
INC大咖来华:巴特朗菲教授8月抵达,示范手术即将开启
这个夏天,INC国际神外大咖密集来华,学术交流热度持续升温。2025年8月中上旬,当多位疑难患者急待手术,在INC的迅速组织下,世界神经外科联合会(WFNS)教育与技术委员会前主席Helmut Bertalanffy(巴特朗菲)教授即将来华。

01. 当可怕脑瘤遇上不屈灵魂:这是一场命运的博弈
32岁的文昊与罕见病魔共舞26年。6岁确诊神经纤维瘤病,多次手术在他身上刻下抗争的印记,但从未折断他的脊梁。2024年,命运再次发难——查出颅内及椎管多发肿瘤,如今脊髓病变加重,承受着剧烈疼痛和行走障碍的折磨,他不向命运低头。在漫长而艰难的治疗路上,家人的不离不弃和永不言弃的信念,始终是他强大的精神支柱。“脊髓肿瘤是可以手术切除的!” 而即将到来的巴教授示范手术,终将为他带来光亮。他的故事,早已超越“治疗”本身。

而另一边,36岁的鸿涛,原本只是去做一次例行体检,却意外揭开了大脑深处的秘密——1个20mm的三叉神经鞘瘤,正悄然挤压着生命的中枢。没有疼痛,没有麻木,夜深人静时似有若无的耳鸣不断敲击着他的内心:我可以一直等待吗?巴教授的话像一记警钟:“现在正是手术时机——神经还没有明显受累,若任其发展,不仅肿瘤可能快速增长,手术风险也会显著增加。” 看似不幸的体检结果,成了命运的警示——在肿瘤尚未肆虐前,他想要抓住最佳的手术时机。他将迎来的不是一场被动的求生,而是一次精准的主动出击。
他们一个在“困境之中”绝不放弃,一个在“无症状期”果断出手。一个拼的是信念,一个抢的是时机。但在这场与命运的博弈中,他们同样选择了战斗,而巴教授的来华示范手术给了他们战胜病魔的”绝佳法宝“,但真正执剑破局的,永远是患者自己那颗永不言弃的心。
02. 一个敢在生命禁区动刀的男人,奇迹就此诞生
INC国际脑干大咖巴特朗菲教授即将来华,多位饱受疑难神经外科疾病困扰的患者,早已翘首以盼。毫厘之间,用一把手术刀,与掌控患者命运的死神无数次交锋,这就是INC巴教授中国行的真实写照。当外科大咖在手术台上精准操作时,患者也在用信念向命运挥出漂亮的一拳。此时,已有数名患者确认在8月接受巴教授的手术,而咨询的热线依然不断响起。

或许,疾病从来不在乎公平。有人尚未察觉危机就被提前拯救,有人穷极一生仍难逃反复折磨……而医学不断进步的意义,或许正在于此:它不仅赋予生命长度,更捍卫着生命的尊严,“不仅要活下去,更要活得好”——这正是无数患者找到INC的原因。
延髓手术后只能靠“管子”生活?“对我而言难度不大”
当陈先生发现小指麻木时,他以为只是颈椎问题。谁曾想,这场“麻木风暴”在两个月内向全身蔓延。进一步检查的结果如同惊雷:延髓背侧占位性病变正在蚕食他的“生命中枢”。病变位于延髓这一关键生命区域,并造成占位效应,脑干内存在弥漫性水肿,因此明确需要进行手术治疗。


然而,在延髓区域,绝大多数患者面临着这样的困境:“没有医生愿意为我手术!延髓肿瘤切除手术是在‘赌命’,就算成功切除大概率要长期卧床靠呼吸机生存,甚至,很可能会在手术台上永远醒不过来……”面对这一度被称为“手术禁区”的区域,巴教授却给出了截然不同的答案:“唯一可取的治疗方案是手术切除,而且这类手术对我而言难度不大。”
30年深耕脑干手术的经验,让这位国际神外大咖能够游刃有余地在“生命禁区”精准操作。在他手中,延髓肿瘤手术不再是“赌命”,而是一场精心策划的“生命保卫战”。从术前手术入路设计,到显微镜下毫厘不差的精细操作;从神经功能的保全,到术后重归正常生活——他不断突破着一个又一个曾被视为禁区的医学极限。

相关阅读:
体检意外揭开的生命警报:脑中双瘤,一次手术能否解除危机?
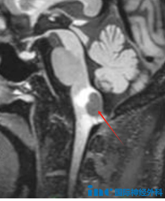
一次例行体检的核磁报告,让正值壮年的郑先生瞬间坠入深渊——在他的小脑和“生命中枢”中脑同时潜伏着两个肿瘤,一个1.2厘米,一个0.6厘米,像两颗“不定时炸弹”般盘踞在大脑的要害位置。这两个看似微小的病灶正在悄然改写他的人生:头昏不适,记忆力下降,自觉反应变迟钝,生活质量严重受影响。

面对这个棘手的“双瘤困局”,巴教授给出了令人振奋的解决方案:“可以一次性解决!”肿瘤虽小却位置凶险,现在正是手术干预的黄金窗口期——病灶体积尚可控,神经功能保存完好,手术风险相对较低。若延迟干预可能导致不可逆的神经功能损伤,病灶增大也会导致手术风险显著增加。

一次次争分夺秒,只为不辜负疑难神外患者的一份份期望。无论身在何处,巴教授时刻心系患者,他不仅用医术拯救患者的生命,更传递着医者的温度。8月,让我们共同期待这位国际神外大咖的到来,为更多生命点燃希望之光!


