颞中叶癫痫(mTLE)影响大多数手术耐药癫痫(DRE)候选人。对于DRE,虽然癫痫手术比单纯的药物治疗更合适,但仍然没有得到充分的利用,部分原因是由于传统的开颅术的发病率令人担忧。虽然前颞叶切除术(ATL)仍然是治疗耐药mTLE的金标准,但新的治疗如激光间质热疗法(LITT)已经出现。
作为一种住院时间短、发病率低(包括对认知功能损害较小)的微创手术,LITT有可能获得更广泛的接受。到目前为止,单机构系列的LITT在至少1年的随访中显示有38% -78%的发作自由,在影像学证据为海马硬化(rHS)的患者中癫痫发作消失比例超过60% -89%。

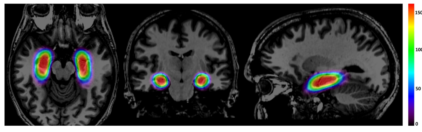
11个综合癫痫中心175例患者消融分布的热图。全部消融(红色)均以AHC长轴为中心,并向后延伸至外侧中脑沟水平。消融位置的变化表现为较不频繁消融的区域(绿色和蓝色)从这个中心延伸出来
INC旗下国际神经外科顾问团(WANG)的专家成员James T. Rutka教授对于国际前沿科技的研究和利用深入和熟练,他是LITT技术的国际先行者和开拓者,在他所在的SickKids医院已经将这项技术普遍地运用在小儿脑瘤和癫痫只的治疗中,很多患者二天即可出院,恢复正常生活,癫痫患儿因此可以正常学习和生活,不再承受癫痫发作的身心负担。


