inc国际神经外科医生集团
导航
(爱恩希)INC国际咨询电话

脑海绵状血管瘤

脑海绵状血管瘤
当前位置:INC > 脑海绵状血管瘤 >

面瘫、斜视、偏瘫,脑桥海绵状血管瘤手术为何步步惊心?

脑干脑桥海绵状血管瘤一旦出血,后果不堪设想。手术切除是根治病灶的希望所在。然而,手术风险极高,稍有不慎便可能伤及重要神经,如何选择最安全的手术入路,是神经外科领域持续探索...

2026-05-12 09:59:46

怀孕撞上脑瘤!在“保大保小”的伪命题前,她选择了第三条路:都要平安!

当孕妈妈查出脑瘤,电视剧中往往会出现保大人还是保小孩的剧情,到底是先解决颅内情况,还是先剖腹产?尤其是,女主角在生孩子时出现了危险,医生向家人询问是保大人还是保小孩?产妇...

2026-05-11 11:49:44

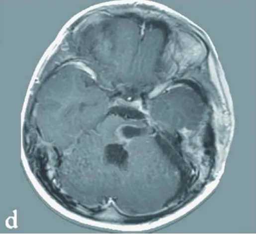
“观察”险些酿大祸!等待手术的1个月,脑干血管瘤再次出血,母亲惊觉该早

医生不知道手术从哪里下手。做了也可能是瘫,不做也是瘫痪。当母亲因脑干海绵状血管瘤而双手越发不灵活,甚至简单的拿筷子都不行,女儿听到的这句话,几乎让全家人陷入绝望。一个大小...

2026-05-06 11:46:40

孕期发现脑干海绵状血管瘤,还能保母子平安吗?

怀孕期间发现患有脑海绵状血管瘤是比较罕见的情况,但一旦发生就会很棘手了。INC国际神经外科专家巴特朗菲(Helmut Bertalanffy)教授团队在相关研究中就对高功能区脑干海绵状血管瘤孕妇的处...

2026-04-29 10:03:49

3岁女童脑干海绵状血管瘤术后,医生为什么坚持给她父母也做基因检测?

INC国际巴教授所在研究团队曾报道过一个病例:患者是3岁小女孩,因突发头痛、嗜睡、偏瘫等症状而紧急就医,检查结果发现小朋友脑袋里不仅有个很大的海绵状血管瘤,而且还存在多出病灶...

2026-04-24 09:29:47

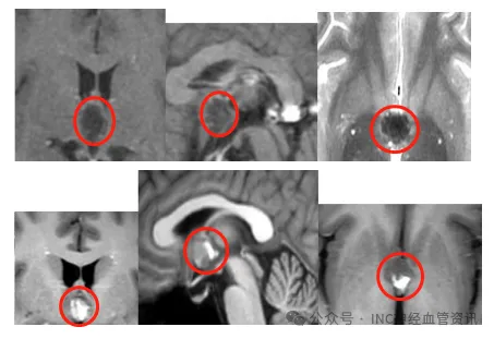
脑干海绵状血管瘤,手术还是观察?一项涵盖15个国家、3000多名患者的研究给出

自从1928年Dandy教授首次记录切除脑干海绵状血管瘤(BSCM)以来,显微手术技术发展迅速,直到今天,脑干也不再是无人之地。目前统计,位于脑干的海绵状血管瘤有20%,一些研究中达到35%。 由...

2026-04-16 11:02:40

术后82%的孩子得到改善!海绵状血管瘤何时手术主要看这两点

我们都知道,一旦孩子出现神经功能缺损,是很难恢复正常的,尤其是在一些危急病症中,而海绵状血管瘤随时可能出血的特征,是许多患儿及家庭对它感到恐惧的来源之一。什么时候要手术?...

2026-04-15 10:53:48

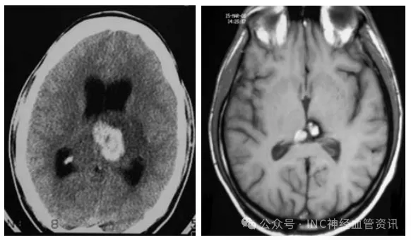
平时无任何症状的20岁女孩,怎么就突发脑干出血,偏瘫昏迷?

一说到脑瘤,绝大多数人的脑海里马上就会浮现出这样的画面:恶心呕吐,头痛不止,视力下降、走路不稳,严重甚至生活不能自理事实真的全然如此吗?当然不是! 这样回答,肯定会有人反...

2026-04-09 10:56:12

脑海绵状血管瘤的治疗抉择:手术?放疗?还是静观其变?

一次体检,MRI报告上颅内海绵状血管瘤的诊断让许多人心里一沉。这个听起来陌生的医学名词,究竟意味着什么?需要马上开刀,还是可以观察? 对此,INC国际神经外科医生集团旗下世界神经...

2026-04-04 11:30:04

以为伽马刀能搞定,没想到两年后更糟了

2022年,林女士攥着最新的MRI报告,指尖发白。报告上冷冰冰地写着:脑干海绵状血管瘤较前增大。她闭上眼,两年前那个求稳的决定,像一颗钉子,深深扎在心里。 01 一场运动后的意外 改变了...

2026-04-03 10:30:57

相关