突发的或缓慢出现的视物不清、视野变小、重影……很多人自然而然地觉得眼睛出问题了,去挂眼科却并没有检查出什么异常,然后却在神经外科找到了病根——脑肿瘤,临床上这些情况并不少见…
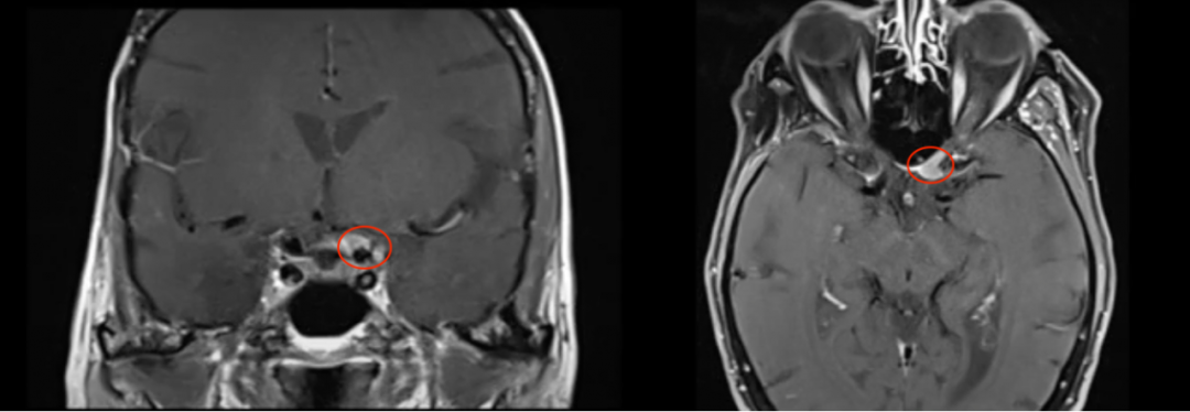
86岁的法国女士Irene(艾琳)就是其中一员,但是她却更加警觉。因为早在2006年,艾琳就因右侧海绵窦区脑膜瘤进行了一次开颅手术。所以当时隔多年后出现视力严重下降的情况,她也并没有以为是年事已高所致,而是警觉来到医院进行核磁检查,而此次就医检查发现左侧视力出现进行性下降,检查视力结果为左侧视力4.6(右侧5.0),左侧视神经管内侧病变均匀增强。检查报告还显示翼点空化是由颞肌萎缩引起的。果不其然,艾琳的视力严重恶化是由于视神经管脑膜瘤导致的。

术前MRI
所幸艾琳寻求得到INC国际神经外科顾问团成员、国际神经外科联合会(WFNS)颅底手术委员会前主席法国Sebastien Froelich教授的手术,然后在Froelich教授显微镜+内镜联合手术使用对侧额下入路顺利切除视神经管脑膜瘤、术后艾琳的视力也得到了较大的好转。


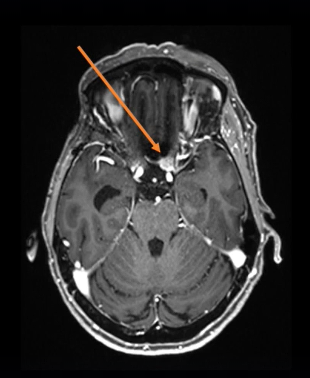
术前术后影像对比
国际颅底手术教授Froelich教授视神经管脑膜瘤手术解读
脑膜瘤是常见的颅内肿瘤,当肿瘤发生在视神经管内时导致视力丧失的并不少见。视神经管虽然平均长度、宽度均不足1cm。但是作为颅眶沟通的管道,有视神经通过和眼动脉伴随。一旦视神经管的扩张受到骨管壁的限制,即使很小的肿瘤也可以引起视神经的严重压迫。颅内脑膜瘤也可发生管内播散,甚至有薄层斑块状肿瘤扩展,在这些情况下可能也会引起明显的视觉症状。小小的视神经管脑膜瘤手术如何做到全切,同时不损伤视神经且好转或保留术前的视力状况,对于神经外科医师仍是具有挑战的。

国际颅底教授Froelich教授对于脊索瘤、脑膜瘤、垂体瘤、颅咽管瘤等都有大量的临床治疗经验。早在20多年前,Froelich教授研究团队就通过神经内镜向大脑颅底部进军。凭借着性和多年实践的结果,Froelich教授有时为了切除更多的肿瘤,手术中动用多种器械。他不仅在鼻内手术中使用了神经内镜,而且在经颅手术中也使用了神经内镜。Froelich教授擅长使用显微镜+神经内镜联合手术,将两种神外手术中重要工具联合使用,能够较大水平切除顺利切除肿瘤。Froelich教授表示对颅底手术来说,"双镜联合"是组合,内镜的用途是让深部的结构可视化并且进行操作,并且操作过程中不会损害从手术入口到病灶之间的解剖结构。
在处理艾琳这个复杂的视神经管脑膜瘤的案例时,Froelich教授就选择了“双镜联合”的手术方法,在内镜的辅助下成功手术。
手术团队:国际颅底手术前主席Froelich教授及团队
手术方式:显微镜+内镜”双镜联合“手术
为什么Froelich教授选择”双镜联合“的手术方式?Froelich教授表示:内镜辅助下可识别视交叉沟和鞍结节内浸润的硬脑膜。在视交叉沟的前肢钻孔过程中,蝶窦很容易出现破裂。内镜辅助还可以更好地观察手术视野的盲区,包括视神经管的深度区域。与传统显微手术相比,神经内镜可近距离抵达,且术中视野良好、立体感强,能靠近观察肿瘤及周边血管、神经、脑组织等,使得解剖位置更精确,不易误入术区周围正常间隙,进而让术者看得更加清楚,手术更准确。此外,神经内镜还能被置入瘤腔中检查有无肿瘤残余,从而更细致地控制深部肿瘤的切除范围避免术后复发。

Froelich教授的神经内镜”筷子技术“,尽可能微创,提高了肿瘤的切除率,更是减少了手术入路的侵袭性,使肿瘤患者有了更好的预后效果
手术过程:一阶段,通过钻取蝶缘和内侧视神经管进行视神经减压术,为后续手术做准备。二阶段经,经额下入路为对侧交叉沟和视神经提供绝佳手术通道,可以保障顺利切除肿瘤。
▼下右额下入路肿瘤全切术

图2:手术入路,右额下入路(入路方向大致如图)
为什么Froelich教授会选择经额下入路?额下入路是Cushing提出的探查鞍区肿瘤的开颅方法,一直沿用至今,适用于肿瘤累及视神经者。另外对鞍结节脑膜瘤、颅咽管瘤、视神经胶质瘤,都可以采用这种开颅方法。额叶下入路较易显露肿瘤,不影响视神经。在视交叉沟(蝶缘)的前肢钻孔可使视神经管的内侧面充分显露。额下入路为对侧交叉沟和视神经提供较好手术轨迹。当对视神经管内侧进行钻孔时,在直接观察视神经下内侧的情况下,可以顺利地切除伸入视神经管的肿瘤。

图3:额下开颅术

图4:术中照片。(A)早期视神经减压术和管内肿瘤的暴露是通过磨除蝶缘和内侧视神经管来完成的。(B)直接切除肿瘤,同时识别和保护眼动脉(黑色箭头)。(C)内镜下直视神经管。(D)使用30度角内镜查看其它潜在潜在的硬膜区域(白色箭头),如果发现,可以电凝处理。ICA,颈内动脉;Left A1,左大脑前动脉;Opht.A,眼动脉;Optic N,视神经。
术后结果:艾琳的肿瘤完全切除(辛普森II)(图5),术后视觉好转,嗅觉功能无损害/无脑脊液渗漏。

图5:术前及术后磁共振成像。术前preop(A)和术后Postop(C)显示肿瘤完全切除,视神经保留完好,无脑水肿、出血等。
案例总结
众所周知,视神经管脑膜瘤手术的主要目的是完全切除肿瘤,同时好转或保留术前的视力状况。在这种情况下,视神经通路的完全非创伤性减压是较重要的,要注意视神经和视交叉的脆弱血液供应的充分保存。一系列报告显示,视神经管肿瘤大小、位置、扩展、术前视力状况、症状持续时间和手术技术而定,视力好转的几率为25%至80%。
视神经管减压是提高视力恢复和扩大肿瘤切除范围的重要步骤。早期视神经管减压术是获得良好视觉效果的较佳方法,可获得良好的手术支持效果。在切除肿瘤的过程中,早期释放视神经压力可以保障手术的顺利操作和处理。Froelich教授在上述案例中一阶段就进行了视神经减压,为后续的肿瘤顺利全切提供了保障。


