“我是小雨的妈妈,女儿术后一个多月了,的确如巴教授术前评估的,恢复得很好,感恩INC!感恩巴教授!感恩苏州独墅湖医院(苏州大学附属第四医院)的医护们!感恩病友们!”
——丘脑海绵状血管瘤患者母亲
“循此苦旅,以抵繁星!我们的重启之旅。”
“真好!她还是原来的那个她,用她的原话——我没有变笨,没有偏瘫,没有面瘫……”这是一位丘脑海绵状血管瘤女孩母亲在社交账号中分享的一句话。女儿小雨成功手术的经历,激励了不少病友。大家也发起鼓励:“妈妈也很明智勇敢,万幸的选择,加油!”
2024年5月,20岁的小雨被确诊为右侧丘脑海绵状血管瘤少量出血。2024年6月7日,巴教授为小雨成功进行示范手术,手术非常顺利、完全切除病灶。从5月16日出现症状到成功手术,不到一个月时间,小雨脑袋里的“不定时炸弹”得到成功拆除,早已恢复正常的学习生活!

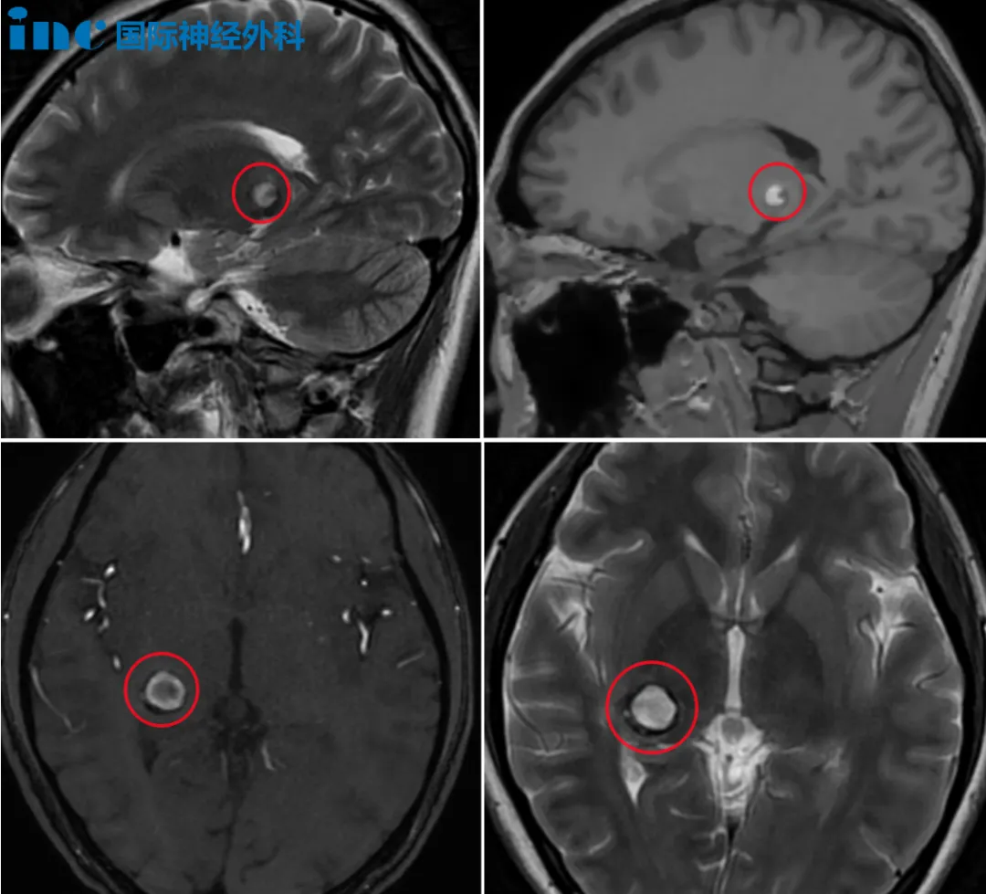
INC巴教授术后3个月随访
巴教授评估了小雨2024年6月6日手术前、6月8日手术后,以及10月份最新的核磁。最新的复查MRI上显示病灶被完全切除,结果很好。教授认为目前的学业对她不会有影响,生活中没有需要特别注意的。
面对脑血管畸形这一随时可能威胁生命的隐患,我们该如何行动,以拯救那些可能因此而命悬一线的生命?这位20岁的年轻女孩是如何在早期阶段就成功地将这一潜在“危机”扼杀于萌芽之中的?
坚定选择的背后,是小雨妈妈决不放弃的决心、查阅资料的耐心和为母则刚的勇气。这位母亲坚韧、理智,她翻阅了大量资料,她知道很多人可能终身都不会出血,可只要出了一次血,再次出血的机率就会大很多。第一次出血,小雨很幸运,没有明显的神经损伤症状。但她才20岁,谁能保证后面出血与否。谁也无法想象2次出血的发生可能会给这个女孩带来什么——偏瘫?偏盲?偏身感觉障碍?因为她的海绵状血管瘤长在了丘脑,功能区!!
什么是丘脑?丘脑又称背侧丘脑,是间脑中最大的卵圆形灰质核团,位于第三脑室两旁、由众多不同功能的神经核团组成。丘脑作为人体最重要的感觉传导接替站,除嗅觉外的全身各种感觉传导通路均在丘脑内更换神经元,然后投射到大脑皮质。
丘脑位置深在、靠近功能区,有许多重要的神经核团,加上其本身及周围结构重要、复杂,丘脑位置的手术有肢体瘫痪、感觉障碍等风险。
“谈之色变”的脑出血有多可怕?
大脑是人体的“司令部”,一旦出现颅内出血,轻则引起头痛、呕吐等颅高压症状,重则导致肢体瘫痪,甚至昏迷、死亡。
近日,一名网红在直播后突发脑溢血被送进ICU。紧急送往医院,被诊断为脑干出血,因病情严重,进行了开颅手术。虽经积极救治仍遗憾离世,让人唏嘘不已。脑出血又称为“脑溢血”。提到脑内的血管破裂通常让人联想到老年人,然而,近年来越来越多的年轻人也成了脑出血的受害者。
其中,脑海绵状血管瘤的破裂,便是诱发脑出血的一个不容忽视的诱因。这是一枚潜藏于脑内的“隐形炸弹”。无论是血压升高、外力撞击、情绪波动,还是剧烈运动,乃至是在平静的休息状态,甚至是睡眠之中,这颗“炸弹”都有可能随时引爆,导致致命的脑干出血。更令人担忧的是,这种出血事件可能会重复发生,且每次发作都可能比前一次更为凶险。
“她才20岁,谁能保证以后不再出血?”
2024年5月,20岁女孩的世界正在悄然改变……
视野被限制,焦点之外的一切也都变得朦胧不清。紧接着,头痛如影随形。小雨和家人到当地医院进行CT检查发现脑出血,立即入院,头颅核磁报告右侧丘脑见异常信号灶,考虑海绵状血管瘤少量出血。

丘脑海绵状血管瘤极其罕见,出血后往往引起偏瘫等神经功能障碍,首次出血后再次出血的风险增加,临床上治疗非常棘手。由于病变部位复杂,当地医院面对这一挑战选择了谨慎的观察。然而,小雨的症状毫无改善,手术也只能一拖再拖。

丘脑受损会导致:
·意识不清甚至昏迷。
·睡眠障碍,如失眠和致命性家族性失眠症(无法入睡,导致死亡)。
·丘脑性失语(发音困难、词汇贫乏和听理解障碍)。
·运动障碍,包括震颤。
·疼痛综合症。
·视力问题,包括视力下降或光敏感。
·丘脑疼痛综合征(刺痛或灼痛)。
形象地比喻一下,丘脑就像插头转换器,再多的数据线,如果没有这个转换器,也不能把信息输送到大脑。所以一旦丘脑损伤,患者可能变成“木头人”,即对外界的刺激没有反应。
“难道什么也做不了?”
看着年轻的孩子受到疾病的折磨,小雨的母亲,一位坚定而勇敢的女性,不愿意接受仅仅是等待的命运。她深信,会有一位医生,能给予她们希望,为小雨实施手术,解除这个生命的隐患。
他们积极地搜寻着相关的资讯,了解丘脑海绵状血管瘤疾病的相关信息,在病友群中询问着相同情况的病友,希望能找到一线希望。
在一位同样是丘脑海绵状血管瘤病友的推荐下,小雨一家找到INC国际神经外科医生集团旗下世界神经外科顾问团成员巴特朗菲教授,他对于疑难位置的脑海绵状血管瘤有着丰富的手术经验。


德国Helmut Bertalanffy(巴特朗菲)教授
世界神经外科联合会(WFNS)教育与技术委员会前主席
世界神经外科联合会(WFNS)提名委员会前主席
欧洲神经外科杂志《Neurosurgical Review》主编(2004-2016)
世界神经外科学院创始会员
美国神经外科学院通讯会员
美国神经外科医师协会(AANS)国际咨询委员会成员
德国汉诺威国际神经外科研究所血管神经外科主任
INC国际神经外科医生集团旗下世界神经外科顾问团(WANG)成员

在1991年,巴教授就已发布过相关研究,《Microsurgery of Deep-Seated Cavernous Angiomas:Report of 26 Cases》,巴教授回顾了26例经显微手术切除的深部海绵状血管瘤。10个海绵状血管瘤位于岛叶和基底节,2个位于丘脑,5个位于中脑,8个位于桥脑,1个位于桥臂。这些患者是1983年8月至1989年12月间手术的患者。11例完全切除,没有产生额外的神经功能缺损。巴教授表示:为了获得满意的手术结果,必须特别注意手术入路、解剖仔细和完全切除血管畸形、穿支动脉和异常静脉引流。
巴教授了解到小雨的情况后给了她相关评估:
目前小雨需要进行手术,而且现在是手术的好时机,因为刚出血,这是新鲜的血肿,所以它体积会稍微大一点,这个反而是有利于手术的操作,操作空间会大一点,对周围的保护的概率会更好,可以很好地切除病灶。
终于,经过巴教授的亲自评估,这位母亲找到了她一直寻找的答案,小雨母亲直言:“教授有信心,我们肯定更有信心,我们肯定愿意做手术!”
顺利全切,术后第1天转出ICU
2024年6月7日,手术日到来,一切如同预期的那样顺利。小雨的病灶在巴教授的艺术般操作下得到全切。术后第一天巴教授查房,小雨恢复很好,在病床上伸展着自己的手和脚。小雨的妈妈也止不住地表达着感谢“她真的很好,非常感谢您”。这让巴教授、家属及全体医护人员都感到由衷的高兴。
“凡心所向,素履所往;生如逆旅,一苇以航。”年轻的小雨青春的脸庞上再次浮现出笑容和生机,她的家人一改往日的愁容,孩子顺利得到救治,这个家庭的希望被重燃了,而在一次次巴教授示范教学手术中,这样的家庭还有很多。我们祝愿他们都能够步履不停向前,朝着光的方向……
陪女儿打完胜仗,我仍留下在这战场上
“感恩这些天以来遇到的每一位病友,热心回复我,把他们的经历告诉我,让我短时间内明确治疗的方向……”
心怀感激地回望这段旅程中的每一步,小雨妈妈深切地体会到,是那些素昧平生却慷慨相助的病友们,用他们宝贵的经历与温暖的回复,为她点亮了治疗之路的明灯,让她在短促的时间里便清晰了前行的方向。病友的故事,深深触动了小雨妈妈的心弦,坚定了她胜利的信心。
这个群体,真的太难了,因为疾病的罕见,因为治疗的高难,也太需要这种光了。自女儿成功跨越手术这一难关后,她未曾忘却海绵状血管瘤病友群体的困境,而是毅然决然地在社交平台上敞开心扉,分享自己的康复历程与治疗心得,期盼着能成为一束穿透迷雾的光,照亮更多在疑难脑肿瘤治疗道路上徘徊迷茫的病友。“愿我们能够摆脱冷气,向上走,令自己如萤火一般,照亮黑暗,温暖他人。”


