CPA区-桥小脑角区”为何号称为“血腥三角”?因汇集了众多的血管、神经等重要结构……
Cerebellopontine angle
CPA区肿瘤动画科普
大家好,我是CPA桥小脑角区,是由脑干脑桥外缘、岩骨内缘和小脑半球前外侧缘构成的锥形三角空间,空间虽小但富藏着前庭蜗神经、面神经、三叉神经、岩静脉、小脑前上动脉等重要解剖结构,神经鞘瘤、脑膜瘤、胆脂瘤都是我身上常见的肿瘤。
占比:听神经瘤占75%,脑膜瘤约占10%~15%,其他肿瘤三叉神经鞘瘤、胆脂瘤等10%左右。

当肿瘤压迫听神经、前庭蜗神经,会出现耳鸣、听力下降,甚至听力丧失;
当面神经损伤就会有面肌抽搐或面瘫等症状;
如果放任肿瘤继续生长,压迫到小脑、脑干,主人的生命安全可能就会受到威胁出现肢体瘫痪甚至昏迷。
想让主人恢复健康,就需要手术切除我身上的肿瘤。然而肿瘤位置深、血供丰富,手术稍有不慎将带来巨大的风险及严重的手术并发症(面瘫、听力丧失、肢体瘫痪,甚至昏迷)。
技艺高超的主刀医生会在术中神经电生理监测下对肿瘤进行-充分暴露、阻断肿瘤血供、将肿瘤与神经剥离、囊内切除、分块切除等精细操作,不损伤神经,保留神经的解剖完整性和功能的前提下安全切除肿瘤。
CPA区复杂的神经与动脉
桥小脑角区的脑神经包括:
三叉神经(trigeminal nerve,V)
展神经(abducent nerve,VI)
面神经(facial nerve,VII)
中间神经(intermediate nerve)
前庭耳蜗神经(vestibulo-cochlear nerve,VIII)
舌咽神经(glossopharyngeal nerve,IX)
迷走神经(vagus nerve,X)。
桥小脑角区的动脉包括:
小脑前下动脉(anterior inferior cerebellar artery,AICA)
小脑后下动脉(posterior inferior cerebellar artery,PICA)
和内听动脉(intermal auditory artery,IAA)等。
CPA区症状主要表现
颅神经症状:早期出现耳鸣,进行性耳聋,偶有眩晕(蜗神经),面部麻木,角膜反射消失(三叉神经),逐渐进展的周围性面瘫和外展神经麻痹,最后也可累及舌咽、迷走和舌下神经。
小脑症状:小脑中、下脚和小脑本身受压,出现同侧肢体共济失调。长束症状:脑干内传导束受压,对侧偏轻瘫,偏身感觉减退。
颅内压增高症状:头痛、呕吐、视盘水肿等。

压迫脑干、面听神经,肿瘤长在这里怎么办?
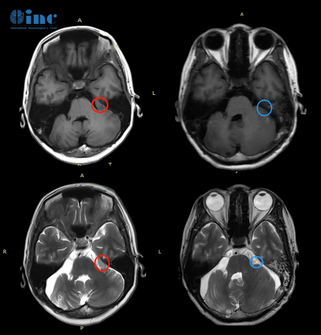
41岁的孟女士,曾因听神经瘤丧失了右耳听力,右侧轻度面瘫,做完手术后第三年,她感觉左边耳朵很闷,还时不时地头疼……她担心是肿瘤复发,赶紧去做检查,结果却查出了“左侧桥小脑三角区脑膜瘤”,孟女士不理解,自己才摆脱听神经瘤,怎么又被脑膜瘤缠上......

孟女士MR影像
孟女士病情比较特殊,不仅是因为她已经做过一次开颅手术,更是因为她的脑膜瘤长在了CPA桥小脑角区,这是三叉神经、展神经、面神经和听神经等所在之地,并且紧邻脑干延髓、脑桥和小脑。

CPA区重要神经
这个三角区很小,容积是固定的,不手术让肿瘤慢慢生长,势必会压迫周围脑组织,甚至会引起脑压升高甚至脑疝。而且压迫到周边神经会直接损伤孟女士的左耳听力,后续甚至造成面瘫。
但切了瘤子就能保住听力吗?她去看了很多医生,得到的回复基本一致:手术损伤听神经、面神经的风险较大,未必能保得住原有听力,术后还极有可能面瘫。
这让孟女士的情绪非常低落,因为当她得知脑膜瘤是良性肿瘤的时候,刚刚松了一口气,但却没想到这个位置这么棘手,本来手术目标是安全全切,现在还要加上保听保面。尤其是她已经失去了右侧听力,难道这次还要失去左侧听力、再变成面瘫吗?到底还有没有更好的选择?带着这些疑问,她远程咨询了INC德国巴特朗菲教授,正是这个选择让她重拾信心。
教授回复邮件说:孟女士的病情确实非常罕见。左侧的小脑脑桥脑膜瘤对于治疗的要求很高,但鉴于我以往的经验,成功手术的几率很高,总之,患者不必太担心。如果患者现在只是观察,不做手术,但因为肿瘤会继续生长,那么颅神经损伤的风险就越来越高。肿瘤越大,侵入左侧内耳道的深度越深,这些神经在手术中受到的损伤也就越大。因此,早期手术显然是更好的选择,在这种情况下应该优先考虑早期手术治疗。

INC巴教授给孟女士的咨询意见
2021年5月中旬,巴教授在无锡市第二人民医院,为孟女士主刀手术,在国内神经外科团队和精尖设备的配合下,巴教授全切了脑膜瘤,听神经和面神经也得到了完好保留。

术中神经电生理监测设备

术前术后影像对比
术后麻醉复苏后,巴教授第一时间到ICU查房。术后第二天,孟女士即转入了普通病房,无新发神经功能损伤,无面瘫,原有听力保留,所有术前症状均有所好转,术后第十天出院。术后1个月视频随访,孟女士状态良好,对巴教授和INC团队多次致谢。
术后2年,孟女士怎么样了?
“MRI非常好,没有肿瘤复发或不良副作用。所以情况很好,一切都在按计划进行。建议2年内做一次新的核磁复查。”巴教授在术后2年的随访中回复道。


位于桥小脑角区的肿瘤,如何才能做到全切、还保听力、不面瘫呢?其实巴教授在邮件里就已经提到了手术成功的前提——术中需要进行颅神经监测(面部肌电图、听觉诱发电位),神经电生理监测,术中协助主刀医生定位神经核团,了解相关颅神经的功能状态。它就像手术中的实时导航,实时提醒主刀医生哪里可以切,需要切到什么程度。
INC巴教授中国示范手术中还为多名CPA区的听神经瘤患者成功手术。
78岁的高龄听神经瘤患者李奶奶,仅一年时间迅速进展、肿瘤巨大尺寸超过3cm,听力下降、脑积水、走路不稳、下肢无力......2022年巴教授中国行期间,巴教授成功为李奶奶顺利全切手术,术后一年,齐奶奶随访视频中状态良好,和录视频的家人调皮得打起招呼。


