
北京天坛医院实时报道
在北京丰台区南四环西路119号坐落着形似超级航母的生态医疗建筑群,这里就是闻名遐迩的首都医科大学附属北京天坛医院。走进天坛医院,一座参照大脑神经元结构设计的大楼格外醒目。作为国际三大神经外科研究中心之一,北京天坛医院先后与国际40多个国家和地区医疗机构进行学术交流和访问。2023年10月30日,北京天坛医院国际部迎来特聘神经外科外籍专家巴特朗菲教授,这已经是巴教授三次到访天坛。


首都医科大学附属北京天坛医院聘任巴教授外籍专家聘书
北京天坛医院国际部神经外科手术团队对于巴教授到访表示欢迎。这是对巴教授近年来一次次来华、为神外国际学术交流做出较大贡献的肯定。巴教授与天坛的合作关系源远流长,他看到了中国神经外科的飞速发展,是北京天坛医院在国际上的地位,更看好这里丰富的临床资源,与日益国际化的医院研究体系、临床研究氛围。作为北京天坛医院神经外科外籍专家,此次来华,强强联合结出丰硕的果实,提升国内外患者福祉。
昨日抵达天坛医院后,在国际部神经外科医生的陪同下,参观了病房、神经外科手术室等,并围绕具体的手术设备、手术手法交流经验心得。还为即将接受手术的疑难脑瘤患者进行了术前谈话,也为部分新患者进行了面对面咨询。

今日,INC巴教授正式在天坛开启疑难脑瘤手术交流。请关注后续详细报道……


术前谈话
关于术前谈话,其实早在患者远程咨询时,INC巴教授就会通过邮件或视频等方式,向患者详细说明手术的获益和风险,及总体治疗策略、要注意的细节。在住院后,术前教授会再详细评估患者状态,进行详细入微的沟通。

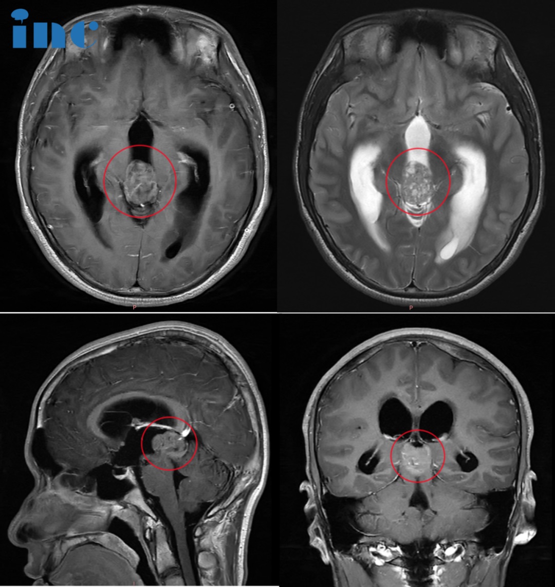
16岁少年——松果体占位性病变
“越早切除肿瘤对患者越有利,因为梗阻性脑积水可能危险。切除率将至少达到99%,甚至全切,他的预后会好。”

16岁少年霖霖6年前就因脖子不舒服查出松果体钙化,当时医生建议随访,无不同处理。2023年8月开始,霖霖又出现各种不适,眼睛胀痛、呕心想吐……10月初,不放心的父母又带着霖霖去医院进行核磁检查,医生只是建议多休息。症状虽然得到轻微缓解,但还是会时常感到不适。16岁的年纪,生龙活虎,有使不完的精力,热爱运动,阳光向上。而且处在人生的关键阶段,父母也不敢掉以轻心,然而就医的结果却还是建议保守治疗,且手术风险大。为了防止肿瘤进一步对孩子造成更大的伤害,少年的父母需做出选择,下一步该怎么办。无论作何抉择都决定着孩子余下人生的走向,他们需谨慎。
父母在网上查询之际得到巴教授10月底到天坛医院进行手术交流的信息,父亲拨通了INC国际神经外科的电话。恰巧他们此时正在北京,都很便利。咨询巴教授手术,一步先请教授评估:“这是一个明确的手术病例,而且手术相当紧迫,越早切除肿瘤对患者越有利,因为梗阻性脑积水可能危险。切除率将至少达到99%,甚至全切,他的预后会好。”在视频连线询问情况、观看影像资料后,巴教授进行了详细的量化评估。这样的回答也让霖霖一家有了新的希望和选择,他们坚定选择巴教授北京天坛医院的手术。

巴教授远程邮件咨询报道
巴特朗菲教授天坛医院术前谈话:
巴教授抵达北京天坛医院后为霖霖一家进行术前谈话。术前谈话谈什么?巴教授给他们详细介绍了手术过程、风险和预后,还特别解释了术中使用的手术入路等等。对于父母关心的手术风险,巴教授解释:“我做过很多同样的手术。他的肿瘤位于大脑枕叶和小脑之间。我们可以这样操作,就能在中间得到一点空间。因而,我们可以进入大脑深部,经过间隙进去,而不是穿过脑组织。这个手术不是较困难的。明天(10月31日)我也要为一个患儿做类似的手术,上次我在天坛也做了同样位置的手术。”
看着围绕在自己身边的父母,在那一刻,霖霖觉得为了爸爸妈妈,更是为了自己,他也要勇敢面对。我们也祝愿霖霖在接下来的手术中顺利。
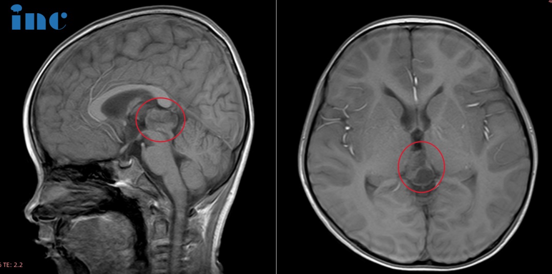
6岁男孩——松果体占位性病变
“尽快手术处理,不要给肿瘤更多时间生长得更大”

6岁的鑫鑫,2021年由于意外摔破头皮就诊,CT检查后居然发现松果体区阴影和部分钙化灶,进一步进行MRI检查后,发现22*14*17mm病灶。鑫鑫父母回想此前孩子确实有身高发育缓慢,偶尔走路不稳易绊倒等情况。2023年7月MRI结果提示病灶大小:25*19*15mm。患儿的状态并不太好,睡眠不稳、逻辑理解能力较差、记忆力也出现问题以及系列心理上的问题……孩子还小,成长的道路还很长,鑫鑫父母希望能给孩子找到更好的治疗,早日解决孩子的这些问题。
在巴教授9月来华时,这位父亲选择见一见巴教授,想要听听他的意见。巴教授在仔细研究了鑫鑫的影像资料后,建议还是尽快手术处理,不要给肿瘤更多时间生长得更大。孩子现在是6岁,如果现在手术,术后的两年孩子可以恢复,他的激素水平也可以恢复,到了8岁以后可能完全恢复好了。他们申请到了巴教授天坛医院交流手术的名额,提前入住天坛医院,等待巴教授的到来。
10月30日,巴教授抵达天坛医院后,来到病房查看鑫鑫的情况。此时的鑫鑫在父母的陪伴下在病房开心玩耍。亲切、和蔼,面对患儿始终怀着一颗童心。查体时,巴教授耐心细致地检查,哄着小患儿,“我可以摸摸你的头吗?”,巴教授检查鑫鑫的头部,并让他抬头看一看……查看好孩子身体详细情况后,面对如此可爱的鑫鑫,巴教授也为他加油打气,"Very good!"
面对面咨询
昨日巴教授在北京天坛医院外籍专家工作室,还有慕名而来的想要咨询手术的新患者进行面对面咨询。和国际神外教授零距离接触,听取巴教授现场答疑解惑,评估手术风险,量化各种手术指标,让原本处于两难抉择的他们有了详细科学的治疗策略。


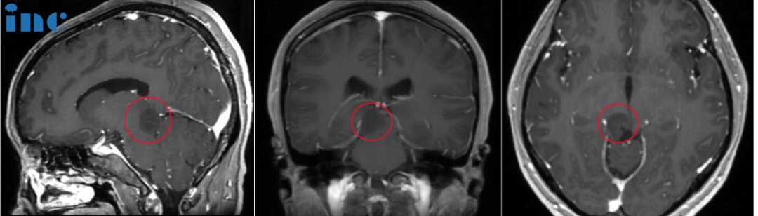
30多岁女性——脑干胶质瘤
“肿瘤还算是早期发现的。如果肿瘤造成了问题,如脑积水或更严重的问题,那很可能已经到了晚期”

30多岁的茵茵2023年10月14日参加单位组织的健康体检时,体检报告出来后发现脑部占位性病变,但患者本身并没有什么明显症状,只不过是之前手偶尔有点麻,很快症状就消失了,因此也没有当回事。后来在当地做了增强核磁后判断有低级别胶质瘤可能,又去做了波普检查,结果是偏恶性肿瘤,医生判断是脑干胶质瘤,级别不算高,医院的建议是做不了手术,只是观察随访。
手术风险大,还担心再次复发,茵茵的爱人为了让妻子得到更好的治疗,四处询问。只要妻子能够成功手术,他愿意拼尽。在妻子较脆弱,较无助,较危难之时,他勇敢成为妻子坚持的依靠。
巴特朗菲教授面对面咨询:
巴教授表示现在至少有三种观点支持做手术:
一是肿瘤的大小。二是中脑导水管闭塞的风险。三是肿瘤恶性转化的风险。仅凭这三个原因就足以进行手术。
我们遇到有些病人来就诊时已是晚期。他们已经有了症状以及各种问题;可能是因为脑积水而有了分流管,可能肿瘤已经变得大等等。他们总是说,你为什么没有早点来?而茵茵现在的情况是,肿瘤还算是早期发现的。如果肿瘤造成了问题,如脑积水或更严重的问题,那很可能已经到了晚期,那么很遗憾,因为她就已经错过了好时机。
另外,对于手术切除率、手术风险、国内和国外手术是否会有差异等等,巴教授也做了详细评估。
远程视频咨询
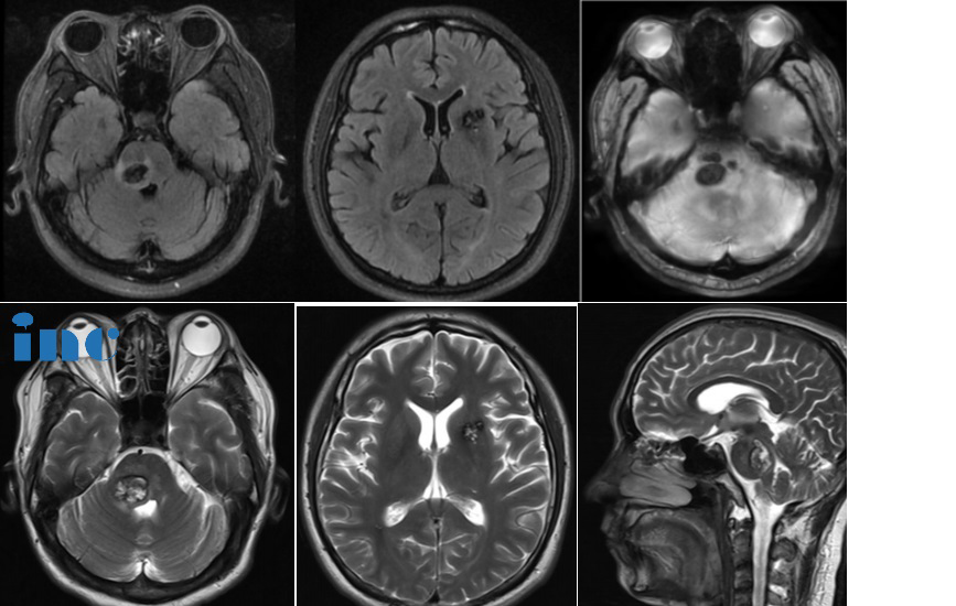
43岁男性——多发海绵状血管瘤合并脑干出血
“对于这种内源性出血的海绵状血管畸形,手术切除率将一如既往地达到全切(或99.9%)”

43岁的潘先生2023年7月中旬因为持续多天的头晕、左侧肢体麻木就医入院检查,简单查体后却未发现异常。在医生的建议下进行进一步的辅助检查,却没想到竟然是脑子里面出了“问题”,头颅CT提示脑干出血,MR显示潘先生颅内有两处脑海绵状血管瘤,一个位于脑干-脑桥位置,一个位于基底节位置,手术风险都很大,考虑到目前症状并不严重,医生建议暂行保守治疗。保守治疗三个月期间,潘先生左侧肢体麻木僵硬依旧存在并且出现了轻微的面瘫。潘先生开始多方查询能够顺利为自己手术的主刀医生。
视频咨询巴特朗菲教授:
在查看了潘先生的MR影像核磁胶片后巴教授回答了关于手术时机的问题,目前潘先生的脑干位置的海绵状血管瘤出血已经吸收,并且形成了局部瘢痕,病灶位于脑干偏中间的位置。此时手术的话,手术对于面神经和外展神经的风险会更大。潘先生可以先观察3个月左右,结合后续的影像核磁和症状情况,后续选择合适的手术时机。如果后续出现手术指征的话,巴教授可以为他成功手术,不用过于担心。
而关于脑海绵状血管瘤保守期间,自己的正常生活是否有需要特别注意的,比如负重能力需要控制在多大的范围内。
巴特朗菲教授——这位国际脑干肿瘤教授,在脑干肿瘤和颅底肿瘤的显微外科治疗研究方面,已经取得了众多提出性的成就。单纯脑干海绵状血管瘤手术病例就近400例,脑干胶质瘤手术病例800多例,这些成功案例是他40多年来、一步一个脚印,不断创造“禁区奇迹”得来的。其多次来到中国讲学和手术交流,对于国内神经外科青年人才的培养作出了重要贡献。


