
INC 巴教授今日抵达中国
INC致力于搭建全球神经外科交流与合作平台,推动神经外科学科领域的发展。随着INC巴特朗菲教授、福洛里希教授于首都医科大学附属北京天坛医院,学术交流的成功开展。今日,巴教授作为北京天坛医院外籍专家,将再次携手天坛医院国际部的神经外科团队救治患者。

随着巴教授来华日程在即,众多疑难脑瘤患儿家长也在殷切期盼着这位巴爷爷的“神奇之手”,为孩子打开重生之门。特别令人动容的是,年幼的他们虽然身患脑干病变,但在家人的全力呵护下依然坚强地与病魔抗争。
对于家长而言,孩子确诊脑瘤犹如晴天霹雳,恨不能立刻手术“一刀了断”。然而,若肿瘤位于“手术禁区”脑干,又该如何抉择?神经外科本就是外科领域的“皇冠”,而小儿神经外科,尤其是低龄患儿的手术,则堪称皇冠上的钻石——不仅因儿童血量少、脑组织脆弱,更因手术对精准度的极致要求。
6岁患儿,与脑瘤抗争5年,为何迟迟没有了断?
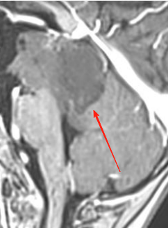
就在刚刚过去的周末,当多数人享受闲暇时光时,巴教授仍在为紧急病例进行线上咨询。你能想象一名6岁半的孩子,已与脑瘤抗争5年。早在1岁多时,钊钊就被查出脑干占位,但因位置高危、年龄太小,仅进行了分流手术和肿瘤活检,病理显示为中分化松果体实质肿瘤。
2025年复查发现,肿瘤已增长至4.0×2.8×3.1cm,占据中脑背侧及脑桥上段,覆盖整个松果体区、压迫小脑、侵袭双侧丘脑。面对如此危急的情况,巴教授明确指出:“继续观察只会放任肿瘤继续进展——若体积超出临界值将不再具备手术条件!因此延长观察期属重大决策失误。”

小小的他们是父母精心浇灌的花朵,然而在这稚嫩的头颅内,生命中枢脑干上,竟潜藏着骇人的怪兽,而“巴爷爷”为他们带来希望!
脑干?不能碰?他,打破“手术禁区”魔咒
在神经外科的历史上,这曾是铁律。脑干——生命的核心枢纽,呼吸、心跳的掌控者。鲜有医生敢于在其内部及周围实施手术。他们认为,脑干复杂的解剖结构和重要的生理功能,使得手术的风险远远大于获益。
但有一个人,偏要挑战不可能。
INC国际神经外科医生集团旗下世界神经外科顾问团成员、国际颅底脑干肿瘤手术大咖巴特朗菲教授与脑干已经携手50年。正是这半个世纪的专注与探索,让他对脑干手术的把握臻于化境——精准判断哪些胶质瘤适合手术,并成功施展艺术般的手术。
巴教授表示:脑干并非禁区,尤其是在胶质瘤方面,低级别胶质瘤更是手术的最佳适应症。在脑干肿瘤手术中,重要的是确定正确的手术指征。当然,也要选择真正符合条件的患者,手术不能带来比脑瘤更大的伤害。必须确定手术的目标,并与家属和成年患者明确沟通,说明什么是安全可行的。此外,DIPG不属于手术范围,除非有可能为科学目的进行活检术。手术是否能够获益是巴教授选择是否手术的重要指征。
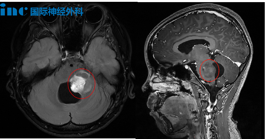
7岁女孩,中脑-丘脑胶质瘤,术后不久她就回归校园
7岁女孩秋秋偶然的头晕,竟是胶质瘤作祟。胶质瘤盘踞在脑干中脑脚部,延伸至右侧下丘脑,并向上延伸至丘脑。手术风险极大、安全切除极难——令无数医生不敢贸然接手。如此高难度手术,却是巴教授早已熟知的“日常”。在2025年巴教授中国行期间,他成功为秋秋安全切除肿瘤!如今的她早已回归校园,过去的苦难也在慢慢消散。点击阅读:小小头晕竟是中脑-丘脑胶质瘤作恶,术后不久她就回归校园!

8岁女孩,桥脑-延髓胶质瘤,二次开颅手术后恢复迅速
桥脑-延髓毛细胞性星形细胞瘤,第一次手术虽然切除了部分肿瘤,但术后茜茜不得不面对面瘫、左眼睑下垂等并发症的困扰。更让人心痛的是,短短一年后,病魔就再次卷土重来。再次手术,幸运遇到巴教授,手术得到全切,术后以茜茜的状态甚至无需进ICU。茜茜母亲高兴地说:“她看到我还跟我摆手说嗨!”丝毫没有第一次术后的“奄奄一息”。点击阅读:2年前病房中“最严重”的小患者,这次开颅术后她竟恢复“神速”!

7岁男孩,脑干几乎被肿瘤压没,术后4个月成为运动小健将
一个几乎将脑干压“没”了的巨大恶性肿瘤(弥漫性中线胶质瘤,H3K27M突变,WHO 4级),让7岁的小勇状态急剧恶化,“已经走不了路,只能坐轮椅。长了有0.9公分,一天的时间(病情进展)已经很快了。”父母跨越几百公里,从诊断到决定找巴教授手术,他们仅用了48小时,成功换回小勇的生命。在巴教授成功手术后,小勇当天就能开口说话,第二天动作如常,两周后顺利出院。点击阅读:一天激长9mm!被高级别胶质瘤困在轮椅上的他,仅4个月后成为运动小健将!

在这场与脑瘤的持久战中,父母的爱是最坚固的铠甲,每一次治疗选择都是向希望迈进的一步。正如一位家长所说:“我们要做的,就是永远不放弃抓住那一线曙光!”愿医学的不断进步和父母爱的坚守,能为这些勇敢的小生命照亮未来之路。


