inc国际神经外科医生集团
导航
(爱恩希)INC国际咨询电话

脑动静脉畸形

脑动静脉畸形
当前位置:INC > 脑动静脉畸形 >

脑动静脉畸形手术风险评估:除了大小,病灶深度更关键!

脑动静脉畸形(bAVM)就像大脑里的不定时炸弹,手术切除畸形团是减少出血风险并改善患者生活质量的主要方式,可手术风险有多大?要如何评估? 传统评估主要看畸形团大小、位置是否关键...

2026-05-01 13:18:52

从外科战场视角看脑动静脉畸形:发病机制、争议与治疗抉择

长久以来,脑动静脉畸形(AVM)的治疗决策如同在迷雾中权衡风险是主动干预,还是静观其变?一场着名的临床试验曾试图给出答案,却引发了更深远的争议与思考。 此前,INC国际神经外科医...

2026-04-18 11:05:52

动脉瘤破裂合并硬膜下血肿:这种罕见危重出血,预后到底如何?

当动脉瘤破裂,血液首先涌入蛛网膜下腔(SAH);若出血迅猛,更可能突破蛛网膜,在硬脑膜下形成巨大的血肿(SDH)这场二次打击来势汹汹,患者的生存希望究竟几何?INC国际神经外科医生集...

2026-04-16 10:50:31

内听道里的罕见“陷阱”:当动脉瘤伪装成听神经瘤

远端小脑前下动脉(AICA)瘤非常罕见。大多数远端小脑前下动脉瘤因蛛网膜下腔出血而出现症状。对于如此罕见的疾病,INC国际神经外科医生集团旗下组织世界神经外科顾问团(WANG)成员Hen...

2026-04-02 10:45:39

女儿才从动脉瘤手中逃脱,又被迫直面恶性脑瘤:这次能赢吗?

当救护车的鸣笛呼啸而过,意味着又一个家庭即将面临生死考验。9岁的苏珊原本只是一个健康快乐的女孩,她的生活充满了欢笑与好奇,直到这个平静的日子淹没了她。剧烈的头痛毫无征兆地...

2026-03-31 10:52:35

小儿脑动脉瘤,与成人有何不同?INC国际脑血管大咖研究揭示关键风险点!

提到颅内动脉瘤,大家多会联想到中老年人,殊不知儿童也会患上这类疾病,只是发病率极低,仅占颅内动脉瘤总数的0.5%~4.6%,低龄儿童和婴儿患病则更为罕见。不同于成人动脉瘤由吸烟、高血...

2026-03-28 08:49:24

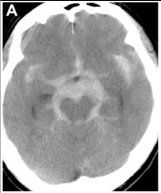
2岁宝宝头顶“跳动”的鼓包,竟是大脑血管瘤发出的危险信号

头皮肿块是日常临床实践中并不少见的主诉。其涵盖多种不同的临床实体,通常通过切除或单纯观察进行处理。尽管罕见,但头部肿块可能隐藏着潜在的颅脑畸形,必须术前予以诊断以实施适当...

2026-03-28 08:45:27

8岁男孩车祸后昏迷不醒,竟是更凶险的“颅内危机”正在发酵

创伤性颅内动脉瘤,是颅脑损伤后极罕见、极高危的并发症,尤其发生在儿童后循环,更是少之又少。 而本文要讲述的这位8岁男孩在严重车祸后,不仅查出位于手术难度极高的后循环区域的动...

2026-03-18 11:43:17

脑子里的2个瘤,令他不敢咳嗽:动脉瘤多为先天性吗?

小佳是一名身体健康的初中生,但从2个月前开始,他的偏头痛犯了。忍无可忍的小佳在妈妈的陪同下去了一趟医院,医生给他开了治疗偏头痛的药,吃完后小佳确实不再头痛了。直到几周后头...

2026-03-15 12:32:36

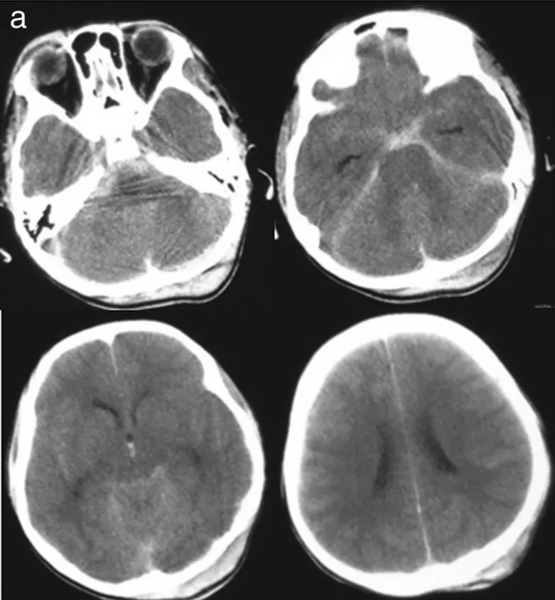
与时间赛跑:新生儿颅内血管畸形破裂的急诊手术决策与处理

尽管大多数颅内血管畸形被认为是在先天基础上形成的,但它们在产前极少被发现,在新生儿和婴儿中也并不常见。这一特定患者群体的临床表现,最常见的特点是由大体积颅内出血引起的颅内...

2026-03-14 11:56:25

相关