胶质瘤5cm严重吗?神经胶质瘤是由神经胶质细胞(脑的胶状/支持组织)引起的肿瘤的总称。神经胶质瘤有很多类型,包括星形细胞瘤,少突胶质细胞瘤和室管膜瘤。神经胶质瘤较常见的类型是星形细胞瘤。胶质瘤占全部原发性脑肿瘤的约60%,并且经常是恶性的。目前临床上缺乏完全根治胶质瘤的方法。胶质瘤虽然都是恶性,但是严重程度以及如何治疗主要还是要看级别和位置。
脑胶质瘤“可怕”在哪里?
脑组织里分成两种细胞,一种是神经细胞,一种就是胶质细胞,脑胶质瘤就是发生在胶质细胞的一种肿瘤。它的发生率在颅内肿瘤里是高的,占40-45%左右。国际卫生组织(WHO)中枢神经系统肿瘤分类将脑胶质瘤分为I-IV级, 其中I-II级为低级别胶质瘤,恶性程度较低,预后相对较好,而III-IV级为高级别胶质瘤,恶性程度较高且预后较差,其中IV级胶质瘤主要就是指胶质母细胞瘤。
脑胶质瘤所导致的症状和体征,主要取决其占位效应以及所影响的脑区功能。胶质瘤可在电脑不同部位中生长,会挤压损害正常脑组织,从而产生头痛、恶心、呕吐、癫痫等症状。此外,胶质瘤还会影响局部脑组织功能,使患者产生相应的其他症状,如肿瘤压迫到面神经,常常会导致面瘫,如肿瘤压迫到大脑运动功能区,常常使患者走路不稳,甚至偏瘫、瘫痪。
如果一旦诊断为恶性脑干胶质瘤、胶质母细胞瘤、儿童脑干弥漫内生型桥脑胶质瘤(DIPG)等高级别胶质瘤,确确实实与死亡临近了。此外,一些位于脑干、丘脑、胼胝体等复杂部位的低级别胶质瘤由于位置复杂,手术难度大,风险高,切除通常也面临着较大的治疗困难,下不了手术台的情况时有发生。
得了脑胶质瘤能活多久?
根据北欧、美国、中国等国家中枢神经系统胶质瘤治疗规范,脑胶质瘤治疗以手术切除为主,结合放疗、化疗等综合治疗方法。手术可以缓解临床症状,延长生存期,并获得足够肿瘤标本用以明确病理学诊断和进行分子遗传学检测。手术治疗原则是较大范围顺利切除肿瘤,而常规神经导航、功能神经导航、术中神经电生理监测和术中MRI 实时影像等新技术有助于实现较大范围地顺利切除肿瘤。一般而言,经过综合治疗,低级别胶质瘤(WHO1~2级)患者的中位生存期在8~10年之间;间变胶质瘤(WHO3级)患者的中位生存期在3~4年之间;胶质母细胞瘤的中位生存期在1-2年之间。
不管级别位置怎样,对于胶质瘤的治疗国际标准还是优选手术。国内首屈一指的神经外科专家北京天坛医院的张俊廷、张力伟等。国外的在病友圈比较出名的有德国巴特朗菲教授,在中国患者群中,他被亲切地称为“巴教授”。
以巴特朗菲教授脑干弥漫性胶质瘤案例分析
女,48岁,发病以来走路不稳,右侧面部运动功能不全,右眼睑闭合不全,口角流涎,于发病数月后,手术取活检,H3 K27M突变型,MGMT甲基化阴性,WHO 分级:IV级。术后同部放化疗。
临床诊断:脑干肿瘤手术后,弥漫性中线胶质瘤,
H3K27M突变型 MGMT甲基化阴性(7%),WHO分级 :IV级。


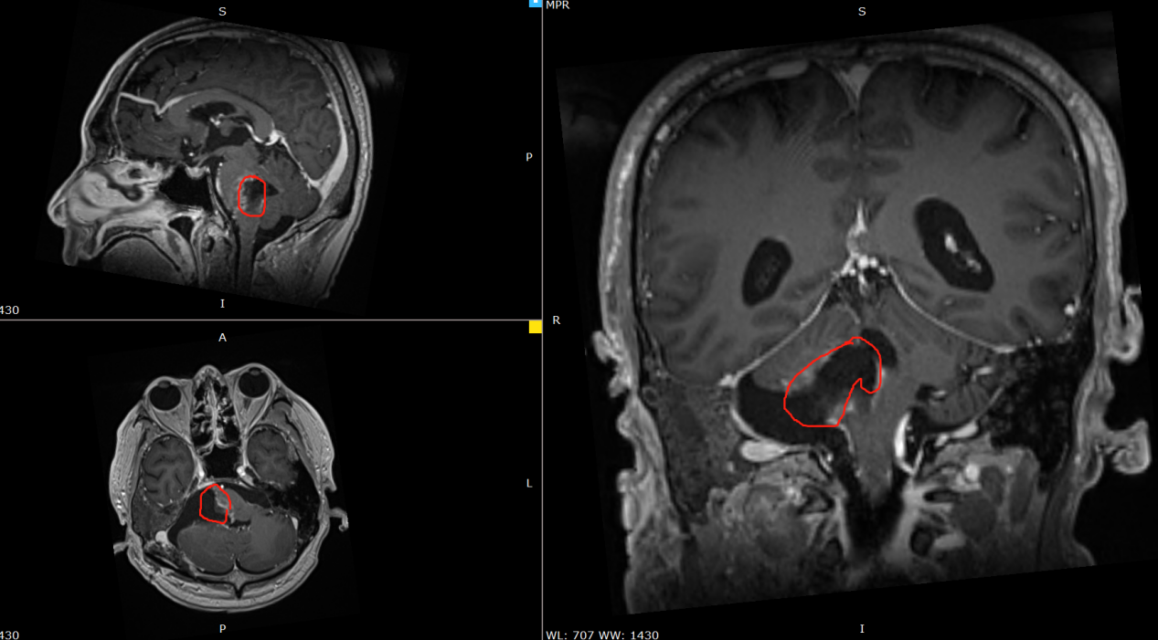
术前影像:右侧脑桥占位,与周围结构分界不清,脑干受压变薄,向左前移位。


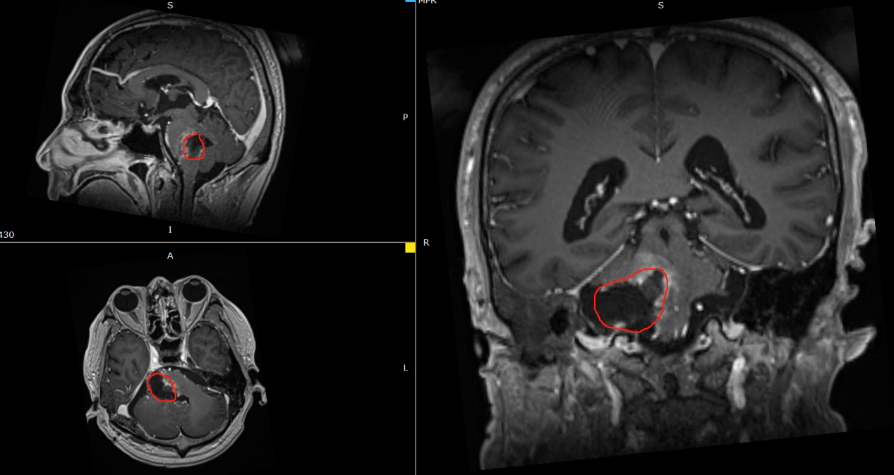
术后影像:肿瘤占位被大部分切除,切除率95%以上。残余部分与脑干关系密切。
术后当天患者苏醒,神清。术后一周被要求进行下床康复训练,并进行吞咽功能康复训练。术后20天,患者神清,恢复良好,能自主进流食。术后22天登记回国进行后续康复治疗和定期随访复查。
胶质瘤复发怎么办?如果是高级别,术后复发是的。所以术后的辅助治疗也重要,如果条件允许,一些新疗法可以采取。术后质子放疗、分子靶向药物治疗、电场疗法、免疫治疗等。


