inc国际神经外科医生集团
导航
(爱恩希)INC国际咨询电话

脑肿瘤

脑肿瘤
当前位置:INC > 脑肿瘤 >

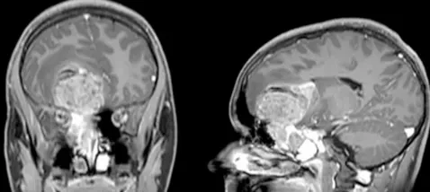
脑瘤导致梗阻性脑积水后,医生在他脑中放了一个支架,症状完全消失

肿瘤的压迫,会导致中脑导水管狭窄,进而造成梗阻性脑积水。当梗阻性脑积水发展到十分严重的程度时,脑室内的压力就会急剧升高,甚至可能形成脑疝。这是一种十分紧急的病症,同时又极...

2026-04-12 09:30:24

医者也是“发明家” :颅底肿瘤手术风险大?看神外大咖如何优化手术入路智

一边手术,一边发明 医者们在救治患者的过程中常常会遇到各种问题,为了解决问题,改进软硬件系统、发明手术入路等都是非常常见,最终目的是为患者的健康保驾护航。 当肿瘤深藏于大脑...

2026-04-09 10:53:42

全切与保功能只能二选一?粘连严重、血供丰富的鞍区肿瘤,国际大咖如何精准

医生,这个位置能手术吗? 查出鞍区肿瘤,手术风险成为担心的问题。 这个问题的背后,藏着深深的恐惧:大脑深处、颅底正中,小小的区域密集分布着垂体、视神经、视交叉、下丘脑、海绵...

2026-04-01 10:12:57

手术联合质子治疗 VS 单纯手术:颅底软骨肉瘤研究带来哪些新发现?

颅底软骨肉瘤是一种罕见的恶性肿瘤,目前主流治疗方案为手术联合辅助质子治疗。尽管该策略可有效控制肿瘤,但治疗相关并发症发生率较高,而疾病本身死亡率较低,这促使我们重新审视治...

2026-03-30 13:31:21

顶盖vs被盖:不同位置的中脑肿瘤有何不同?INC国际儿童神外Rutka教授解读

脑干区肿瘤是一组发生于中脑、脑桥及延髓,并可向邻近小脑、颈髓区域发展的异质性病变。这类肿瘤在儿童中枢神经系统肿瘤中占比约为10%-20%,在成人中则占1.5%-2.5%。从病理类型看,最常见...

2026-03-30 11:31:34

孩子被误认为“睡神”,医生却说他的大脑“被休眠”急需手术!

妈,我好困 不知道这是第几次,小米又向母亲抱怨自己的困倦。这种熟悉的无力感已经伴随这个家庭十余年,而情况远非一句犯懒或缺觉所能概括。小米生病了,谁也不知道病因,治疗无从下...

2026-03-29 11:44:12

6个月大查出脑瘤,他没有被放弃!小生命也能创造出大奇迹

当6个月大的婴儿被确诊为脑肿瘤,当开颅二字与一个尚未满周岁的生命联系在一起,无论哪个家庭都会陷入无尽的恐惧与煎熬。然而,天乐的经历却为所有人展示了一个关于勇气、抉择与奇迹...

2026-03-28 08:58:41

“我的嗓子怎么哑了?”查出脑瘤,少年没有成为旁观者,他的人生由自己掌控

当青春被按下了暂停键,一个少年选择无畏迎战。术后两个月,他发来的随访视频里,是呼啸的风声和重获新生的笑脸。 沿着绵延的公路,少年骑着自行车,手中紧握的不止车把,还有人生的...

2026-03-27 10:46:35

45岁,瘫痪昏迷;16岁,面临面瘫…他们如何在脑干“禁区”找回新生?

脑干脑桥出血是神经内外科的危重急症,当血液涌入这个掌管着呼吸、心跳、意识的生命中枢时,患者可能在48小时内被死神带走。而即便幸存,也可能面临瘫痪、面瘫、吞咽困难等毁灭性后遗...

2026-03-25 10:12:01

又一次“常规操作”:基底节巨大肿瘤全切后近5年,他健康、求学、运动,与

与疑难脑瘤抗争的故事 2026年3月22日,INC巴特朗菲教授中国行期间,除了示范手术,老患者随访如常进行。如今已21岁的小磊就是随访中的一员,距离巴教授为小磊切除巨大的基底节-岛叶肿瘤,...

2026-03-24 10:09:26

相关