北京时间2024年3月28日,随着多台疑难神经外科示范手术的顺利展开,INC巴特朗菲教授中国行正紧锣密鼓、有序进行中。
47岁精英,功能区手术后2小时即清醒、英语交流、笑容满面;7岁女孩,国际高难度脑干中脑手术,术后症状即刻得到好转、术后1天转出ICU;7岁男孩颅咽管瘤,术后即刻清醒、肢体活动正常,垂体柄得到完整保留,没有任何神经功能损伤……
一场场高难度手术,不仅是巴教授技术的体现,也是中德团队精诚协作的结果!巴教授在手术中也将自己的“心、技、体”手术哲学再一次贯彻得,力求每一招每一式都尽力做到细致,做到尽力全切肿瘤的同时较力避免任何神经功能损伤!
在功能区进行开颅手术
细致操作、技术
术后2小时英语沟通、笑容满面
“I believe you,it’s a very(我很信任您,这是一个)就是正确的选择。我还是想让巴教授用英语沟通。”术后2小时,麻醉刚清醒,47岁的邓女士激动地用英语说出自己的术后感受,重新露出了大大的笑脸。
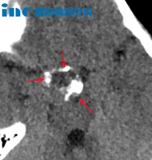
而两小时前,她刚经历一场高疑难开颅手术。右侧半卵圆中心海绵状血管瘤,病灶得到全切。我们的大脑是由脑回和脑沟组成的,脑回像是山峰,而脑沟像是脑回间的山谷。邓女士的海绵状血管瘤位于一个较大脑沟的底部,位于中央后沟。脑功能区的海绵状血管瘤,常引起癫痫、出血和局部神经功能缺失,手术切除病灶是根本的治疗方法。而作为女强人的她,对于手术预后更是有着较高的追求。

"It is a very precise surgery,count for every millimeter and there's very small blood vessels.(这是一个精确的手术,细致到每毫米,而且血管小。)"此例手术是巴教授在术中导航、术中超声、术中神经电生理监测辅助下的高准确颅内手术。

7岁女孩高难度中脑手术后症状即刻好转
术后1天转出ICU
3月27日,巴教授完成的一台“国际难度水平”的示范性手术中,成功切除一颗风险较大的脑干-中脑海绵状血管瘤,患儿果果年仅7岁。这是一台国际范围内都堪称高难度的手术,四处求医被拒绝,“无法手术、风险太大”。
▼手术中巴教授给手术助手王杭州教授击拳打气

肿瘤位于脑干中脑偏右侧、位置深在、难以进入。且累及动眼神经核——动眼神经是支配眼肌运动较主要的神经——管眼皮、睁眼和眼球活动还有瞳孔,有2毫米粗却与肿瘤粘连较紧密。由于肿瘤对动眼神经核的损害,果果已经出现严重的动眼神经麻痹严重,一只眼睛眼皮无法抬起、瞳孔散大。如果手术中动眼神经核被完全损伤,果果的单侧眼睛将不能活动、远远无法睁开。


此外,果果本身年龄小,体重轻,对手术和术中出血控制的要求高。另外,脑干的体积是小的,具体有多大?伸出你的大拇指来看一下,脑干就和自己的大拇指大小相似,而脑干还分为桥脑、中脑、延髓三部分。大家猜想一下,年仅7岁的孩子,她的脑干-中脑能有多大?!在大脑的较深处,在这么小的脑干上做手术,结构又这么复杂,手术难度和风险可想而知。脑干包括中脑、脑干、延髓,INC巴教授对脑干海绵状血管瘤分类及手术入路进行研究,并能根据脑干肿瘤位置和形态不同,熟练而富有经验地使用不同的手术入路以达到顺利合适的手术切除。

巴教授关于中脑海绵状血管瘤入路总结:包括前纵裂入路、眶颧经外侧裂池入路、颞下入路、小脑上入路、枕骨经天幕入路等
巴教授表示果果的动眼神经核还没有完全损伤,这个孩子的未来还很长,他也希望通过这台手术、尽较大努力让孩子得到更好的预后。
术前谈话时,果果坐着轮椅进来,有些虚弱,缺乏生气、走路不稳、手抖以及抓东西不稳。
而在术后1天早上,ICU外,一直守候着孩子的果果家人就等到了巴教授的好消息——“眼睛可以动,没有任何问题。今天就可以出ICU,回到普通病房!”而此时ICU内,年幼的生命正重放光彩。果果术前的一个眼睛是抬不起来的,现在已经可以慢慢抬起来了!两只手都可以动,也能摸到鼻子,腿也可以动。“好!你的爸爸、妈妈在等着你!”巴教授再次用中文为果果加油打气。
7岁男孩颅咽管瘤
术后即刻清醒、垂体柄得到完整保留
“!手术之后即刻状态好,立马清醒,手脚都能动,意识清楚,没有任何神经功能损伤,垂体柄得到完整保留……”同样是一名年仅7岁的患儿小迪也得到成功示范手术。手术后,巴教授儿童示范手术的中国专家团队交流了孩子的情况。“一点没有问题!”巴教授也为一直焦急等在手术室外的家属带来了孩子的好消息。
与果果不一样的是,小迪罹患的是颅咽管瘤,血型是少见“熊猫血”。手术面临多重困难:
1.小迪的肿瘤恰好从垂体柄长出来,且对于有钙化(钙化就是俗话说的“石头”,有钙化就意味着肿瘤质地硬,切除困难,在切除时容易损伤周围血管和神经。)的颅咽管瘤来说,由于垂体柄较大限度地被肿瘤压扁,保留垂体柄更加困难。垂体柄是下丘脑跟垂体的联系通路,垂体柄断了会导致激素水平下降,还出现尿崩症,需要终生服药,巴教授的手术都避免了这些并发症。

2.小迪是Rh阴性“熊猫血”,7岁、体重低,血液含量低。术中避免出血也成为手术关键,尽可能手术中不出血也是巴教授手术较擅长的地方。
3.病灶位于鞍区,鞍区解剖结构相当复杂,是颅内血管和神经较集中的区域之一。视交叉与视神经同鞍区有密切的相邻关系,使肿瘤的处理显得较为棘手。需保留这些结构也是巴教授手术的原则之一。

4.手术目的是尽可能地切除肿瘤,较大限度地保留神经功能,解除肿瘤对周围结构的压迫、避免损伤视力以及引起内分泌紊乱、脑积水和其他神经损害,确定患儿的生存质量和健康成长。
在这样的重重难关下,他们将希望寄托在巴教授的身上。“拜托你们了!”面对父母的殷切期盼,巴教授用这样一台的手术再次为孩子的生命带来了希望,更是挽救了这个家庭。
示范教学手术术前谈话
10岁男孩-DNET伴癫痫
“我们完全相信巴教授”
“在去年我给一个和他年龄相仿的女孩做过类似手术,手术切除了99%的肿瘤,术后状态也好,术前的一些动眼神经导致的问题在术后也得到了恢复。”
——巴教授
“我们看过他们的案例,也给了我们很大的信心。”
——患者妈妈
在苏州大学附属儿童医院里,小欧妈妈带着10岁的孩子来到国际神外教授面前,不幸罹患胚胎发育不良性神经上皮瘤(DNET)的小欧即将接受巴教授示范手术。小欧从2018年起就因这个肿瘤饱受癫痫之痛,腿发软倒地、失去意识、头歪眼斜视……一开始手术只切除了一部分肿瘤,频繁的癫痫发作让他已经没有办法正常上学。为了完全解决孩子的癫痫之痛,他们找到INC巴教授,争取到了宝贵的示范手术机会。

“我们肯定是完全相信巴教授,但是对于孩子术后的癫痫还是很担心,术后他的癫痫能控制住吗?”
“术后癫痫控制的概率能控制在90%以上。”
“那孩子一个月后能去上学吗?”
“只要术后伤口恢复可以的话,通常4-6周孩子就能去上学了。”
术前谈话的然后,一家人的脸上都再次浮现了笑脸,充满了对明天手术的信心,和对摆脱癫痫之痛的期待。

远程视频咨询同期进行中
51岁男性-延髓占位性病变
“咨询巴教授,十万火急”
常说病来如山倒,对于部分脑瘤患者来说,更是如雪崩一般的灾难,短短几天的时间,就能剥夺一个人正常生活的能力。51岁的患者吴先生2024年3月20日由于突发的头痛头晕、左眼视力模糊复视、轻微面瘫、血压增高紧急送医。住院治疗后仅过去两天,吴先生出现吞咽困难症状,怀疑脑干-延髓肿瘤占位性病变。病情进展之快让吴先生一家陷入较大的黑暗之中。23日,距离出现症状仅过去3天,吴先生已经无法吞咽进食,只能鼻饲。十万火急之下,吴先生一家发动了身边的全部朋友为吴先生求医。

2023年3月26日,巴教授抵达中国的消息在病友圈传开。
"咨询巴教授,十万火急!",3月27日在收到吴先生的求救留言后,INC工作人员尽快联系了吴先生,整理好吴先生的病例资料。此时巴教授正在苏州进行疑难脑瘤示范手术,在手术间歇期间还没换下手术服的巴教授,紧急为吴先生进行了远程视频咨询。
此时的吴先生只能鼻饲、状态虚弱、胃管逆流出红色液体。在查看过吴先生的影像资料后,巴教授表示由于弥漫性生长特点、以及恶性的进展速度,这种肿瘤并没有手术意义,目前吴先生需要尽快去所在区域医院医院肿瘤科进行放化疗合并治疗。


