脑干出血有哪些临床症状?脑干出血一次多为突然头痛、眩晕、呕吐、复视、眼球不同轴、侧视麻痹、交叉性瘫痪或偏瘫、四肢瘫等。大量出血(>5ml)时,血肿波及脑桥双侧基底和被盖部,患者很快进入意识障碍,甚至死亡。主要并发症有肺部感染、上消化道出血、吞咽困难和水电解质紊乱,中枢性高热、深静脉血栓形成及痫性发作等,要尽早识别并给予相应处理。一旦发生,对医生或家属而言,其治疗选择变得相当棘手。
从整体上看,脑干出血,可谓是挑战与机遇并存!现实中的脑干出血是一种什么样的存在?我们常听到发生这类疾病的人都是预后不良的例子,但也有幸运者。下文会重点分析两则脑干出血成功治疗的案例(一例原发性脑干出血,一例脑干海绵状血管瘤引起的脑干出血)。

脑干出血严重程度分级
案例交流:原发性脑干延髓出血\半坐位血肿清除术后呼吸控制好转
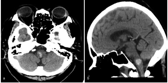
一位70岁的老人因为突然出现恶心和呕吐而被咨询到德国INI。右舌下神经麻痹导致右舌偏斜。她的血压是201/100毫米汞柱。电脑断层扫描(CT)显示右侧延髓出血

图:右侧延髓出血的电脑断层影像,(a)轴向(b)矢状面。
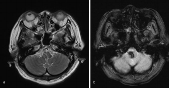
入院后,她出现白天呼吸控制(每分钟呼吸10次)和夜间呼吸暂停。然后她被插管,并用呼吸机控制呼吸。MRI未发现明显的出血原因,如海绵状畸形、动静脉畸形或肿瘤。患者随后被诊断为高血压原发性延髓出血,随后通过持续静脉注射钙通道阻滞剂来降低血压。然而,病人的呼吸控制没有好转。

图:磁共振图像显示出血没有明显的病理原因,(a)T2加权(b)T2加权。
因此,她在入院后3天通过枕下中线入路以半坐位进行手术。枕下开颅术后,大脑池被打开收窄扁桃体和蚓部小舌。在右侧延髓观察到血肿,并通过冲洗清除血肿。血肿清除后,延髓肿胀减轻。术中神经生理监测(运动诱发电位和感觉诱发电位)保持不变。术中无海绵状畸形等病理学证据。术后CT显示血肿完全清除。手术后,她的自主呼吸提高到每分钟15次以上。术后5天停止呼吸机支持,术后6天拔管。术后5周核磁共振成像显示无结构异常。康复后,自主步行出院,没有进一步的并发症。

图:半坐位患者。在这个姿势中,臀部较大弯曲90度,腿部抬高,脚趾靠近头顶。上半身尽可能向后倾斜,头部向前弯曲

图:术后电脑断层扫描显示延髓血肿完全清除

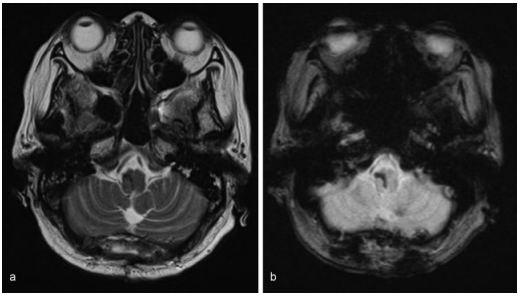
图:术后5周磁共振成像未见结构异常。
脑干出血发病初期的治疗及护理重点在抢救生命,在由脑海绵状血管瘤引起的继发性脑干出血中,如果有手术指证,建议手术。
脑干病变切除是外科领域难度技较大的手术之一。可操作内部的空间小,只有手指粗细,薄如一张纸,各类神经和血管纵横交错,病变生长导致正常脊髓受压迫,病变与颈髓紧密粘连,稍有不慎都有可能出现瘫痪这种严重后果,全切病变不仅需要医生丰富的临床经验和高超的技术水平,还需要术中磁共振(iMRI)、术中神经电生理监测、术中神经导航系统等“高配”的手术设备保障手术的准确顺利。因此,脑干出血等病变想要较大水平降低并发症的前提是选择一个手术经验丰富且技术高超的神经外科手术团队以及具备一系列前沿术中监测设备的医院。


