2023巴教授9月成人疑难脑瘤手术实时报道

北京时间9月26日,INC旗下国际神经外科顾问团成员教授、国际颅底脑干肿瘤手术教授Helmut Bertalanffy(巴特朗菲)教授在苏州大学附属独墅湖医院(苏州大学医学中心),正式开启成人疑难脑瘤示范手术。今日示范手术及面对面咨询也顺利完成,我们会持续报道情况
脑干不仅是人体的生命中枢,更是大脑的“重要司令部”,一旦脑干重要核团受损,患者随时可能在手术过程中死亡!普通的开颅手术已经复杂危险,而要在脑干上“动刀”,更是难上加难!因此,脑干长期以来被称为脑部手术的“生命禁区”。当面对脑干胶质瘤、脑干海绵状血管瘤这样的患者,难道就没有其他更好的选择吗?答案是否定的,狭路相逢勇者胜!
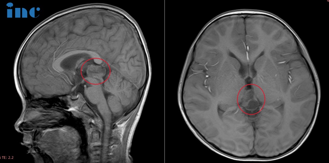
当日,由INC巴教授主刀,中德两国神经外科专家精诚协作完成了一台高难度的示范性手术。20岁,人生刚刚开始,应该努力奔跑、勇敢追梦的年纪,小峰不幸罹患脑干海绵状血管瘤,出血甚至还导致了肥大性下橄榄核变性(HOD),走路不稳、共济失调等。小峰的父亲不忍看到孩子承受着这些,便四处为他搜寻可以治疗的信息,幸运的是他们找到了巴教授。这位爱子心切的父亲在焦急等待着巴教授来华的过程中,也一直担心孩子会不会再次出血导致更严重的症状。

虽然出血已经部分吸收,但血管畸形仍在原地
巴教授40多年神经外科手术经验,30多年脑干手术经验,突破脑干这个“无人区”,将脑干海绵状血管瘤的手术升华到艺术之境。巴教授独特的手术技术,切除它而不引起新的神经功能障碍,不仅仅是医术上的创新,它改变的还包括众多病患一度难以挽回的绝望。本次手术的顺利完成让这位对未来充满美好憧憬的男孩重新获得了希望,这也是他人生中重要的转折点。目前小峰已经转入普通病房,整体状态良好,术前的症状也在逐渐好转。小峰的父亲看到孩子终于走出险境,庆幸之际也格外感恩,我们也祝愿他早日康复!
巴教授手术哲学理念

“心是道,是精神、意志、勇气、共情;技是技术、技巧;体是身体,是体力;的神经外科医生,需要“心、技、体合一”
中外专家携手救治国内疑难神外患者
INC引入国际前沿神经外科手术技术,同时与国内同行共同探讨神经外科领域新技术成果,促进前沿技术的交流,促进医学跨国交流,造福国内更多病家。此次慕名前来接受手术的脑瘤患者来自全国各地,这些脑瘤手术难度较大、风险较高。前期和INC联系后,通过巴特朗菲教授在线对患者影像资料进行详细分析,判断患者满足手术条件后,才安排入院。

苏州大学附属独墅湖医院神经外科带头人、黄煜伦主任在提及巴教授多次来华的意义时,也表示“巴教授的到来使我们国际化合作和进展有了大的进步”,在和巴教授的一次次交流学习中,不仅理念得到了提升,在后期的临床工作中,也学习到了更多的成功经验。而在巴教授多台中国疑难肿瘤手术中担任助手的肖宗宇副主任医师感叹道,“巴教授做手术他有个特点,就是不计时间成本、不计代价的要把手术做到好。作为我们年轻大夫来说,这点是一直值得我们学习的。

德国Helmut Bertalanffy (巴特朗菲) 教授
国际神经外科联合会(WFNS)教育与技术委员会前主席
国际神经外科联合会(WFNS)提名委员会前主席
欧洲神经外科杂志《Neurosurgical Review》主编,2004-2016年
INC旗下国际神经外科顾问团(WANG)成员

苏州大学附属独墅湖医院聘请巴教授为其神经外科顾问聘书
疑难神外患者面对面咨询同期进行中
手术示范期间,INC巴特朗菲教授还为多名慕名前来苏州的其他国内疑脑瘤患者现场咨询,面对面答疑解惑,根据患者的病情和影像资料给出科学而详细的手术方案和治疗建议。
52岁女士-脑桥(右侧)海绵状血管瘤并出血

2021年金女士检查发现脑干海绵状血管瘤,尺寸是0.8cm。当时没有症状,医院建议观察随访。2022年1月,复查尺寸1cm,没有症状,继续随访。2023年3月,出现阵发性眼肌痉挛,耳朵有时感觉不舒服。再次复查SWI,发现有出血灶,医生不认为和海绵状血管瘤有关系。2023年6月,再次复查SWI大小1.2cm,继续随访。2023年8月,金女士出现头晕,急诊完善头颅核磁,提示有新鲜出血灶,尺寸2.0*1.7*1.8cm。脑干海绵状血管瘤出血灶不断变大,症状也在不断加重,保守观察已经无法缓解她的病情,目前解决的办法只有手术。
而在此前,金女士已经通过邮件和远程视频得到过巴教授可以手术的回复,此次再次选择面对面咨询巴教授,金女士想亲自听听巴教授关于手术的评估,从而确定手术。
巴教授咨询评估>>
巴教授为了让金女士更好的理解自己的病情,结合脑部模型,和她解释手术的方案、手术入路。当患者问到巴教授“你有信心做这个手术吗?”教授自信坚定回复:我做过很多类似的手术,这只是一个常规的手术。
而提及为什么建议手术,巴教授说了两个因素
1、目前金女士的病灶的体积并不小了,体大。
2、我以前有过像她这样的病人,观察了7个月到1年,然后突然大出血。在病人身上,这种出血风险总是存在的,这就是为什么我说较好做手术来避免这种情况,否则这将是一个较大的(问题)。
另外关于金女士关心术后风险的问题:巴教授表示可能会出现短期暂时的肢体的感觉减退以及麻木,术后通常几周以内就能恢复。可能会出现脸的麻木和面瘫,但是在巴教授的手术中这种情况基本不会发生。
金女士对于手术的切口也表示很关心,询问巴教授手术是否会剔除全部的头发?
巴教授用脑部模式演示此时手术采用的入路将位于耳后,而考虑到美观原因,手术并不会剔除金女士的全部头发,只会剔除手术入路所在的头发,手术恢复后原有的头发会覆盖手术切口,并不会对日常美观造成影响。
6岁患儿-松果体占位性病变

6岁的鑫鑫,2021年由于意外摔破头皮就诊,CT检查后居然发现松果体区阴影和部分钙化灶,进一步进行MRI见检查后,发现22*14*17mm病灶。鑫鑫父母回想此前孩子确实有身高发育缓慢,腿部量不足以及偶尔走路不稳易绊倒等情况。检查出病灶后鑫鑫进行定期复查,鑫鑫激素检查水平正常,期间病灶有变化。2023年7月MRI结果提示病灶大小:25*19*15mm。国内医生建议尽量手术切除,由于两年期间形态变化不大,也可以继续保守治疗。但是患儿的状态并不太好,睡眠不稳、逻辑理解能力较差、记忆力也出现问题以及系列心理上的问题……孩子还小,成长的道路还很长,鑫鑫父母希望能给孩子找到更好的治疗,早日解决孩子的这些问题。
巴教授咨询评估>>
鑫鑫父母:肿瘤会对孩子产生哪些影响?
巴教授在仔细研究了鑫鑫的影像资料后,首先向孩子父母解释目前他的病情进展。肿瘤下方的部分已经侵犯到下丘脑,下丘脑就是支配垂体功能的区域,而垂体支配我们身体的激素水平的调节。这个肿瘤位于下丘脑,所以会对孩子的生理和心理上产生影响,也会部分影响孩子的记忆力。而且考虑这个肿瘤是来源于松果体的,松果体完全被肿瘤包绕了。孩子存在睡眠障碍的问题,巴教授认为也是跟这个肿瘤有关。
鑫鑫父母:该手术在德国团队和在中国团队的差异性
如果父母决定做手术,我可以在这里提供很好的手术,术后的结果也会很好。我们在这个医院有必要的手术设备和器械,团队配合也会很好,所以在苏州做手术和在天坛做手术没什么区别。我在苏州做了大量的手术,所以我熟悉苏州儿童医院。
鑫鑫父母:可以进行保守治疗吗?
保守观察不是治疗,只是观察肿瘤的变化,只会让的治疗推后而已,对孩子没有任何好处。孩子现在是6岁,如果现在手术,术后的两年孩子可以恢复,他的激素水平也可以恢复,到了8岁以后可能完全恢复好了。
52岁男性-鞍区占位性病变

52岁的俞先生,于2021年体检时被查出在当地医院内分泌科住院复查醛固酮增多症,进行头颅CT扫描发现鞍区占位,进一步做增强核磁后当地医院考虑脑膜瘤可能性大,建议手术治疗,随后俞先生走访于全国各大医院神经外科,部分医生怀疑是颅咽管瘤或垂体瘤,有建议手术的、也有建议保守观察的。然而由于俞先生没有任何症状、检查激素水平也都正常,所以目前保持保守观察中。这次选择咨询巴教授,俞先生想询问这位国际颅底手术教授,继续保守还是手术治疗?
巴教授咨询评估>>

巴教授翻阅俞先生于各地的检查报告
肿瘤性质是什么?
巴教授表示目前从影像上无法明确肿瘤的性质。这个位置有可能是垂体瘤或者颅咽管瘤,开颅是可行的,教授可以为他全切肿瘤。
目前是否需要手术?
巴教授表示俞先生发现肿瘤多年,肿瘤的体积没有变化,且患者的激素水平都正常,没有其他症状,这个情况下手术不是紧急的,可以后期出现症状并且肿瘤增大后,再考虑手术。但是如果患者自己现在就想要手术,巴教授可以为他切除肿瘤并且不损伤垂体柄,能够保持术后激素水平正常,且如果全切不会有复发的情况。
INC旗下国际神经外科顾问团成员、德国巴特朗菲教授9月中国行学术交流活动进行中!线下一对一面对面咨询、示范手术咨询正在进行中。


