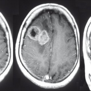
大脑包含三个主要部分:前脑,中脑和后脑。大脑是大脑的较大部分。它位于前脑,分为额叶,顶叶,枕叶和颞叶。额叶负责推理,计划,词性,动作,情绪和解决问题。细胞的异常生长会导致脑瘤在大脑中的任何地方发展。胶质瘤是一种可以影响额叶的脑肿瘤。

脑瘤的症状取决于受影响的大脑部分。由于额叶控制着随意的肌肉运动,因此额叶神经胶质瘤可能会干扰肌肉协调,并导致称为瘫痪的单侧瘫痪。额叶肿瘤的其他症状包括癫痫发作,记忆力减退,性格改变,嗅觉丧失和视力障碍。
右额叶胶质瘤好手术吗?提高肿瘤切除率和功能保护率的重要手段
胶质瘤的手术目标是大水平地切除肿瘤,同时保留患者的全部功能完整性。目前,在额叶肿瘤切除术中,尽管损害执行功能(EFs)并因此降低生活质量的风险仍然很大,但该目标大部分已实现。
脑部绘图(BM)
目前,切除范围(EOR)是影响疾病自然进程(生存期,无进展生存期和恶性转化时间)的主要因素之一。脑部绘图(BM)允许根据功能而不是纯粹的解剖边界进行脑部肿瘤切除,从而在保持功能完整性的同时达到近全切除甚至全切除。患者的神经功能完整性的保护可以通过增加映射和手术期间保留神经功能的数量得到确定。切除涉及BM的脑肿瘤是保持患者功能完整性和大水平提高EOR的金标准。目前,BM合适地帮助保留了几种运动,实践和语言功能。
术中导航
术中导航,也叫无框架立体定位,帮助我们规划你的手术。它在操作过程中充当向导。
通过这种方法,技术人员可以在手术开始前在你的头皮上粘上塑料点。然后他们用核磁共振成像来描绘出这些点的准确位置,因为有关你头部位置的信息会被发送到电脑上。在手术室里,一个图像被投影到与MRI同步的屏幕上,产生关于你的大脑和肿瘤位置的实时信息。
外科医生用一根观察棒来观察肿瘤的较外层边缘。如果可能的话,这增加了他们切除肿瘤的每一块的可能性。这种手术的好处包括更好的准确性,更小的切口和更短的手术时间。
术中唤醒
术中唤醒作为一种神经外科手术中的新技术,是一种前沿的手术方法,如果你的肿瘤靠近大脑的一个敏感部位,我们就会使用这种手术。团队会给你局部麻醉和药物,让你在保持清醒的同时保持镇静。电较刺激你的大脑表面,帮助我们识别需保持顺利的敏感部位。在手术的部分过程中,你的外科医生会叫醒你,让你说话或做一些有助于引导肿瘤切除的动作。
神经内镜
根据你的低级胶质瘤的位置,你可能会选择神经内镜,一种微创手术。外科医生使用比传统外科手术小的切口,并在切口内进行手术。一根细管和一个功能强大的镜头,一个高分辨率的摄像机,以及的手术器械帮助你的外科医生完成手术。这种类型的“显微外科手术”通常在手术过程中减少对健康组织的损伤。
当切除部分或全部肿瘤时,你会发现颅骨的压力减轻了。你正常说话和活动的能力可能会恢复,因为这些肿瘤通常开始于大脑中控制这些功能的部分。如果肿瘤风险太大,无法进行手术,这意味着手术可能会损害你大脑的其他部分,我们可能会化疗或其他治疗方案。
现代高科技的技术和手术方案,通常需要手法高超、经验丰富的神经外科医生来熟练运用,方可把其优势发挥到好。INC国际神经外科医生集团就聚集了这样一批国际水平的神经外科专家,他们大多为国际神经外科联合会(WFNS)及各国际神经外科学术组织的成员、国际神经外科各大杂志主编,以及神经外科教科书中以其本人名字命名手术方式和解剖结构的教科书级神经外科巨擘。他们在各自领域对国际神经外科做出过较大贡献,其手术经验和技术能力享有很高的学术地位。INC致力促进国内外神经外科学术交流、进步,并为国内有需要的、追求较高手术质量和国际前沿咨询方案的胶质瘤、脑海绵状血管瘤、脑膜瘤等患者提供必要的国际远程咨询、面对面咨询以及国际治疗协调服务。


