在已知的宇宙中
人类大脑是较复杂复杂的仪器
神经外科手术
是在人脑、脊髓等
复杂器官和部位之间做手术
是外科领域内难度较高的手术之一
常常需要穿越生命的“禁区”
抽丝剥茧、准确打击
同时又不能伤害到任何神经组织
神经外科医生们则用一把手术刀
游离于毫厘之间。
2024年1月10日,INC巴教授以的技术,联合苏州大学附属独墅湖医院神经外科团队成功实施两例高难度手术,创造了一个又一个奇迹图片

他们都是什么情况?除了这两位手术患者,还有哪些疑难脑瘤患者选择来到苏州面对面咨询巴教授,一起来看2024年1月巴教授中国行实时报道。
巴教授疑难示范手术进行中
家中“顶梁柱”突然脑干出血,10多天病情恶化、无法独自行走
今年31岁的陈先生,因出现身体、脸部麻木,还有听力下降、头晕等症状,就诊后怀疑是脑干海绵状血管瘤引起的出血。
▼术前影像

住院药物治疗后,症状仍在加重,近期更是出现面瘫、无法独自行走……
MRI显示这个血管畸形是新出血。对于手术来说,这实际上是较佳时机,因为出血仍是液态和新鲜的。
如果再等一两个月,血液会被部分吸收,疤痕的形成会增加手术的难度。
据了解,脑干海绵状血管瘤一次出血率仅为0.6%-1.1%,而再次出血率则可高达30%-60%。
一开始出血是为患者敲响警钟,此后出血间隔期会越来越短,往往每一次出血,都伴随着症状的进行性加重,危险性会越来越高,神经系统症状恢复也会更难。
可以保守治疗吗?
可以,但推迟手术只是把问题推向未来,而不是解决问题。一旦二次出血,也会让后期的手术变得更加复杂。
挑战神经外科领域“较难手术”“抽丝剥茧”手术圆满成功
时间就是生命。“症状逐渐加重,我们得争取时间了。”
由于陈先生家在西北,他很担心路途中出现再次出血的情况从而产生危险,对此巴教授在远程咨询中也回答了陈先生。
手术并不容易,陈先生和家人觉得从1000多公里外的西北赶赴苏州、寻求巴教授示范手术。
脑干有多重要?这块区域一度被称为“生命禁区”

脑干区域宽度在2厘米左右,长度在7厘米左右,密布着细如发丝的神经,复杂程度难以想象。能让术者施展技能的空间,只有约14平方厘米。
而且病变大约60%在脑干脑桥右侧,40%在脑桥左侧,超出了中线,也增加了手术难度。
经过术前精心准备和反复讨论,尽管手术难度大,巴教授凭借30多年积累的脑干手术经验,经过几个小时的“抽丝剥茧”,在术中神经电生理监测、麻醉、护理等多方的默契配合下,成功将血管畸形取出。

2024年1月10日,巴教授顺利为陈先生手术
在神经外科
脑干位置的病变手术堪称高难度
如果治疗不及时
常常伴随着偏瘫等残疾
也是考验外科技术水平的一个试金石
巴教授在尽可能在切除肿瘤与保留神经功能之间,努力寻找着平衡。
两个手术入路+手术技术,突破“手术禁区”挽救患者生命
短短一天时间里,巴教授连续为两例高难度患者手术,另外一名脑干肿瘤患者病情也凶险紧急。36岁的贺先生,脑干中脑顶盖肿瘤并发梗阻性脑积水,还压迫到小脑。
▼术前影像

每一次手术前,巴教授都会联合国内神经外科医生团队进行手术预案。提前预估好可能发生的情况及应对方案。
我做过很多这种肿瘤的手术,所以首先我知道如何切除肿瘤,如何保留这个部位的正常血管,如何保护脑干,如何保护小脑……
由于肿瘤基本位于中线,要到达肿瘤,我们只有两种入路,一种是小脑上入路,即小脑和枕叶之间,另一种是小脑幕下入路,甚至从下方穿过四脑室,两种入路都有可能会用到。

巴教授利用大脑模型结合患者影像资料,详细说明手术入路
在巴教授率领国内团队共同的努力下,手术同样取得了成功。
但这台手术并不容易,肿瘤已经和正常组织有交织。
不计代价要让病人达到病变得到更多的切除,并且又保留病人的功能,这是巴教授一贯的手术原则。
为了去争取较大的切除率,巴教授采用术前计划的双入路进入肿瘤,相当于是两台手术。

2024年1月10日,巴教授顺利为贺先生手术
术中导航、术中神经电生理监测下,仔细分离肿瘤与周围组织,一点点的去把肿瘤去清除,也没有新发神经功能缺损。
据统计近年来
巴教授已在中国成功开展多台示范教学手术,且多数都是高难度的。

让国内青年医师能够获得更多的知识,解决了很多临床上以前解决不了的问题。
这就是中外交流的意义所在,也是巴教授一次次中国行的意义所在。

近年巴教授示范手术疑难病种占比
面对面咨询神外教授
从西北赶赴苏州,只为一个成功手术的机会
“我们幸运能咨询巴教授,和巴教授这样级别的大教授面对面咨询,提出我们的问题”
齐女士,左侧鞍旁、左侧CPA、小脑幕下缘占位,怀疑脑膜瘤。医生提示手术风险很大,造成视力、视野缺损等后遗症,如果肿瘤切不干净较有可能复发。此次特意从西北赶来苏州、面对面咨询巴教授。

目前影像上来看的话有明显的手术指征,建议尽快手术。继续等会给肿瘤生长的时间和空间,向上生长肿瘤会长到海绵窦,里面包含着众多神经;向外生长,会对面听神经造成影像。那时候再做手术,风险会更大,并且很难达到全切。这样的手术,自己有着众多的成功案例。虽然并不是个小手术,但是对自己来说难度并不大。
巴教授拿起手边的脑部模型为齐女士耐心讲解。

听完巴教授的回复,齐女士和丈夫一直提着的心也终于落了地,决定请巴教授手术解决这一后顾之忧。
疑难示范教学手术下一站,苏州大学附属儿童医院
一名亟待手术的小患者正等待着他
苏州大学附属儿童医院(以下简称苏大附儿院)是作为INC合作的国内三甲医院之一,是INC国际教授多次来华进行儿童疑难脑瘤手术的示范基地。
在这里,巴教授与王杭州教授同台进行多台疑难儿童脑瘤手术,携手守护儿童健康。
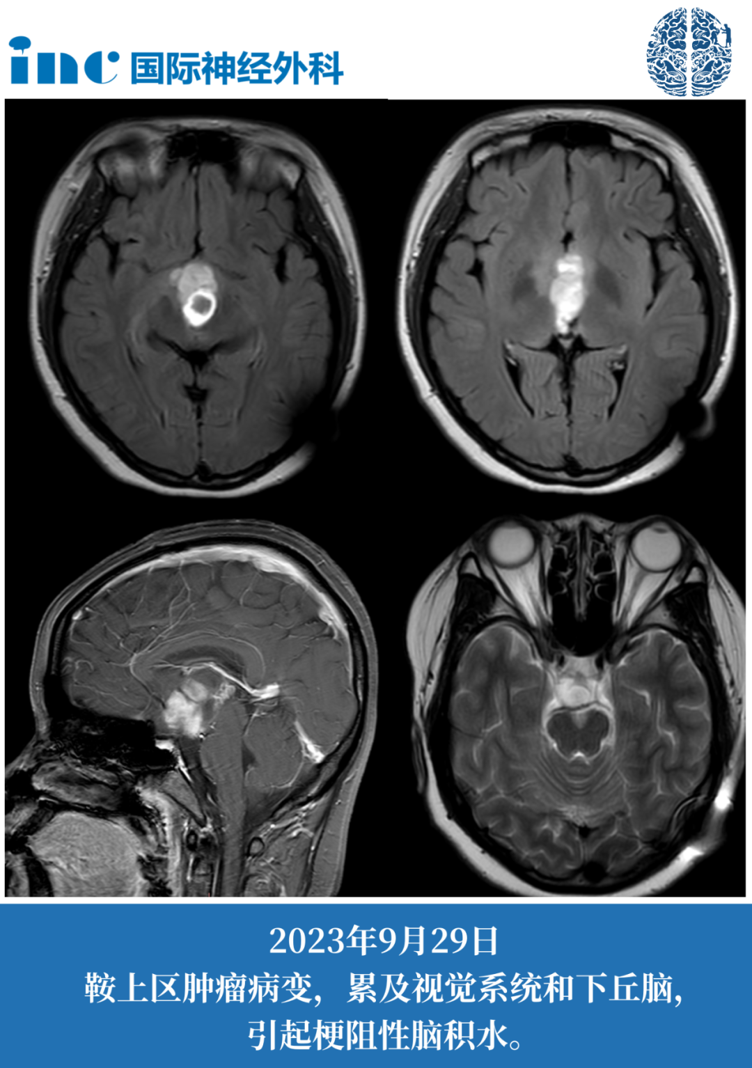
2024年1月10日当晚,巴教授作为苏大附儿院特聘神经外科指导专家再次莅临这里,一名亟待手术的14岁较大鞍区占位性病变小患者正等待着他。抵达后巴教授和中国手术团队讨论手术方案,为二天的手术做充分的准备。

14岁女孩鞍区占位性病变奔赴苏州“我很相信巴教授!”
肿瘤有很明显的占位效应,危及视神经及视交叉(两者已经被肿瘤累及),有明确的手术指征。

手术治疗不能再等,肿瘤一旦进一步增大,小患儿可能面临更严重的问题。
14岁女孩,乐观开朗。对于父母来说,他们的诉求是尽努力陪伴孩子治疗,认真努力地做好这过程中的每一步。
而当下,他们较迫切想要解决的就是手术切除这个伴随孩子长达7年的肿瘤噩梦。
2023年12月妙妙一家远程咨询巴教授,询问目前是否能手术治疗?手术较佳时机?
“现在手术主要目的一个就是要减瘤,减容,取得病理,同时我们要保护她的视力。”
幸运的是,妙妙现在的视力、视野没有受到影响。
巴教授说这是一个好现象——视力越差术中越容易损伤,因为粘越紧。视力越好就越容易把视力保留下来。

1月10日晚,巴教授和王杭州教授讨论手术方案
“我很相信巴教授!”
这一条治疗之路,很多勇敢的孩子们给我们留下了特别深刻的印象。
尽管不幸的人生千差万别,但妙妙和他们一样,从未放弃,勇敢迈向人生下一阶段。


