开颅是怎样一种体验?在26岁的杰森看来,这简直是一场“过山车”般的大起大落!
查出自己脑中长了罕见脊索瘤,此为一落;得知这个脑瘤是直径长达10cm、体积达96.5cm³的“庞然大物”,此为二落;肿瘤导致自己严重吞咽困难、舌头发麻、头颈剧痛,此为三落;无数医生以手术风险太大为由拒绝为自己手术,此为四落……
身心跌至谷底,就算杰森明白人生不过是起起落落落落落,此时也不禁泪流满面:难道世界上真的无人能为自己手术?!但是,当一个人足够绝望时,也就意味着他更有孤注一掷的勇气,这一次,杰森将自己全部的希望放在了福教授身上。
没想到,他真的赌赢了!杰森的人生逐渐“跑起来”了。手术成功全切巨大脊索瘤,此为一起;他术前症状得到明显改善,此为二起;两个月后恢复良好,他有条不紊地开始质子治疗,此为三起……
但是,当杰森听闻医生告知开颅术后自己颈部多了几枚螺钉时,他又一次慌了:“医生,我不是做的开颅手术吗?为什么要在我颈椎里打钉子?”
医生拍一拍他,笑着说道:“这是为你好呀!”

为何没有医生为我手术?
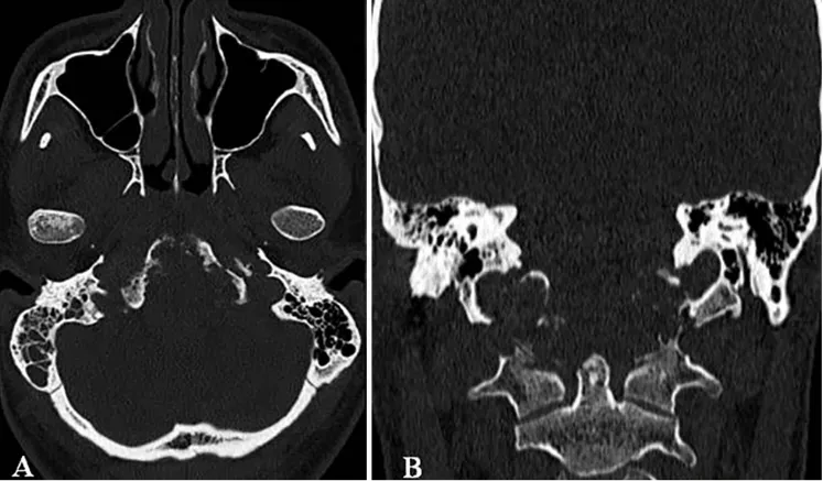
杰森因颈椎疼痛、吞咽困难、舌头发麻而查出一个巨大的颅颈交界区脊索瘤。肿瘤最大直径有10cm,体积达96.5cm³,简直是驻扎在他脑中的绿巨人。问遍各大医院,可有把握的医生寥寥,杰森的手术被一次次“婉拒”。
“这到底是为什么啊?”杰森终于忍不住崩溃了。
“唉,怪就怪这个肿瘤太聪明,长在颅颈交界这个十分难搞的位置。”医生摇头惋惜:“现在肿瘤体积巨大,不仅对脑干和双侧椎动脉产生压迫,还沿着硬膜内扩张,一路侵犯斜坡-枕髁区域,并且还有溶骨性破坏特征,手术风险太大了,很可能术后你就会肢体瘫痪。实在是手术难度太高,你再去别的医院问问吧……”


杰森垂头丧气回到家,如往常一样查阅资料时,一个名字突然映入他的眼帘——世界神经外科联合会(WFNS)颅底手术委员会前主席Sebastien Froelich教授(后称福教授)。杰森抓住这一根稻草,来到了福教授所在的医院。
在评估完杰森的病情后,福教授决定接下这台手术,杰森一瞬间感恩万分,他终于有治疗的希望了!
手术后我的颈椎多了东西
杰森的手术如期进行。福教授考虑到肿瘤已导致颅颈交界区骨质结构的广泛破坏和侵蚀,因此,他选择了远外侧经髁入路,通过显微镜和神经内镜的“双镜联合”技术切除肿瘤。
01神经内镜:高清探查肿瘤
神经内镜与角度镜结合,可以提供360°无死角的探查范围和比显微镜更加高清的视野。为了准确定位肿瘤,福教授首先采用了神经内镜辅助探查肿瘤,以便精确地分辨肿瘤的边界和浸润情况,以避免对周围正常组织的损伤,提高手术的准确性。

02显微镜:创建通道,完成部分切除
显微镜具备立体视野和较大的手术操作空间等优势,为了最大限度发挥这一优势,福教授选择通过显微外科技术创建手术通道,为后续的切除提供足够的操作空间。同时,利用显微镜还能同步完成切除工作,沿着肿瘤与正常脑组织的边界进行分离,可逐步切除肿瘤的可见部分。
03显微镜+神经内镜:成功全切肿瘤
将神经内镜通过显微镜下创建的通道引入手术区域,利用其广角视野探查显微镜下难以直视的死角和深部结构,从而进一步确认肿瘤边界,精细切除显微镜下难以完全暴露的肿瘤对侧部分,最终实现巨大肿瘤的完全切除。

术后,杰森的吞咽功能得到了显著改善,颈部的疼痛也有所减轻。但是——“医生,为什么我的颈椎里多了几枚螺钉?”
术后的杰森在听闻肿瘤全切的好消息后再一次迷茫了。没想到,福教授笑着说:“由于肿瘤位于颅颈交界处,术前评估时我们认为手术后可能会出现颅颈不稳定,所以才在你的颈椎处打了螺钉,这是为你好呀!”
螺钉的“妙用”
事实上,福教授在切除肿瘤后,还为杰森进行了枕颈固定融合术(occipitocervical fusion,OCF)。他在颈椎的C0、C3、C4和C5椎体上分别开孔,以便植入螺钉。
这些螺钉在设计上就十分巧妙,采用了曲线方式横向弯折,使其能够更好地适应颈椎的生理曲度。这种固定方式不仅能提高固定效果,还能减少对周围软组织的损伤。

在植入螺钉后,福教授还使用Roy-Camille技术将颈椎的C0-C5椎体进行融合,使用聚甲基丙烯酸甲酯(Polymethyl Methacrylate)材料填充椎体之间的空隙,以促进骨组织的生长和愈合,从而提升颈椎的稳定性。

术后的效果也如福教授所料,经过PMMA材料枕髁重建的部位稳定牢固,形态恢复良好。三维CT也显示杰森C0-C3-C4-C5枕颈融合稳定,螺钉的弯曲设计也有助于后续质子治疗的开展。

千万别小看这小小的螺钉,在神经外科中,它可以发挥出很多“妙用”!
减少手术并发症:在颈椎融合术中,弯曲的螺钉可以通过降低对周围软组织和神经和血管的损伤,从而减少术后并发症。
避免放射线遮挡:在某些情况下,螺钉可能位于放射线的路径上,从而遮挡了放射线对目标区域的照射。通过改变螺钉的形状和位置,可以有效避免遮挡放射线,从而让放射线更有效地照射到目标区域,提高治疗的精度。
参考资料:Delayed Instrumentation Following Removal of Cranio-Vertebral Junction Chordomas:A Technical Note


