脑转移瘤是常见的医学问题。根据2008年美国癌症协会的登记,估计每年大约有140万美国人被诊断为癌症,其中近40%的患者发生一处或多处脑转移瘤。治疗方案包括手术、放疗、立体定向放射外科(SRS)和化疗。为了确定较佳的管理策略,已经作出了相当大的努力。
因此,开展了大量精心设计的研究,目前已有循证临床实践指南。然而目前对颅底转移瘤的关注较少,这无疑与此类病变的相对少见有关。目前关于颅底转移瘤的医学文献主要包括病例报告和小的病例系列。目前还没有针对不同治疗方案的比较研究,也没有基于证据的实践指南。目前,对这些患者的治疗是基于文献中有限的可用数据和治疗团队的临床经验。

流行病学
尸检系列显示SBM的高发病率。Belal发现一般人群中颞骨转移的发生率为3%;然而,Jung和他的同事、以及Gloria-Cruz和同事报告,在已知有癌症病史的受试者中,颞骨转移的发生率分别为24%和22.2%。但是,这些转移瘤在临床上大多是静默的,临床系列研究显示颅底转移瘤的发生率要低得多。在2005年发表的一篇文献综述中,分析了英国和法国文献中279例病例,腺癌实际上是较常见的(38%),其次是乳腺癌(20%)。全部其他疾病各占不到10%,大多数占不到5%的受试者。
临床表现
颅底转移瘤通常被诊断于已经知道有转移性癌症的患者。在大约28%的患者中,这些病变可能是癌症的一个征象。在大多数情况下,认为这些病变是通过血行播散传播的。在腺癌的情况下,沿广泛连接的中线静脉系统逆行静脉播散也被认为是一种可能的机制。恶性肿瘤也可以通过头颈部癌的直接扩散到达颅底。然而,这些患者并不代表的转移瘤。
颅底转移瘤可无症状;例如,在常规成像进行癌症分期或在头部创伤的脑部成像中可能偶然被发现。然而,当已知有癌症病史的患者出现颅神经病变或颅面疼痛时,应强烈怀疑颅底转移瘤。几种临床综合征确定的解剖位置的损害已得到描述。
1.眼眶综合征
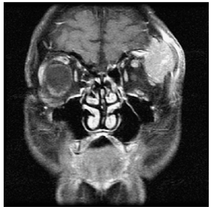
眼眶综合征以眼眶或眶上疼痛、前额头痛、眼球突出、复视和视力模糊为特征。检查可见典型的眶周肿胀、压痛、明显的肿块和视力下降(图1)。

图1。冠状位,对比增强后,T1加权MRI,72岁男性有严重疼痛和进行性突眼。眼眶切除及游离瓣重建均顺利,导致疼痛明显减轻。该肿瘤较初被认为是原发性泪腺癌,但较终被发现来自小的原发性肺癌,被肺纤维化所掩盖。
2.鞍区/鞍旁综合征
鞍旁综合征的特征是额部和眶上头痛、复视、面部疼痛和感觉迟钝。体格检查发现眼球麻痹,面部感觉减退,偶尔轻度突出。可能有垂体功能减退、尿崩症和视力下降的体征和症状。
3.半月神经节综合征
转移到颅底中部的半月神经节综合征可沿三叉神经分布,引起疼痛、麻木和感觉异常。症状与特发性三叉神经痛相似。在检查中,三叉神经的一个或多个分支的分布区域通常出现感觉缺失,并伴有运动根的某些功能障碍。延及Dorello 管可导致伴随的外展神经麻痹。
4.颞骨综合征
颞骨综合征的特征是听力下降和耳痛。眩晕和耳鸣不太常见。听力下降可为传导性的,与继发性中耳炎引起的咽鼓管功能障碍,或累及耳蜗神经引起的感觉神经性障碍相关。体格检查通常显示耳廓周围肿胀和面神经麻痹。
5.颈静脉孔综合征
颈静脉孔综合征的特征是枕骨或耳廓后疼痛、声音嘶哑和吞咽困难。体格检查时,通常表现为上颚无力、声带麻痹、胸锁乳突肌和斜方肌无力。偶尔,舌咽神经痛也可能是临床症状的一部分。
6.枕骨髁综合征
枕骨髁综合征的特征是枕骨疼痛和颈部僵硬。构音障碍和吞咽困难是该综合征的共同特征。典型的体格检查显示舌肌无力、舌肌萎缩和舌肌纤颤。
治疗策略
1.放疗
放疗是目前颅底转移瘤的主要治疗方式。在较近的一项研究中,McDermott和他的同事报道15例腺癌颅底转移瘤患者接受放疗的结果。其中14例受试者的颅神经障碍部分或完全好转。放疗的疗效似乎受治疗时机的影响很大。延迟治疗这些肿瘤会导致功能恢复的可能性降低。Vikram和Chu发现,87%的患者在症状出现后1个月内接受放疗,而在症状出现3个月后接受治疗的患者中,只有25%的患者症状得到好转。
一般来说,作者在3周内14次分割照射35Gy。这种快速分割的日程安排有很好的耐受性,很少有长期后遗症的风险。对于有控制的系统性疾病和较长的预期寿命的患者,作者一个更持久的疗程。在这些情况下,按每次分割1.8或2Gy照射50Gy,是合理的。作者通常覆盖放射影像学上可见的疾病,并使用边缘扩展,包括至少一小部分临床未受累及的颅底。
2.化疗
除了放疗,化疗、免疫治疗和激素治疗通常是根据特定的瘤种处方。颅底转移瘤的化疗处理不在本文的讨论范围之内。
3.立体定向放疗
放射外科已被用于颅底转移瘤的初始治疗,以及手术后或放疗后残留或复发的治疗。报告的肿瘤控制率在65%和90%之间变化。Iwai和Yamanaka报道了18例伽玛刀放射外科治疗的患者。平均随访10.5个月。12例(67%)肿瘤保持稳定或体积减小。5例受试者(28%)症状完全缓解,6例受试者(33%)症状部分好转。SRS的主要受限性与肿瘤的大小有关,可以用这种方式治疗。报告的并发症发生率在6%至12%之间。报告的并发症包括颅神经病变(视神经、三叉神经、面神经、外展神经)、斜视和脑脊液漏。
4.手术
近年来在原发性颅底肿瘤手术治疗方面的技术进步使得将这种方法应用于有孤立性转移的患者成为可能。只有少数颅底转移的患者被认为是手术切除的候选者。这些患者是根据其临床和功能状况进行危重选择的;原发性和转移性疾病的范围;相关的影像学研究;以及肿瘤的组织病理学、生物学性质和对以往治疗的反应。一些因素可能会使手术成为一些病人可行的治疗选择。
小细胞肺癌、乳腺癌和腺癌对放疗、化疗或激素治疗特别敏感。另一方面,黑色素瘤、肾细胞癌和大多数肉瘤是放射抵抗性的,应考虑手术治疗。在一些患者中,因为患者不知道有转移性癌症,或因为更常见的肿瘤(如脑膜瘤)不典型的临床或放射影像学表现,诊断可能是不确定的。手术减压可以潜在地好转他们的功能状态和生活质量。
总结
颅底转移瘤在尸检研究中很常见,但在临床系列中少见。对癌症患者新发颅神经障碍或颅面疼痛的高度怀疑有助于早期诊断。
在大多数情况下,一线治疗是放疗。如果在症状出现后立即实施照射,可以提供的症状缓解。SRS是另一种合适的治疗形式。它的主要局限性与病变的大小和,如视神经等,邻近的关键结构有关。
少数患者选择手术切除。在这些部分患者中,手术可以提供良好的缓解。理想的手术候选者是功能状态良好、全身系统性疾病控制良好、预期生存率较长的患者。手术的主要适应证为:对未知原发肿瘤的诊断需要,伴神经功能障碍加重的对辐射有抵抗性的肿瘤的缓解,以及手术可接近的大的孤立性转移瘤。
参考文献:Management of Skull Base Metastases.(doi: 10.1016/j.nec.2020.06.013.)


