脊髓髓内海绵状血管瘤占全部脊髓血管病变的5%-12%。症状性CH的临床过程具有侵袭性,出血率高,因此建议手术切除。通常通过后部或后外侧入路进行脊髓切开术以切除肿瘤。然而,脊髓腹侧的损伤在技术上很难通过后路进入。下文报告了肿瘤切除术后颈椎前路椎体切除融合术的技术和手术结果(ACCF)。
脊髓髓内海绵状血管瘤病史摘要
一名47岁男性表现为左上肢感觉障碍。t2加权磁共振成像(MRI)的强度和含铁血黄素沉积质量显示脊髓腹侧的区域在C6级别(图1)。诊断被怀疑CH,执行和手术切除(视频、数字内容补充1)。C6椎体切除术的范围很广,部分切除了C5和C7椎体,是椎体背侧,以便于后续手术。,特别是脊椎骨背侧的椎体,以减轻后续手术的难度。卢施卡夫妇的关节被完全保存下来。获得了一个足够的手术领域为肿瘤切除被证实使用超声探头。硬脑膜和蛛网膜被纵向打开。发现CH并将其与周围脊髓完全分离。手术切除时未行脊髓切开术。组织病理学检查示CH(图2)。硬脑膜蛛网膜用5-0尼龙线缝合,并涂上喷有纤维蛋白胶的贴片,以防止脑脊液(CSF)漏出。从髂嵴移植自体骨支柱,不需植入硬体。肌肉被缝合,伤口被缝合。术中脊髓监测采用经颅电刺激运动诱发电位(Transcranial electrical stimulation motor evoked potential,MEPs),术中未见振幅或潜伏期恶化。估计失血量50 ml,手术时间5小时23分钟。

图1,矢状(左)和轴向(右)切面的术前T2加权磁共振成像。注意C6水平脊髓腹侧区含铁血黄素沉积的不均一密度肿块(箭头)。

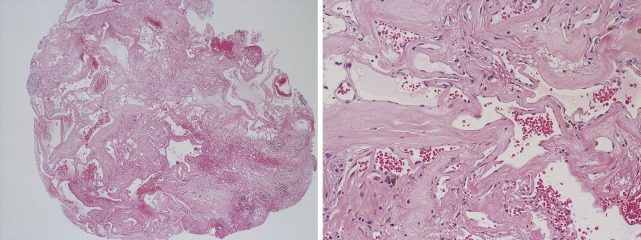
图2,在较低(左)和较高(右)放大倍数下切除病灶的苏木精-伊红染色。内皮细胞扁平的扩张薄壁血管突出。
术后过程顺利,无脑脊液漏,术前症状消失。术后6个月获得骨性融合,术后两年无局部复发。
脊髓髓内海绵状血管瘤案例讨论:脊髓海绵状血管瘤全切可恢复正常!
尽管有一些研究报道了采用前路手术切除颈脊髓胸段,但缺乏详细的手术技术或长期随访的临床结果的信息。案例中成功地切除了颈椎腹侧的髓内海绵状血管瘤,术后预后良好,在手术后至少两年没有围手术期并发症或复发。这种方法更容易直接切除存在于脊髓腹侧的血管畸形。
通常选择后路进入髓内部位。然而,如果肿瘤或畸形存在于腹侧,则需要进行深脊髓切开术,增加了术后神经系统恶化的风险。此外,从背侧到腹侧的间接进入会使整个病变的可视化变得困难,导致不完全切除。Fontaine等人主张采用前外侧入路治疗腹部损伤,但这种方法有损伤椎动脉的风险。因为对于神经外科医生的要求也较高。
前路手术有几个缺点。切除带有椎间盘和前后纵向韧带的椎体会导致脊柱不稳定,需要进行前路融合。此外,由于手术范围深且窄,工作空间有限。然而,如果髓内病变很小,并且出现在颈髓的腹侧表面,这种方法是有用的。这种情况允许外科医生在不切开脊髓的情况下解剖病变,这是前路手术的一个优点。事实上,一些外科医生已经使用这种方法治疗其他髓内肿瘤,包括血管母细胞瘤,并报告说它是顺利合适的,就像在我们的病例中一样。我们的结论是,如果严格选择患者,这种技术很有可能实现完全切除。
根据之前的报道,术后核磁共振观察到的残余脑海绵状血管瘤常导致复发。上述案例实现了完全切除,在术后图像上没有检测到残留病变,表明局部复发的可能性很低。然而,需进行更长时间的随访观察,以确认不会复发。


