inc国际神经外科医生集团
导航
(爱恩希)INC国际咨询电话

神外科普

[field:typename/]
当前位置:INC > 神外科普 >
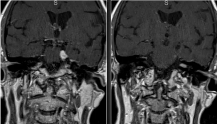
当传统开颅已不适用:脑瘤5年后复发,神经外科大咖如何用改良手术“出奇制

当传统开颅已不适用:脑瘤5年后复发,神经外科大咖如何用改良手术“出奇制胜”?

多年来,为探寻安全、可靠、有效且外观满意度高的手术通路,针对颅内、眶内及颞下窝病变的经眶入路术式不断演进。此类手术方案的设计需综合权衡多重关键因素,包括病灶与视神经的解剖...

2026-01-05 11:52:14
【INC国际大咖研究成果】儿童期发育不良性神经上皮肿瘤

【INC国际大咖研究成果】儿童期发育不良性神经上皮肿瘤

James T.Rutka(鲁特卡)教授曾任世界神经外科学院院长,目前是世界神外专业杂志《Journal of Neurosurgery》主编,30多年来深耕儿童神外研究,带领团队不断突破,从脑瘤分子分型、精准治疗、新药...

2026-01-02 12:35:17
颅内两处肿瘤,为何只需一次手术?术后5天顺利出院又是如何实现的?

颅内两处肿瘤,为何只需一次手术?术后5天顺利出院又是如何实现的?

69岁女性,因顽固性左侧面部疼痛伴轻微左耳听力下降就诊。影像学检查提示左侧岩尖/梅克尔腔脑膜瘤(13.08.1毫米)及左侧内听道听神经瘤(8.85.6毫米)。两种肿瘤,一处是疼痛的元凶,一处...

2025-12-19 11:22:43
【INC国际大咖研究成果】NF1患儿颅内恶性周围神经鞘瘤合并大脑中动脉动脉瘤破

【INC国际大咖研究成果】NF1患儿颅内恶性周围神经鞘瘤合并大脑中动脉动脉瘤破裂,行血管内弹簧圈栓塞治疗

James T.Rutka(鲁特卡)教授曾任世界神经外科学院院长,目前是世界神外专业杂志《Journal of Neurosurgery》主编,30多年来深耕儿童神外研究,带领团队不断突破,从脑瘤分子分型、精准治疗、新药...

2025-12-11 10:32:54
被耳朵里的 “打字机”吵到崩溃?微血管减压术一解,让他4年没复发!

被耳朵里的 “打字机”吵到崩溃?微血管减压术一解,让他4年没复发!

耳鸣是很多人都有过的困扰,但有一种特殊的打字机样耳鸣,不仅声音怪异(像打字机、硬币撞罐),还会反复突发,让患者苦不堪言。 INC国际神经外科医生集团旗下组织世界神经外科顾问团...

2025-11-29 10:36:30
【INC国际大咖研究成果】前斜头畸形:流行病学、临床表现、诊断与分型综述

【INC国际大咖研究成果】前斜头畸形:流行病学、临床表现、诊断与分型综述

INC国际儿童脑瘤大咖、世界小儿神经系统专业杂志《Childs Nervous System》现任主编Concezio Di Rocco教授发表研究《Anterior plagiocephaly:epidemiology,clinical findings,diagnosis,and classification.A review》(前斜头畸形...

2025-11-28 14:45:24
头痛似乎没必要去医院,可是我还出现了其他症状啊!!!

头痛似乎没必要去医院,可是我还出现了其他症状啊!!!

32岁的我,突然的头痛让我深感不适、本以为只是暂时的,所以并没有因为这个去医院,可是没想到头痛越来越严重。 不仅如此,我还出现了其他症状,左眼视野缺损以及闭经。我才32岁,例假...

2025-11-28 14:31:07
【INC国际大咖研究成果】关于儿童脑积水流行病学变化的研究

【INC国际大咖研究成果】关于儿童脑积水流行病学变化的研究

INC国际儿童脑瘤大咖、世界小儿神经系统专业杂志《Childs Nervous System》现任主编Concezio Di Rocco教授发表研究《On the changing epidemiology of hydrocephalus》(关于儿童脑积水流行病学变化的研究),以下...

2025-11-26 14:39:29
【INC国际大咖研究成果】儿童脊索瘤的管理与预后:SickKids 儿童医院经验及文献

【INC国际大咖研究成果】儿童脊索瘤的管理与预后:SickKids 儿童医院经验及文献综述

James T.Rutka(鲁特卡)教授曾任世界神经外科学院院长,目前是世界神外专业杂志《Journal of Neurosurgery》主编,30多年来深耕儿童神外研究,带领团队不断突破,从脑瘤分子分型、精准治疗、新药...

2025-11-25 13:42:43
耳鸣像台永不停歇的打字机?微血管减压术后,世界终于安静了

耳鸣像台永不停歇的打字机?微血管减压术后,世界终于安静了

INC国际神经外科医生集团旗下组织世界神经外科顾问团(WANG)成员Tiit Mathiesen教授发表研究《Microvascular decompression for typewriter tinnitus-case report》,以下是研究简述。 案例分享 一名54岁男性患者...

2025-11-20 17:26:54