2024年1月INC巴教授中国行
日前,巴特朗菲教授(巴教授)和INC合作的苏州大学附属独墅湖医院、苏州大学附属儿童医院,携手成功救治了多例病情复杂的疑难神经外科患者。
新年伊始、万象更新,INC巴教授2024年首度来华备受关注。为期8天的学术交流圆满结束,这不仅切实为患者带来了益处,对医院乃至长三角地区神经外科的发展有着意义。中外专家同台手术,通过手术示范、案例探讨,就疑难脑瘤手术技术的进展进行深入交流,以交流促进步。默契合作之下,共同点亮了多个疑难脑瘤患者新的希望。此次接受手术的多名患者肿瘤分别位于脑干、鞍区、岛叶、基底节等位置。在国内神经外科专家的协作配合下,手术都顺利完成。
“你好,你今天感觉怎么样?”,“早点下床走一走”,“动一动手、动一动腿”。INC德国巴特朗菲教授2024示范手术期间,每一次术后查房,巴教授都会仔细询问患者的情况,每次交流结束,巴教授总不忘鼓励病人“Good!Good!会越来越好的”。而,每一次,我们都会被患者较真实的反应所感动。"遇到巴教授幸运”,“今天好多了”,“感谢巴教授为我手术!”这些术后查房较现场真实的视频,患者一天天恢复的越来越好,给众多家庭带来希望,也是INC巴教授来华的意义之一……
巴教授2024年1月中国行部分患者查房实录
陈先生31岁男性-脑干(桥脑)海绵状血管瘤伴出血

术前情况:31岁的陈先生,因出现身体、脸部麻木,还有听力下降、头晕等症状,就诊后怀疑是脑干海绵状血管瘤引起的出血。住院药物治疗后,症状仍在加重。10多天病情恶化,近期更是出现面瘫、无法独自行走……
术后1天普通病房查房:“眼睛使劲闭一闭”距离手术仅仅过去一天,陈先生面瘫、吞咽困难就有了很大的好转。“我的嘴好了很多,现在可以吃饭,之前吞咽也不舒服,现在也好了”。
术后4天普通病房查房:“I feel better,I can walk……”陈先生可以借助助行器下床行走,眼球运动正常。
术后6天普通病房查房:陈先生术后面瘫问题相比术前已经得到了很大的好转。
贺先生36岁男性-脑干中脑顶盖肿瘤并发梗阻性脑积水

术前情况:脑干中脑顶盖肿瘤并发梗阻性脑积水,还压迫到小脑。问诊过10位神经外科专家,有建议手术的、有建议观察并半年后复查的,还有说这个区域不建议手术的,没有医生建议放化疗或不同治疗。然而,肿瘤却一直在长大……
术后1天普通病房查房:“手术后给我戴呼吸机的时候,我就醒了”,顺利转入普通病房的贺先生表示自己状态不错。转转眼睛、动动手脚……贺先生的面部、肢体功能和吞咽功能都正常。
术后6天普通病房查房:贺先生已经可以下地站立。
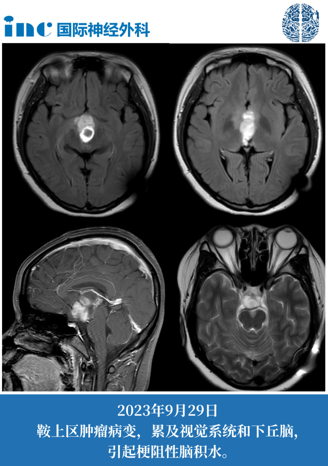
妙妙14岁女孩-鞍区占位性病变

术前症状:2016年,年仅7岁的女孩妙妙怀疑早熟,父母带着他去医院进一步检查发现,“罪魁祸首”竟是脑子里的肿瘤。虽然肿瘤是可以通过外科手术切除的,但妙妙的肿瘤位于鞍区,手术存在风险。医生建议定期复查,保守观察。2023年12月,妙妙症状再次加重,复查发现肿瘤有很明显的占位效应,危及视神经及视交叉(两者已经被肿瘤累及),有明确的手术指征。手术治疗不能再等,肿瘤一旦进一步增大,妙妙可能面临更严重的问题。
术后2天普通病房查房:妙妙意识清醒,能正常打招呼。
术后4天普通病房查房:妙妙可以下地行走,状态逐渐好转,巴教授告知术后核磁很好,肿瘤已经全切。
珺珺26岁女性-左侧岛叶海绵状血管瘤伴出血

术前症状:4年前查出——左侧颞叶、基底节区海绵状血管瘤!一直保守治疗的珺珺没想到会面临再次出血,手指僵硬,无法握笔写字,还出现嗜睡、头痛、头晕,肢体功能变差……对于热爱较限运动的她,这个肿瘤就像一个炸弹,随时可能带来严重的后果。如果从此只能小心翼翼的生活,这对于珺珺来说生活又有何意义。
术后1天ICU查房:珺珺四肢活动逐渐恢复中。
术后4天普通病房查房:右手活动逐渐恢复,腿部正常活动。
茵茵34岁女性-中脑占位性病变

术前症状:30多岁的茵茵2023年10月14日参加单位组织的健康体检时,体检报告出来后发现脑部占位性病变,但患者本身并没有什么明显症状,只不过是之前手偶尔有点麻,很快症状就消失了,因此也没有当回事。后来在当地做了增强核磁后判断有低级别胶质瘤可能,又去做了波普检查,结果是偏恶性肿瘤,医生判断是脑干胶质瘤,级别不算高,医院的建议是做不了手术,只是观察随访。
术后当天:术后当天ICU查房,意识清醒,眼球活动正常。
术后3天普通病房查房:状态逐渐恢复中
唐先生45岁男性-右额胶质母细胞瘤

术前情况:2022年11月,46岁的唐先生突然癫痫发作并昏迷,急诊完善相关检查后判断:胶质瘤(低级别),转院至上海某医院。2023年1月,在上海开颅手术,全切肿瘤,病理结果提示:胶质母细胞瘤4级。术后患者出现左边偏瘫,放疗后左脚可行走,左手较高只能抬到水平。从一开始检查疑似低级别胶质瘤到如今的四级胶质母细胞瘤,唐先生脑内的肿瘤并没有就此罢休地纠缠他,反而越演越烈——病灶增大、出现水肿。这种已经手术、并质子+重离子治疗后复发的高级别胶质瘤到底该怎么办?生存机会还有多大?目前的唐先生,频繁癫痫小发作,持续1-2分钟。近期患者左侧下肢功能障碍较前加重,活动不灵,伴疼痛,已无法独自行走。
术后当天ICU查房:四肢活动正常,状态良好。
术后2天普通病房查房:状态逐渐好转。
蒋女士35岁女性-多发海绵状血管瘤伴出血

术前情况:2013年10月一次出现剧烈头痛,左侧肢体麻木、运动受限、面部不对称和饮水呛咳等症状。行颅脑MRI提示“右侧桥脑海绵状血管瘤,右额叶蛛网膜囊肿”。保守康复后,症状缓解。于2014年2月7日行右侧桥脑伽玛刀治疗。至今,症状反复加重,颅脑MRI提示中脑-桥脑偏左侧、桥脑偏右侧及右侧小脑半球可见多发结节状异常信号影,大者约2.7cm x2.4cmx2.3cm,位于中脑-桥脑偏左侧,显示增大。
术后2天普通病房查房:意识清醒,四肢活动正常,面部正常,告知肿瘤全切。
方女士50岁女性-左侧鞍旁、左侧CPA、小脑幕下缘占位脑膜瘤
术前症状:2023年6月,因常年会偏头痛,核磁结果显示脑膜瘤。复查显示:左侧鞍旁、左侧CPA、小脑幕下缘占位:脑膜瘤;双侧额叶缺血性脑白质病变。
术后1天普通病房查房:意识清醒,四肢活动正常,状态良好
术前谈话、术前准备(为患者固定头架、设计手术入路、查看调整设备)、术中全程主刀手术、术后亲历亲为查房,为了患者更好的预后和生活质量,这位国际脑干肿瘤教授依然力求做好整个手术期间的细节。


