
大咖来了
INC 2026年学术交流开启
2026年1月21日,世界神经外科联合会(WFNS)教育与技术委员会前主席、INC国际神经外科医生集团旗下世界神经外科顾问团(WANG)成员——Helmut Bertalanffy(巴特朗菲)教授抵达中国。他的到来,标志着INC 2026年度学术交流活动正式拉开序幕。

随后,数十位来自欧美、享誉全球的神经外科各细分领域专家,也将陆续抵达。中外优秀专家再次相聚于“第五届世界神经外科顾问团云端峰会”,共话神经外科前沿进展与手术艺术之美。本次峰会特邀首都医科大学附属北京天坛医院党委副书记贾旺教授出席,并邀请首都医科大学附属北京天坛医院原副院长张力伟教授等发表主题演讲。
这不仅是一场学术的交流盛宴,也为众多患者带来了切实的希望——他们不必远行,便能与国际大咖面对面沟通,部分患者更将获得由他们亲自主刀的示范手术机会,从而迎来生命的崭新转机。
巴教授中国行-穿越寒冬的生命之约
从苏州大学附属儿童医院,到苏州大学附属第四医院,巴特朗菲教授一抵达苏州,便开启了紧密的行程。在紧凑的安排中,他先后为7位疑难脑肿瘤患者完成了深入的面对面或远程视频咨询,并为次日即将接受示范手术的患者进行了术前谈话。脑干、小脑、桥前池、脑室内、桥小脑角区……多名疑难神经外科疾病患者等待着他的到来。

巴教授仔细研究每一份影像资料,结合患者的具体病情与功能状态,以数据化、个体化的方式,解析每例手术的可行性、风险与预期效果,为他们指明方向。以下为部分患者分享。
CASE 01
2次室管膜瘤切除术后复发
还有手术机会吗?
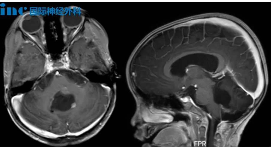
5岁男孩布布,2023年因走路不稳发现颅内占位,于同年9月接受第一次四脑室肿瘤切除手术,术后病理为后颅窝室管膜瘤。2024年5月因肿瘤复发再次接受手术,病理升级为间变性室管膜瘤,WHO 3级。术后布布出现了斜视、眼炎、四肢无力、共济失调、吞咽障碍及言语迟缓等一系列症状。2024年9月完成质子放疗后,近期复查又提示术区边缘出现可疑结节,黏连延髓,疑似再次复发。尽管在治疗过程中,孩子的病情经历了多次挑战,但布布的家人始终没有放弃希望。在得知巴教授来华的消息后,他们希望能为布布争取新的机会。

“幸运的是,肿瘤没有深度侵入脑干内部,而是位于脑干的背侧表面,这意味着这三处病灶在手术上都具有很好的可达性。”当得到巴教授可以手术的评估时,这彷佛绝望中开出的一朵花,让一直揪着心的父母重新看到了希望!
CASE 02
头晕呕吐发现脑瘤
第三脑室底造瘘术+病损切除术后
5岁女孩园园,于2025年4月因突发头晕、呕吐就诊,检查发现第三脑室和左侧丘脑存在病变。经“第三脑室底造瘘术+病损切除术”,术中切除了第三脑室内病灶,而左侧丘脑病灶因外观未见异常,未作处理。术后病理诊断为混合性胶质神经元肿瘤(WHOⅠ级),建议定期随访。2026年1月复查,第三脑室后部-左侧丘脑仍有异常信号,大小分别约为6×6mm、14×9mm。面对是否需再次手术、何时手术更为合适的问题,巴教授表示可以手术,观察的风险是肿瘤有可能进展。手术的目标当然是尽可能实现肿瘤全切除。但在实际操作中,我们必须根据术中情况审慎判断,在安全的前提下切除病灶——毕竟我们首要确保的是不造成患儿瘫痪或其他神经功能损伤。

CASE 03
右侧桥前池占位少量出血
为何巴教授不建议立即手术?
2024年,44岁的孙女士因反复偏头痛就诊,检查发现右侧脚间池存在占位,提示脂肪瘤可能。2025年12月,她因情绪激动出现头部胀痛加重,伴头皮紧箍感、针刺样不适,复查MRI提示海绵状血管瘤可能,伴少量亚急性出血,经休息后症状缓解。2026年1月上旬复查显示出血较前吸收,但仅十余天后,她再次因情绪激动突发视物模糊、气促、手足麻木等症状,急诊检查仍提示桥前池片状低密度影,约15×11mm。到底是什么病灶?是否需要手术?怀着这些疑问,孙女士也找到了巴教授。巴教授表示目前不需要手术,脑干周围有许多微小血管,可能是血管壁薄弱导致出血。建议1-3个月后复查核磁共振,观察血液吸收情况。此外,还需要做全套的凝血功能检测。

示范手术明日即将开启

分秒必争,只为给疑难神外患者们带来新生的希望。除了为慕名而来的疑难脑瘤患者答疑解惑,巴教授还为两名明日即将接受示范手术的患者进行了术前谈话。

61岁鲁女士左侧桥小脑角区占位,自2003年7月因左侧额部麻木疼痛、额纹消失,发现脑干三叉神经区脑膜瘤,行开颅手术。术后肿瘤残留,相继出现视物颠倒、复视,伽玛刀治疗后发生左侧肢体麻木、乏力。2012年复查提示脑膜瘤复发,行第二次伽玛刀治疗。2018年以来,鲁女士逐渐出现左侧耳鸣、左侧面部持续性麻木疼痛,至2025年症状进一步加剧。巴教授在评估中表示:“在手术中,我们既要争取更大程度切除肿瘤,又要尽力保护神经功能不受进一步损伤。”这番话给予了鲁女士信心,让她最终决定接受这次手术。

22岁小翼神经纤维瘤病Ⅰ型,近年来因脑部肿瘤囊性成分明显增大,症状不断加重:头晕头痛频发,行走不稳,甚至频繁跌倒。面对这样复杂的情况,是否应该立即手术成为了关键问题。在前期远程咨询中,巴教授明确建议进行手术,并表示:“肿瘤囊腔已显著增大,必须尽快切除实体部分并引流囊液,否则脑干压迫将持续加重。”他同时判断,该肿瘤很可能是一种毛细胞星型细胞瘤,若能实现全切除,术后甚至无需进行放化疗。最终,小翼选择手术。

时节更迭,大寒已过。二十四节气至此落笔,我们期盼春暖,亦珍视此刻智慧的相聚。愿此次中外专家携手开展的学术交流,能照亮疑难神经外科疾病患者的前行之路,在专业的守护中迎来生命的暖春。我们将持续为您带来更多INC国际神外大咖在华手术交流的最新动态,敬请期待后续报道!


