确的区域。内囊,概念很明确,包括内囊前肢、内囊膝部及内囊后肢。
现代磁共振系统,不断发展,具有很高的软组织对比。但即使如此,仍然难以准确区分是基底节与邻近白质,因此,影像医生可能会将此宽泛地描写成“基底节区“。它其实既包括了基底节神经核团,也包括了它邻近的白质纤维。
大脑中,基底节和基底节区,是左右对称的,双侧各有一个这样的结构和区域。所以,当我们在影像诊断报告中看到基底节区某某病变时,就知道它是一个关键的区域,可能会给人体带来严重的影响。
1、基底节
基底节(Basal ganglia)(又称基底神经节)是指从胚胎端脑神经节小丘发育而来的神经核团,是大脑的中心灰质核团,包括杏仁核、纹状体和屏状核。纹状体又分为:尾状核和豆状核,豆状核又可分为:壳核和苍白球。壳核和尾状核合称为新纹状体,苍白球为旧纹状体。壳核是高血压脑出血好发部位。也就是神经元(神经细胞)聚集的地方。基底节主要负责运动控制,以及运动学习、执行功能和行为以及情绪等。
基底核病损表现及定位诊断
基底核病变主要产生运动异常(动作增多或减少)和肌张力改变(增高或降低)。
1)新纹状体病变可出现肌张力减低-运动过多综合征,主要产生舞蹈样动作、手足徐动症和偏身投掷运动等。壳核病变可出现舞蹈样动作,表现为不重复、无规律和无目的急骤运动;尾状核病变可出现手足徐动症,表现为手指、足趾的缓慢如蚯蚓蠕动样动作;丘脑底核病变可出现偏侧投掷运动,表现为一侧肢体大幅度、有力的活动。此类综合征可见于风湿性舞蹈病、遗传性舞蹈病、肝豆状核变性等。
2)旧纹状体及黑质病变可出现肌张力增高.运动减少综合征,表现为肌张力增高、动作减少及静止性震颤。此多见于帕金森病和帕金森综合征。
2、内囊
在基底节区有一个特别的结构,它是位于尾状核头部、豆状核和丘脑之间的一个区域,叫内囊。内囊是大脑皮层与脑干、脊髓联系的神经纤维通过的一个部位的名称,位于基底神经节与丘脑之间。内囊处有从大脑皮层发出的下行传导纤维和从外周而来的上行神经纤维,它们穿过内囊向上向下行走,连接着肢体和较高指挥部大脑皮层之间的神经信息。
内囊前肢位于尾状核与豆状核之间,上行纤维是丘脑内侧核至额叶皮质的纤维(丘脑前辐射),下行纤维是额叶脑桥束(额桥束);内囊膝部位于前、后肢相连处,皮质延髓束于此通过;内囊后肢位于丘脑与豆状核之间,依前后顺序分别为皮质脊髓束(支配上肢者靠前,支配下肢者靠后)、丘脑至中央后回的丘脑皮质束(丘脑中央辐射),其后为听辐射、颞桥束、丘脑后辐射和视辐射等。
内囊病损表现及定位诊断
1.完全性内囊损害内囊聚集了大量的上下行传导束,特别是锥体束在此高度集中,如完全损害,病灶对侧可出现偏瘫、偏身感觉障碍及偏盲,谓之“三偏”综合征,多见于脑出血及脑梗死等。
2.部分性内囊损害由于前肢、膝部、后肢的传导束不同,不同部位和程度的损害可出现偏瘫、偏身感觉障碍、偏盲、偏身共济失调、一侧中枢性面舌瘫或运动性失语中的1-2个或更多症状。
基底节区是否包含丘脑?临床上部分医生把丘脑出血也列入基底节区脑出血,有待商榷。国际上不把丘脑出血列入基底节区出血,可以认为丘脑不在基底节区内。
基底节区可以手术吗?
INC巴特朗菲教授在2002年发表了他的成功手术成果和经验《Cerebral cavernomas in the adult.Review of the literature and analysis of 72 surgically treated patients成人脑海绵状血管瘤的文献回顾及72例手术治疗患者的分析》,分析了脑深部疑难部位的手术经验,主要分析了5年中接受手术的72例脑深部疑难手术患者的情况,其中24例位于脑干内。手术均获得成功尽全切,无死亡率。巴特朗菲教授证明,脑海绵状血管瘤即使是位于脑干,基底节区和丘脑等关键部位病变的患者中,也是可以顺利地尽全切除,效果良好,发病率低。教授在这篇论文中写到:在20世纪80年代后半期接受手术的患者,当时国际范围内几乎没有脑干、丘脑、基底神经节等此类病变的经验,具有意义!


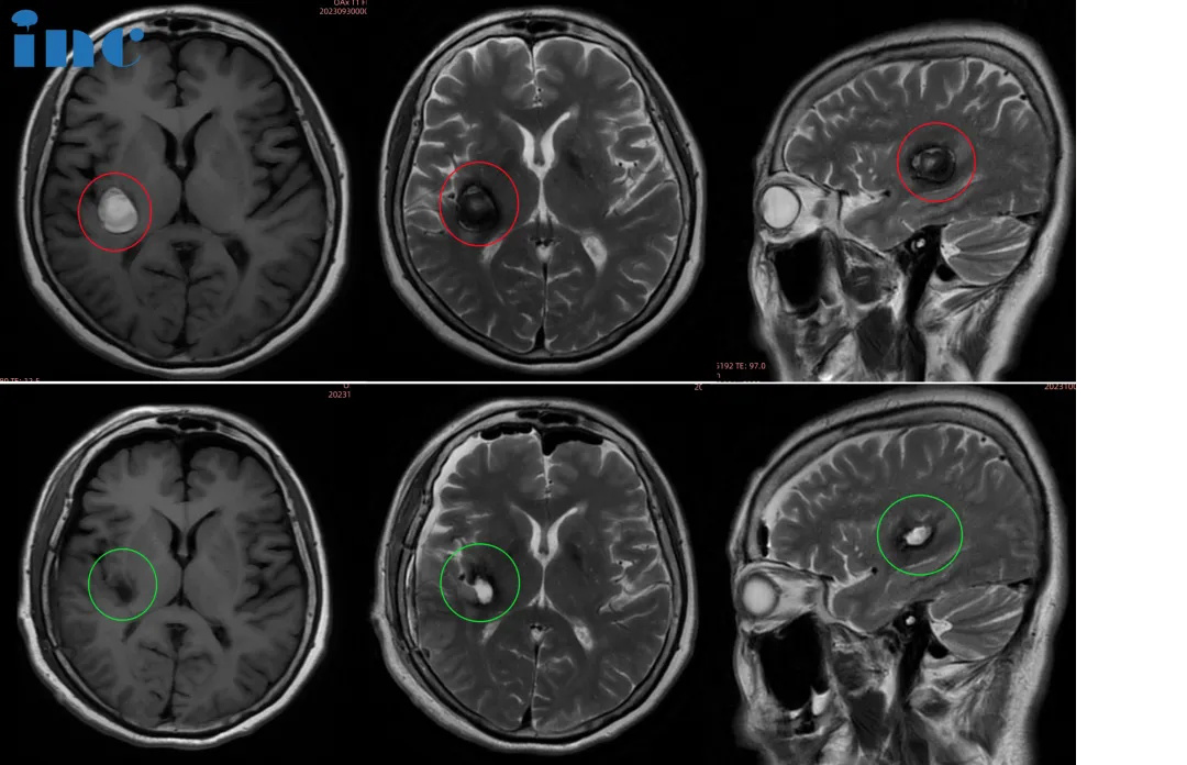
▼巴教授神经导航引导下切除基底神经节海绵状瘤。a,术前t1加权MR图像显示病变向内囊附近延伸。b,海绵状血管瘤瘤完全切除后的术后t2加权MRI

▼巴教授基底神经节海绵状血管瘤,54岁男性。该患者在神经导航的帮助下进行手术。A-C,术前MR图像显示右侧尾状核海绵状血管瘤。D,神经导航定位、皮肤切口等。E,海绵状血管瘤完全切除后的术后CT扫描。F,术后10天无神经功能缺损。

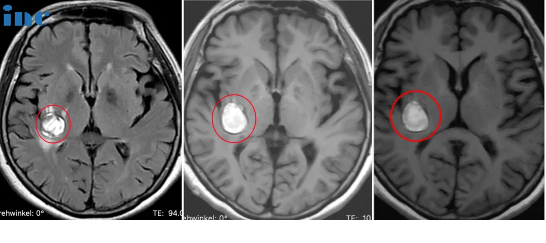
68岁女性--罹患基底节海绵状血管瘤
手术会导致瘫痪失语吗?


“症状主要还是从头部、胳膊到后背,腿一直到脚底麻的感觉,偶尔脸部也会麻木……右侧基底节区,复查时发现病灶变大了,原来是1819mm,现在是2419mm;而且还多次血。”
巴教授2023年6月中国行期间,一位68岁右侧基底节占位-海绵状血管瘤的柯女士通过INC咨询来到巴教授苏州独墅湖医院咨询室。因症状加重,病灶增大,问诊多名神经外科医生,两个专家团队医生给出了截然不同的意见:不赞成手术治疗,理由是年龄大,手术导致瘫痪失语的风险大。另外一个医生团队的意见是现在可以马上手术,但效果不确定。当咨询巴教授之后,得到了的评估。在手术决策上,巴教授偏向手术,在手术风险上,教授表示有把握。
巴教授面对面评估
“血管畸形有可能会变大,也有可能会变小!如果血管畸形变大出血多,内囊的区域主管我们手脚的运动,患者就可能出现偏瘫。经过影像的对比,75%支持手术,25%支持可以再观察。如果症状加重,就需要治疗。要是真的等到偏瘫了再手术,那偏瘫恢复的机率要比现在要小很多。当然这个血管畸形是可以很好的切除的。”
INC巴教授主刀手术后
术后核磁显示,海绵状血管瘤得到顺利全切,柯女士的状态也好,神采奕奕,和常人无异。术后2天巴教授查房时,已经可以下地走路。看到前来查房的巴教授,柯女士激动,亲切拥抱感谢巴教授,终于摆脱了危险的基底节海绵状血管瘤的她满怀感激得握住巴教授的手说道,“我要看看巴教授这双神奇的大手,这是上帝之手,巴教授感谢你!”

患者故事详细记录可阅读:“上帝之手!”——68岁基底节海绵状血管瘤,全切术后2天自如行走、解除致命危机
16岁男孩--基底节胶质瘤
保守还是手术?
“右额颞、基底节区、右侧脑室前角区占位病变:胶质瘤可能性大。”



小磊术前MRI影像显示右额、颞、基底节区、侧脑室前角区占位
16岁小磊(化名)在一次全身体检中查出“颅内占位性病变”,然后去国内三甲医院确诊。小磊的胶质瘤主要位于基底节部位,属于大脑功能区,目前手术风险较大,较大占位压迫岛叶、和血管神经关系密切,切除肿瘤时较易造成脑组织神经血管损伤,90%以上会术后出现神经损伤如瘫痪、记忆障碍等,在这个位置手术不容有失,否则面临的可能是终身的瘫痪,生活不能自理。
巴教授面对面评估
“在我以前的类似病例中,患者术后的结果好,没有额外的神经功能缺损。风险是:肿瘤位置比较深,并已经浸润到基底节,然而,肿瘤看起来与周围组织边界清晰,因此,我们可以很好地切除这一病变。”

INC巴教授给小磊的邮件咨询结果
INC巴教授主刀手术后
手术情况:巴教授通过右侧额颞开颅暴露病灶并在保护神经功能情况下较大水平切除肿瘤,随后借助术中MRI对照进行了显微外科肿瘤切除术,手术过程中未出现并发症。手术做完当天,小磊成功拔管并转入ICU。术后2天,意识清醒,无新发神经系统损伤。转回神经外科普通病房,并在康复治疗师的指导下开始活动。小磊很快就开始独自行走。
术前术后MR磁共振对比,术前右额、颞、基底节区、侧脑室前角区较大占位,压迫岛叶及脑室,脑室增大。术后MR提示肿瘤近全切,占位效应解除,无新发脑损伤等。

患者故事详细记录可阅读:较大基底节-岛叶胶质瘤赴德成功手术后1年:16岁少年将远赴西藏、继续精彩人生!
8岁女孩--5cm较大基地节区肿瘤
手术有长期插管、呼吸障碍的风险?
“头颅CT检查:左侧基底节区异常密度影,占位性病变伴出血?;头颅MRI:左侧基底节区异常信号,考虑不同感染性病变?肿瘤?。PET-CT示:左侧基底节高密度结节影,FET代谢异常增高,考虑肿瘤伴卒中可能大。”
8岁女孩小菲(化名)因头疼送医查出颅内基底节区肿瘤504137mm占位,病变区域靠近右侧管理运动功能的皮质脊髓束。鉴于脑深部肿瘤位置复杂,手术切除难度较大,很可能面临损伤颅内正常脑组织从而带来终身神经受损风险,很多医生在这个位置成功手术(不造成术后神经功能受损)的把握并不大。
巴教授评估结果
“小菲的肿瘤位于大脑深部基底节区,手术切除时需要在神经显微镜、术中神经电生理监测等一些设备的辅助下进行。由于小菲是一开始手术,如果能达到较高的切除率,小菲手术后的生存周期将延长,复发率将大大降低,也能很好地避免二次手术带来的伤害。”

INC巴教授主刀手术后
手术情况:如巴特朗菲教授所评估,肿瘤几乎完全切除,而且没有任何神经损伤,并且术后一周就可以正常地行走。

患者故事详细记录可阅读:8岁女孩5cm较大基底节区肿瘤成功切除记|INC案例交流
参考资料:
1.Neuroanatomy,Basal Ganglia.In:StatPearls[Internet].Treasure Island(FL):StatPearls Publishing;2024 Jan.2023 Jul 24.
2.Functional Neuroanatomy of the Basal Ganglia.Cold Spring Harb Perspect Med.2012 Dec;2(12):a009621.doi:10.1101/cshperspect.a009621


