在北京丰台区南四环西路119号坐落着形似超级航母的生态医疗建筑群,这里就是闻名遐迩的首都医科大学附属北京天坛医院。作为国际三大神经外科研究中心之一,北京天坛医院先后与国际40多个国家和地区医疗机构进行学术交流和访问。2024年4月7日晚,北京天坛医院国际部迎来特聘神经外科外籍专家巴特朗菲(Helmut Bertalanffy)教授,这已经是巴教授五次到访天坛。“感谢天坛医院朋友们的支持和合作……”作为享誉神经外科领域的教授,INC德国巴特朗菲教授和北京天坛医院有着不解之缘。

花开又相逢,我们一起种下春天的希望。今日(4月8日),巴教授正式在天坛开启疑难神经外科疾病手术交流,也为部分新患者进行远程咨询和面对面咨询。手术交流也是巴教授到访北京天坛医院开展学术交流活动的一项重要议程,通过病例讨论、手术演示,以交流促进步。中外专家同台手术、强强联合、默契合作之下、切实为海内外患者治疗带来更多选择。请关注后续详细报道。
▼巴教授和天坛医院国际部专家讨论手术入路、体位等问题

昨日,巴教授抵达北京天坛医院后,直奔国际医疗部。中德神经外科专家围绕即将进行手术交流的疑难神经外科疾病患者,进行病例讨论、术前谈话。实时报道一经发布引发热烈反响……
“巴教授什么时候到达天坛,我想要前去观摩学习。”“请问在天坛如何才能请巴教授主刀呢?”“真后悔没有早点打听到巴教授,错过了一次手术的较佳时机。又真幸运二次手术遇到了巴教授,手术,没有任何后遗症。感谢巴教授!(脑四室弥漫性肿瘤)”……INC巴特朗菲多次受邀来华讲学并手术交流,受到青年医师和患者的广泛欢迎与称赞,也被亲切地称为巴教授!期待此次合作造福更多患者,也能够让更多青年医师受益良多!

照亮黑夜的不是黎明时的破晓——黑夜中结束当日天坛行程的巴教授,守护着患者的生命之光,希望接下来的手术实现一场场重获新生的期待。

疑难神外疾病患者
术前谈话
52岁女性-左侧较大听神经瘤

“可以全切吗?”——江女士
"Yes!Yes!"——巴教授
“会出现长期性面瘫吗?”——江女士
"No,I will even do all the best that she should not have after the surgery."(我会竭尽,使病人术后甚至完全不出现面瘫反应)——巴教授
52岁的江女士,较大的听神经瘤已经压迫面听神经及小脑。头晕、步态不稳、左侧耳疼、耳鸣、听力下降等严重症状严重影响到她的生活和工作。手术风险较大,这一次终于等到巴教授。江女士相信强强联合,定会为她解决困境。面对巴教授的鼓励,她举起拳头,铿锵有力地说:“加油!加油!”而丈夫也一直在旁边温柔的抚着她的肩膀,给她力量。对于江女士关心的面瘫问题,术前谈话中,巴教授也为她再次详细解答。

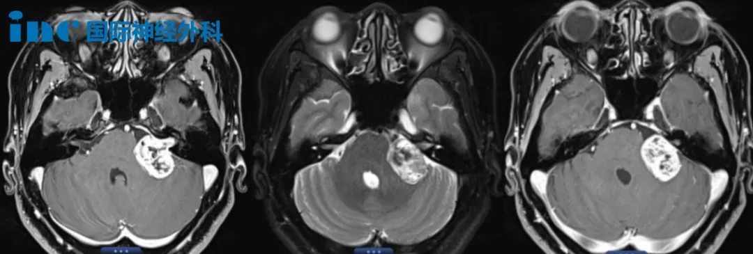
3岁男孩-脑干占位性病变

“他多重?”——巴教授
“16公斤。”——浩浩妈妈
"we have to care for the boy.we would safe everything is possible."(我们会照顾好这个男孩,确保皆有可能)——巴教授
“握拳,用力握”,巴教授握住3岁脑干占位性病变患者浩浩的小手,仔细检查着浩浩的术前状况后,向浩浩妈妈解释相关手术方案。浩浩乖巧的坐在病床上,大大的眼睛充满了好奇,“他是不是明天就要帮我做手术的?”

对于妈妈依赖的浩浩,不停地喊:“妈妈,妈妈!”当妈妈抱起他时,他像一个快乐的小鸟,摆摆小手,晃着腿,和妈妈贴贴。如此可爱的浩浩实在是父母的心头肉,然而多地寻医,医生都表示脑干手术难度很大,术后可能会有偏瘫的风险。得知巴教授来华消息后,尽快联系了INC,咨询当天他们就决定咨询了这次巴教授天坛医院手术交流机会。


