INC大咖抵华:巴教授 & 北京天坛医院 实时报道
北京时间2025年8月12日,INC巴特朗菲教授已抵达首都医科大学附属北京天坛医院正式开启8月手术交流!

“非常感谢天坛医院朋友们的支持和合作……”作为北京天坛医院神经外科外籍专家,双方的合作交流不断深化,始终秉持”以患者预后为核心“的理念,共同攻克神经外科领域疑难病例。

行程紧凑,患者纷至沓来、寻求希望
每一台手术实施前,”是否手术“始终是神经外科患者面临的关键抉择。“手术有风险吗?可以全切吗?”尽管行程紧凑,巴特朗菲教授抵达天坛医院后,仍不断有慕名而来的患者带着殷切期望寻求手术机会,巴教授一一解答他们的疑虑。

虽然“早诊早治”是医学共识,但部分神经外科患者却被告知“不建议手术”。原因有很多,有的确实不需要手术,即无手术指征,而有的确实是受限于技术无法手术!
在巴教授手中,从不存在"绝对禁区"——无论是生命中枢脑干、精密如发的脊髓,还是深藏的松果体区、错综的基底节区,都有着丰富的成功手术经验。
而罹患疑难神经外科疾病的他们也不放弃任何一个机会!正是医患双方这种不放弃的坚持,才让"不可能"一次次变为"奇迹"。令人欣慰的是,经过巴教授的全面评估,他们都获得了重获新生的机会。
中脑背侧、顶盖部占位性病变,父母为17岁少年全力托举
17岁少年2年前因脑积水行分流术,症状一度缓解。4个月前头痛复发伴视物重影,调整分流压力无效。近1月病情进展,出现眼球运动障碍、吞咽困难及嗜睡,影像学显示中脑背侧、顶盖部占位,约19*16*11mm,疑似胶质瘤。面对不断加重的病情,患者父母带着希望寻求巴教授的帮助。

巴教授的策略是不同的,”我会尽量切除肿瘤的绝大部分,这样我们也能拿到足够大的标本,有助于做出精确的诊断。术后不到6周,孩子可能回归校园、正常生活……“
T12椎体水平脊髓圆锥内占位性病变,早期发现也是一种幸运!
43岁女性周女士患者2年间反复腰痛,MRI确诊T12髓内占位性病变。马尾有点像马的尾巴,神经血管丰富,手术复杂,术中稍有不当牵拉或双极电凝止血过度,就会引起脊髓梗塞,造成瘫痪、意识障碍、大小便障碍等严重并发症。

值得庆幸的是,周女士的肿瘤发现较早,体积尚小。与许多类似病例相比,她无疑是幸运的——很多患者在就诊时肿瘤已向脊髓上方扩散生长,治疗难度大大增加。”虽然目前情况尚不危急,但正是早期发现创造了治疗时机。“巴教授强调,”应该抓住这个幸运的机会。“
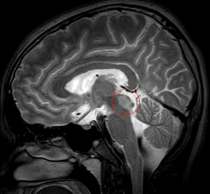
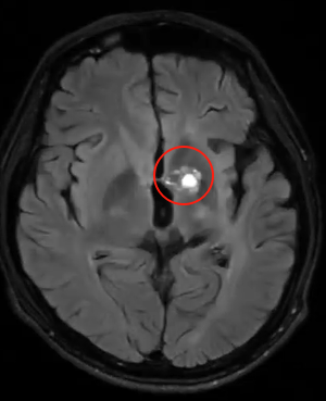
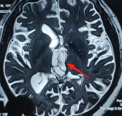
松果体区占位放疗后出现坏死?还有机会安全手术吗?
12岁男孩因面瘫检查发现松果体区占位,约1.8*1.3cm,考虑松果体生殖细胞肿瘤可能,合并梗阻性脑积水。行脑室分流术后症状缓解;后续伽马刀治疗肿瘤缩小至1.0*0.9*1.4cm,但2025年6月复查显示轻微增大(1.2*1.2cm),考虑放疗后坏死可能,仅偶发短暂性头痛。肿瘤究竟是什么类型?尽可能在保留神经功能的前提下,手术可行吗……父母带着各种疑惑找到巴教授。
“手术是可行的,而且预后应该是比较好的,需要关注的就是术后可能会出现短暂的向上凝视麻痹的情况,但是这不是永久的。最终的诊断还是要依据切除肿瘤之后,拿到肿瘤的组织去进行检测。”
还有一名基底节区海绵状血管瘤患者,因言语不利发现海绵状血管瘤伴内部亚急性期出血可能。高压氧治疗后效果不明显,手术成功率大吗?对于这个问题,巴教授也给出了积极的评估。

分秒必争,只为给疑难神外患者们带来新生的希望。结束患者咨询的巴教授,便健步走向手术室,这里还有一名19岁巨大三脑室肿瘤患者等待着他。愿少年若鲲鹏展翅,越过病痛山峦翱翔万里。


我们将持续为您带来巴教授在华手术交流的最新动态,敬请期待后续报道!


