北京时间2023年10月30日
国际神经外科颅底脑干手术教授
INC德国巴特朗菲教授
已抵达中国!

此行首站将前往首都医科大学附属北京天坛医院开展手术交流。中外面对面学术及手术交流将再次拉开序幕。后续将于苏州大学附属儿童医院、苏州大学附属独墅湖医院进一步开展面对面咨询及手术交流。
巴教授此次中国行行程预览
INC作为联接中外神经外科领域专家的纽带,近年来组织国际教授专家来我国开展学术交流,推进中外神经外科领域专家学者良性互动。此次巴教授中国行,也将继续多方位展开多样化交流与合作。
01.Number 疑难神外手术交流
首都医科大学附属北京天坛医院

北京天坛医院与巴特朗菲教授的合作由来已久、且不断拓展提升。2023年6月,首都医科大学附属北京天坛医院正式引进INC德国巴特朗菲教授作为其神经外科外籍专家,一次和天坛医院国际部专家的合作也无比顺利。在天坛医院手术团队的配合下,巴教授成功主刀完成一台疑难脑肿瘤交流手术,手术顺利全切肿瘤,患者术后即清醒,无新发神经损伤。



苏州大学附属儿童医院

2023年至今,在苏州大学附属儿童医院,除了正常的教学、病例讨论和查房外,巴教授还指导了8例疑难脑瘤患儿的手术。其中脑干部位手术5例,还有小脑、脑室等位置疑难手术,均取得了较为理想的手术效果。


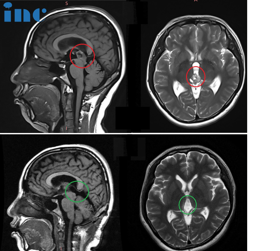
今年,截至目前巴教授指导手术的8个病例的术前磁共振资料,肿瘤位于脑干、脑室、桥臂、颞叶、小脑等疑难位置。

苏州大学附属独墅湖医院

苏州大学附属独墅湖医院作为巴教授中国之行的重要一站,巴教授将在这里进行疑难脑瘤患者面对面咨询,研讨较佳手术入路、手术体位,与病人家属术前谈话、主刀手术交流、术后查房察看病人恢复情况等。



巴教授与9月中国行部分疑难脑瘤患者及其家属温馨合影

一位桥臂胶质瘤患者成功手术后恢复良好的他弹起了心爱的吉他,并且请巴教授在吉他上签名留念
2023年至今,巴教授在苏州大学附属独墅湖医院完成了近30台高难度脑瘤手术交流。每一台手术对医者来说,都是较大的挑战,对每个家庭来说,也意味着深切的希望和期盼。在团队的配合下,巴教授进行较大水平的肿瘤切除,且完好地保留了患者的正常神经功能,手术均顺利完成。目前,这些患者术后恢复良好,全部患者均已顺利出院。
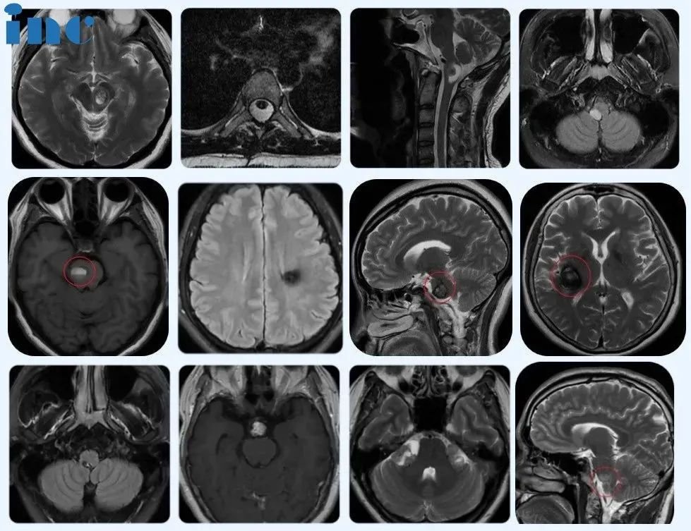
▼部分苏州独墅湖医院巴教授成人手术患者术前影像,接受手术的多名患者肿瘤分别位于脑干、脊髓及丘脑、基底节、桥臂、松果体、鞍区、功能区、CPA桥小脑脚区等疑难位置。

02.Number与国际神外教授面对面
脑干、脊髓、丘脑、基底节、脊髓、功能区等复杂位置,如何顺利全切肿瘤获得良好预后,一直是治疗成功的关键所在,也是神经外科领域正在攻克和亟待解决的“难题”。2023年至今中国行期间,巴教授与来自于全国各地远道而来的疑难脑瘤患者们进行了专场面对面咨询。这位严谨中不失和蔼的国际教授以自己丰富的咨询经验和耐心细致的评估令患者连连感谢。

巴特朗菲教授现场咨询精彩瞬间





得了脑干海绵状血管瘤还能怀孕当妈妈吗?脑干海绵状血管瘤患者怀孕后为什么出血风险高?要手术吗?这是很多海绵状血管瘤女性患者会遇到的问题,在巴教授2023年9月中国行中,30岁的萱萱就是其中一个亲身经历的人。“如果手术,大概率要偏瘫,不偏瘫才是奇迹。”这是他们在遇到巴教授之前,四处求医得到的回复。为了早日实现当妈妈的梦想,萱萱及家人果断选择来到苏州和巴教授面对面咨询,想要听听这位国际颅底脑干手术教授的意见。巴教授自信坚定的回复让这对夫妻下决心选择9月手术。幸运的是,手术很成功,顺利全切近20mm的脑干深处病变。点击阅读:脑干海绵状血管瘤孕期出血危及母子生命?巴教授为30岁备孕女性完全根除顺利隐患
这样的患者还有很多,与国际神外教授面对面交流,巴教授就他们的病情做出详细的分析,指明了后续的治疗之路。
今年已经是INC巴特朗菲教授正式受聘在华进行教学和学术交流活动的5个年头了。讲课带教、参观交流、与国内专家合作手术交流、公益互助……每次教授来到国内医院都会与中国神经外科医生团队更进一步地深入交流。多次国内手术交流的合作及交流,也让巴教授与国内手术团队有了格外的默契。
对于神经外科手术,他们有着共同的目标,“在我们站上手术台的那一刻起,我觉得我们今天这个手术只能成功,我们没有任何退路、不能退缩。”由于巴教授国内交流手术多数都是高难度的,也让国内越来越多的青年医师能够获得更多的知识,解决了很多临床上以前解决不了的问题,这就是中外交流的意义所在,也是巴教授一次次中国行的意义所在。


