北京时间2024年3月20日
国际颅底手术教授
INC法国福洛里希教授
已抵达中国!
正式开启2024春季中国行学术交流活动!

抵达上海浦东机场后,福洛里希教授表示:“很高兴又来中国了。”与此同时,在INC上海办公室,一场中国各地医院神经外科主任级别专家,与国际颅底手术教授面对面交流的学术沙龙,已经进入紧张。。。。这一次福教授又会带来颅底手术研究成果,尽请期待!
作为国际神经外联合会(WFNS)颅底手术委员会前主席、神经内镜“筷子手法”提出者,福教授长期以主讲人身份在被誉为“国际上较好的培训中心”——国际IRCAD培训中心颅底进行课程培训,并受邀成为50多家医学院的课程主任和讲师,在微创手术领域的培训教育方面享有盛誉。

近几年,福教授作为INC旗下组织国际神经外科顾问团(WANG)成员,更是来到中国广泛开展颅底解剖学、神经内镜在颅底手术中的应用进展、颅颈交界区肿瘤的手术方法等重要讲座,供医学学者共同研究学习。其中,中国示范教学手术,也为国内疑难神经外科疾病患者提供了国际化的治疗新选择。


2024年中法神外学术交流步履不停,由INC组织的学术沙龙系列活动之颅底肿瘤手术专题将于2024年3月23日举行。国内神经外科同仁将有机会和这位国际年轻一代中具天赋的国际教授交流学习、一睹这位神经内镜的国际高手的风采。
患者面对面咨询专场也将同期开展,为给有需要的国内患者提供国际水平的咨询意见。脊索瘤、脑膜瘤、颅咽管瘤、垂体瘤、神经鞘瘤、软骨肉瘤等疑难脑瘤患者等均有机会与这位国际颅底手术教授一对一交流。福洛里希教授在复杂脑膜瘤、颅咽管瘤、垂体瘤、脊索瘤等都有大量的临床治疗经验,福教授作为神经内镜和颅底手术的国际高手;发明内镜手术“筷子手法”,大大提高手术效率和准确度,为疑难脑瘤患者较大水平争取到了更好的预后效果。
福洛里希教授现场咨询活动报名方式

■咨询时间:
2024年3月下旬
■招募对象:
脊索瘤、颅底脑膜瘤、侵袭性垂体瘤、颅咽管瘤、神经鞘瘤、胆脂瘤、软骨肉瘤,是肿瘤位置复杂、手术风险大、追求较好手术质量的神经外科患者。
■报名方式:
请拨打电话400-029-0925咨询报名,或者点击【在线留言】咨询。
2023年福洛里希教授来华交流回顾
学术沙龙
2023年5月13日,上海INC办公室,福洛里希教授学术沙龙交流脑膜瘤及神经内镜的进展。福洛里希教授以“岩斜坡脑膜瘤的治疗策略”及“内镜在颅底手术中的应用进展”为议题的学术沙龙活动,在INC中国代表处正式展开。10多名来自全国各地医院的神经外科主任级别专家,与福洛里希教授展开神经外科手术技术探讨和临床经验交流。
中国疑难脑瘤示范手术
48岁较大脊索瘤患者
福教授力挽狂澜拯救5年4次手术患者
2023年5月,INC法国福洛里希教授应邀访问苏州大学附属四医院(苏州市独墅湖医院),并进行疑难颅底手术指导。5月15日,福洛里希教授成功为一名反复复发高难度颅底脊索瘤患者进行示范教学手术。
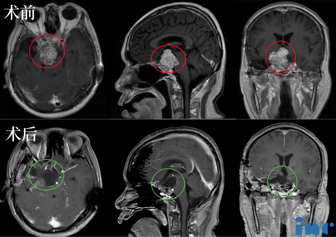
“现在的状态比手术前好,感觉更有信心了。”48岁的苏先生即将完成术后康复治疗,手术前他由于较大的斜坡脊索瘤,3年多经历3次手术,视野缺损,言语不清,吞咽困难,长期鼻饲,呛咳,眼球活动障碍,走路不稳,上肢无力,嘴角抽搐,“整个人像一辆没有油的车”。经过福教授的成功手术,如今他经过术后康复,已经回归了正常的生活。自己洗车、亲口吃较爱的食物、和爱人出门散步,这些术前难以想象的小幸福都一一恢复。


▲术前:肿瘤体大,广泛累及颅底结构,侵蚀斜坡、鞍内鞍上、海绵窦区,包裹右侧颈内动脉。肿瘤向上推挤视神经、视交叉,到达三脑室底部;向后上方推挤脑干和基底动脉,部分肿瘤边缘与脑干分界欠清。▲
“听闻福洛里希教授来华消息,我跟我儿子泪如泉涌,终于找到救星了。”这也是福洛里希教授在中国的一台技术示范教学手术,显微镜和内镜“双镜联合”,运用“筷子技术”,术后当晚核磁显示肿瘤已基本全切。苏先生术后神志清楚,四肢活动良好,无新增神经损伤和并发症。而经过这次成功的示范教学,福洛里希教授表示,后续双方应进一步加强合作交流,给更多脊索瘤患者提供国际前沿的规范化治疗。

▲术后:手术顺利,术中将鞍上鞍内、海绵窦区、三脑室肿瘤切除▲
2天就出ICU、无并发症无后遗症,
低体重幼龄儿童较大脊索瘤成功手术
除了苏先生之外,福洛里希教授还于2023年8月初在苏州大学附属四医院(苏州市独墅湖医院)为一名6岁脊索瘤患儿实施了高难度示范教学手术。6岁的林林因头疼,行走不稳等症状被诊断为颅底脊索瘤。肿瘤位置不同,体大,明显压迫脑干,林林在国内接受了一开始手术,部分减少肿瘤的体积。然而,剩下的肿瘤仍然很大。林林父母走投无路之际从国内神外专家得知福洛里希教授即将来华的消息,果断进行了远程咨询。幸运的是他们如愿得到了教授充满希望的回复并决定请他进行二次手术。从远程咨询到成功手术仅10天,术后10天顺利出院。



18kg,这么小体重患儿全身只有1500ml左右的血液含量,再一次手术难度较大,危险系数较高。手术中10%(150ml)的出血量,林林可能就会休克;出血量达到20%,就会危及生命。如何解决这个困境?福洛里希教授决定进行单鼻孔入路神经内镜手术,采用多种角度镜,运用“筷子技术”,用仅仅8mm的创口,切除了直径达50mm的肿瘤。在减少出血点的同时,将手术风险尽可能降到较低。术中,年幼的林林鼻内空间很小,实行单鼻孔入路手术难度较大。福洛里希教授术后也直言道:“困难,像是打了很大的一场仗”。而此时距离一开始手术仅37天,幸运的是这次手术近全切肿瘤,林林术后3天转出ICU,无任何新增并发症。
患者面对面咨询
“脊索瘤位置疑难还能手术吗?”“孩子得了少见的脑瘤,医生都不建议手术,国际上还有别的治疗建议吗?”……
2018年至今,福洛里希教授来华学术交流期间,在上海INC进行了多场患者现场一对一的咨询及病情评估,为多名疑难脑瘤患者进行了面对面的咨询交流,经详细分析病情后,制定了行之合适的咨询方案。


