一份产检异常报告打破孕期的喜悦。
对于30岁的苏珊来说,怀孕本是一段充满期待与喜悦的旅程。
然而,孕28周的她满怀憧憬地前往医院进行常规孕检,医院给出的检查结果却如同一盆冷水,瞬间浇灭了她的喜悦。
肚子里的宝宝脑子里面竟然有个异常信号,进一步检查证实右侧大脑半球巨大血管病变,还出现梗阻性脑积水。

当她看到影像中的宝宝照片,在肚子里面的乖巧得很,怎么就血管畸形了呢?孩子会不会很危险,该怎么办?
颅内软脑膜动静脉瘘(PAVF)是脑动脉与静脉之间的直接沟通,缺乏典型脑动静脉畸形所见的丛状畸形团。该类血管畸形多见于儿童群体,胎儿发现的极为罕见,主要因对该病认识不足且影像显示困难。INC国际儿童脑瘤大咖、世界小儿神经系统知名杂志《Child´s Nervous System》现任主编Concezio Di Rocco教授等发表研究《Prenatal Diagnosis and Multimodal Neonatal Treatment of a Rare Pial Arteriovenous Fistula:Case Report and Review of the Literature》,上述案例正来于此。

罕见胎儿脑动静脉瘘
这是一例罕见占位效应型PAVF,经胎儿MRI确诊,病变位于右侧大脑半球,由胼周动脉供血,并伴巨大静脉瘤样扩张。第一次进行血管内栓塞治疗;然后术后因大脑中动脉(MCA)供血支参与且静脉瘤囊迅速增大、发生占位效应,遂进行二期手术。至此,PAVF才完全消失,宝宝安然无恙,无新发并发症。
婴幼儿罹患软脑膜动静脉瘘特别棘手,文献报道其致残率与死亡率均高于年龄大一点的儿童。
苏珊进行的是常规产科超声(US)检查中,检查发现肚子里的宝宝颅内存在一个最大径7cm的无回声灶,彩色多普勒显示病灶内部有血流信号。
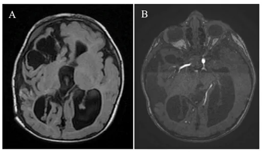
胎儿MRI发现右侧大脑半球巨大血管病变,压迫邻近脑实质,致中线结构向对侧移位,还出现早期梗阻性脑积水(图1A-B)。还好的是,胎儿生命体征稳定,因此医生决定等待胎儿出生后再进行治疗。

图1A-B
剖腹产后婴儿顺利手术
苏珊择期进行剖腹产,生下一名男宝亨利,体重2870 g。新生儿清醒、反应可,四肢可自主活动,Apgar评分显示发育正常,仅见轻度肺动脉高压。
亨利生后第1天,检查确定颅内存在血管病变,表现为囊状动脉瘤样结构,内部为搏动性血流。
当天又进行磁共振血管成像(MRA),显示右侧额叶软脑膜动静脉瘘(PAVF),伴软脑膜静脉瘤样扩张,其内血流湍急,经扩张静脉引流入上矢状窦(图1C-E);病变还压迫同侧脑组织,致局部脑实质萎缩。

图1C-E
由于亨利临床状态稳定,医学团队决定在亨利出生后第8天行数字减影血管造影(DSA),以完成病变的血管内栓塞治疗。术后即刻造影显示主瘘道完全闭塞(图2C)。

图2C
术后5小时经前囟彩色多普勒证实软脑膜静脉瘤样扩张段已完全血栓化,无残余血流,上矢状窦回流通畅。
亨利术后初期病情平稳:前囟平软,患儿清醒、刺激反应可,四肢自主活动,瞳孔等大等圆、对光反射灵敏。
术后第1天,亨利神经状态轻度恶化。急诊CT示瘤囊内血栓进展、囊腔较前增大;CTA发现右侧大脑中动脉(MCA)远端一新发粗大供血支参与瘘口(图3A),该支在术前DSA中并未显影。

图3A
鉴于MCA供血支解剖形态不适合血管内介入,且静脉瘤囊迅速扩张已对邻近脑组织产生致命占位,经多学科讨论后决定二期手术。
亨利进行开颅手术,切开瘤囊,清除血凝块后完整切除囊壁。为促使脑复张,术区留置硬膜下外引流管。
术后过程平稳:患儿清醒、反应好,自主呼吸恢复并顺利经口喂养。早期影像排除手术并发症,轻度脑积水缓解,遂拔除引流管并出院。
亨利术后24个月随访未见晚期并发症(图4)。在亨利4岁时随访,神经功能与认知发育均达满意水平。

图4


