当巴教授回复的邮件上写着“COMPLETE cavernoma removal(病灶全切)”的字样映入眼帘,这些曾让佩珊提心吊胆的日夜,如今终于可以画上句号。

2023年7月,佩珊因左侧肢体无力就医后被诊断出脑干桥脑海绵状血管瘤出血。尽管症状在半个月后逐渐恢复,但“再次出血”的阴影却始终笼罩着她,她小心翼翼地生活,不敢大声说话、不敢情绪激动、甚至不敢自己推门。
佩珊不想一辈子活的提心吊胆,决心手术切除病灶,却被告知手术极有可能导致永久性面瘫、偏瘫......
脑出血为何会让佩珊肢体无力?脑出血还有哪些表现?桥脑海绵状血管瘤切除手术为何易致面瘫偏瘫呢?
突发无力与艰难抉择
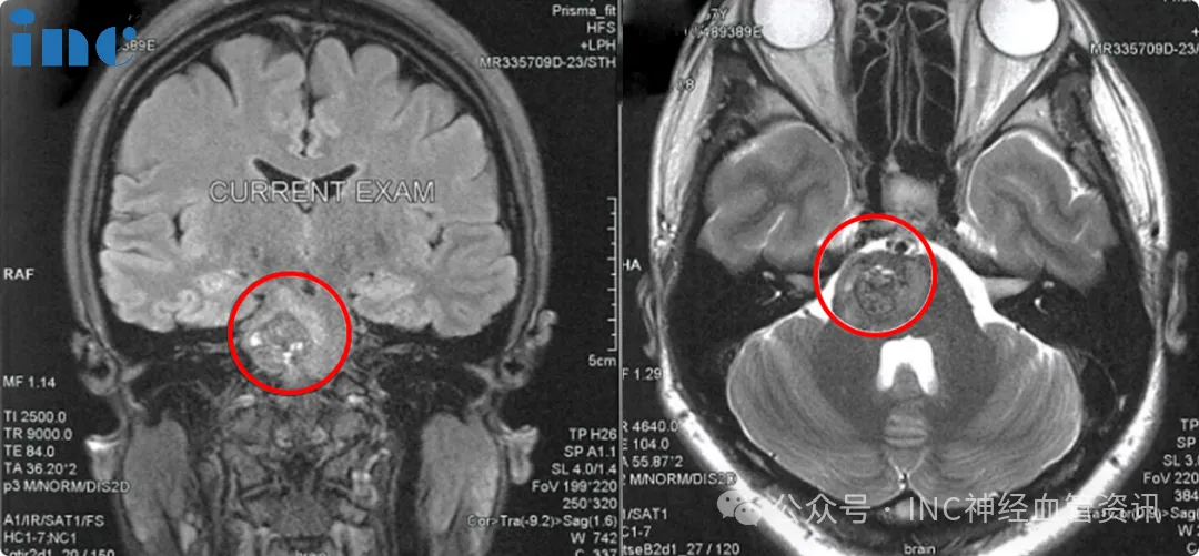
一切始于一个再普通不过的夏日。佩珊突然感到左侧身体使不上力,左脚尤为明显。在香港当地医院,颅脑核磁共振(MRI)给出了明确却令人心惊的诊断:脑干脑桥区域的海绵状血管瘤正在出血。

经过约半个月的保守治疗,佩珊肢体无力的症状基本恢复了。身体虽已无恙,但心理的警报却从未解除。医生告知她,海绵状血管瘤就像埋在脑干里的一颗“不定时炸弹”,再次出血的风险始终存在,且每一次出血都可能导致更严重的神经功能损伤,甚至瘫痪。
佩珊鼓起勇气寻求根治性手术时,得到的回复却让她陷入更深的绝望——多位医生评估后,均因手术风险极高而建议保守观察。“他们都说做了可能会偏瘫、还会面瘫。医生说:‘你能接受这个结果就可以做。’我肯定不敢啊,我才37岁……”
脑出血的这些前兆不容忽视
佩珊最初的症状——突发性肢体无力(偏瘫或单肢无力),正是脑出血最典型的前兆之一。这并非肌肉本身的问题,而是因为出血灶压迫或破坏了大脑中控制运动的神经传导通路(如皮质嵴髓束)。
当脑干内的运动神经纤维受损,大脑发出的“运动指令”就无法顺利传达到身体对侧的肢体,从而表现为无力或瘫痪。
除了肢体无力,脑出血还可能表现出其他多种神经功能缺损症状,它们都是大脑发出的“求救信号”:
- 言语不清或理解困难:出血影响语言中枢。
- 面部歪斜或麻木:尤其是一侧口角下垂、流涎。
- 视物模煳、重影或视野缺损:与视神经通路受累有关。
- 剧烈头痛:常被描述为“一生中最剧烈的头痛”,可能伴有喷射性呕吐。
- 眩晕、平衡障碍或行走不稳:小脑或脑干前庭系统受影响。
- 意识水平下降、嗜睡或昏迷:提示出血量大或影响网状激活系统。
一旦出现上述任何一种突发症状,都必须立即就医,争取宝贵的救治时间。
绝境寻医:从香港到苏州
面对“手术可能致残”与“不手术可能再出血还是有可能致残”的两难困境,佩珊和家人没有放弃。他们开始寻找在脑干手术领域拥有顶尖技术和丰富经验的专家。最终,INC国际脑干手术大咖巴特朗菲教授进入了他们的视野。作为世界公认的脑干、颅底肿瘤手术大师,巴特朗菲教授拥有上千例脑干安全手术的成功经验。
通过INC国际神经外科医生集团的协调,佩珊将详细的病历资料发送给巴特朗菲教授进行远程咨询,教授的回复清晰而笃定:
邮件内容
“我可以为患者完全安全切除病灶。风险是已经由出血引起的感觉运动缺陷的暂时性的,轻微的听力缺陷和轻微的面部无力,然而,这些副作用无论如何都只是暂时的。手术后出现这种症状的风险可能是5-6%,如果确定是术后出现的,那这种缺陷在手术后1-3个月内得到解决”
“不会面瘫和偏瘫”,这句评估给了佩珊前所未有的信心。2023年9月,她毅然从香港飞往苏州,在巴特朗菲教授来华示范手术期间,接受了这台关键的手术。
术前谈话时,巴教授指着模型,用平和的语气安慰紧张的佩珊,还让佩珊去病房看望他前两天刚做完脑干手术、已能下床走动的病人,用事实打消她的恐惧。
手术过程顺利,病灶不仅得到了全切,且最让佩珊担心的偏瘫、面瘫等也没有发生,也不需要后续放疗辅助,她在ICU待了一天就转至普通病房了。

“术后醒来第一件事就是动动手脚、眼睛,摸一下脸有没有面瘫。一切都很好,真的太神奇了!”佩珊在术后第三天就已行走自如。
术后2年,佩珊早已回归正常生活,最新一次复查MRI结果提示那颗病灶已被完全切除,今后不会再引起任何出血,佩珊不必再有担忧。
桥脑手术为何易致面瘫偏瘫?能否避免?
桥脑,作为脑干的重要组成部分,其内部结构极为精密复杂。导致术后面瘫和偏瘫的风险,主要源于两个关键结构的损伤:

桥脑海绵状血管瘤病变位置,血管病变不邻接桥脑表面,但它单侧移动周围的固有结构,包括外展神经和面神经。
面神经核及纤维:控制面部肌肉运动的表情“总司令部”及其发出的“电缆”穿行于脑桥。手术中若损伤,会导致同侧面部肌肉瘫痪(口角歪斜、闭眼不全等)。
皮质嵴髓束:这条从大脑皮层到嵴髓、控制对侧肢体运动的“主干道”也从脑桥经过。此处受损,会导致对侧肢体偏瘫。
然而,高风险≠不可避免。巴特朗菲教授在其学术研究中明确指出,手术入路的选择是降低并发症的关键。

INC巴特朗菲教授在该论文中对135名接受手术的桥脑海绵状血管瘤患者进行了回顾性分析,发现与传统的内侧入路相比,采用经脑桥后外侧入路,可以显着降低永久性面神经和外展神经损伤的发生率(从21.7%降至1.9%-3.7%)。这项研究为个性化、精准化的手术方案提供了坚实依据。
正是基于对脑桥三维解剖的极致掌握、对病变类型的精确分型,以及巴教授会根据患者病灶的位置、大小,个性化制定手术方案,同时借助术中电生理监测,精准识别神经位置,最大程度避免损伤,实现“全切病灶+保护神经功能”的双重目标。
佩珊最新的复查影像,是这场高难度战役最终胜利的无声宣言。那个曾经连推门都害怕的女士,如今已彻底摆脱阴影,拥抱她本就该拥有的、充满活力的正常生活。
她的故事告诉我们,对于位于脑干等复杂区域的病变,治疗的选择不应只有“高风险手术”或“被动等待”。积极寻求国际前沿的诊疗意见,是战胜病魔的重要前提。而找到一位在该领域有深厚造诣、丰富经验的医生,才能为治疗成功提供最有力的保障,往往意味着多一种可能,多一份希望。
INC国际脑血管专家-巴特朗菲教授
INC国际神经外科医生集团旗下世界神经外科顾问团(WANG)成员、世界神经外科联合会(WFNS)教育与技术委员会前主席巴特朗菲教授,作为德国汉诺威国际神经外科研究院血管神经外科主任,擅长大脑半球病变、脑干病变、脑血管疾病、脑内深层区胶质瘤、颅颈交界处的病变等的肿瘤切除术、神经吻合术以及各种椎管内肿瘤等。

同时,巴特朗菲教授收到过来自欧洲、中东、北非以及日本、中国、韩国、新西兰、南非和智利的40个国家的学术邀请,应邀出席了400多场世界各地的学术会议或在神经外科大会作为特邀发言人,对世界神经外科学科做出重大贡献,特别是颅底外科和显微外科血管病变的脑和嵴髓治疗。


