儿童的疾病,牵扯着无数家庭的心。疾病从来不会“看人下菜碟”。
尤其是小儿神经外科,专注于解决儿童诸多神经外科疾病,诸如脑肿瘤、脑积水、小儿癫痫、先天畸形等,一直被称为难度最大的外科专业之一。
小儿神经外科医生的培养的周期也非常长,在国外通常需要有10年以上的成人神经外科工作经历的医生,才能从事小儿神经外科临床工作。
“如果我们能替孩子承受这些病痛就好了……”看着自己辛苦抚养长大的孩子饱受疾病折磨,很多家长都会发出这样的心声。
如果这时出现一位国际知名而又慈爱谦逊的“老爷爷”,能够耐心细致地回复疑难问题,用专业托底、用微笑鼓励,甚至不厌其烦地用“长篇大论”进行解答,原本慌乱迷茫的心也许就能因此松一口气。
而这一口气,也许能支撑起一个孩子的童年、一个家庭生的希望。
12000+手术:50余年小儿神外经验
慈眉善目、声誉中外,这是见过他的人对他的第一印象。他是INC国际神经外科医生集团旗下世界神经外科顾问团的成员,也是国际儿童颅底学会创始人,曾任世界神经外科联合会教育委员会共同主席以及国际儿童神经外科学会主席Concezio Di Rocco教授,目前他还是世界儿童神经系统知名杂志《Child´s Nervous System》现任主编以及世界神经外科联合会基金小儿脑积水项目负责人。

国际儿童颅底协会主席
国际儿童神经外科专家
国际儿童神经外科学会主席(ISPN)(1991-1994年)
世界神经外科联合会教育委员共同主席(2013-2017年)
世界神经外科联合会儿童神经外科委员会主席(2001-2009年)
世界小儿神经系统知名杂志《Child´s Nervous System》现任主编
国际儿童颅底学会主席(创始成员)
世界神经外科联合会基金小儿脑积水项目负责人
德国汉诺威国际神经科学研究所儿科神经外科主任(2013年至今)
欧洲神经外科学会(EANS)前副主席
世界神经外科学会联合会(WFNS)儿科委员会曾任主席
罗马天主教大学医学院儿科神经外科学系主任
自2014年5月起,Di Rocco教授就担任了德国汉诺威国际神经科学研究所(INI)的儿科神经外科主任。从事儿童神外事业50余年,Di Rocco教授尤为擅长小儿神经纤维瘤、癫痫、脑积水、蛛网膜囊肿、颅缝早闭、脑和脊髓肿瘤、脑和脊柱畸形(半椎体畸形,皮质发育不良,脊髓脊膜膨出,脊髓内脂肪瘤,Arnold-Chiari畸形等)难治病症方面的治疗,进行过12000多次神经外科手术。
关于Di Rocco教授手术团队擅长
我是一个儿童神经外科医生,主治一些能以手术治疗神经系统疾病的儿童患者。我们的手术团队主要治疗一些先天性脑畸形,包括脑积水,它是脑内流体动力的失调,而它会更加严重,甚至对发育中的大脑造成损伤。我们还专门治疗颅骨畸形。
我们还治疗一些获得性疾病,如导致功能障碍的炎症和感染性疾病、以及颅脑肿瘤性病变。在这些疾病的治疗方面,我们已经做了很大的进步,而且,儿童肿瘤患者预后比成人的好些。
关于小儿神经外科诊疗理念

一般来说,如果能早期得到诊断的话,儿童患者大多数可以治愈。因为在儿童患者群体里面,大部分脑肿瘤是良性的。而对于畸形来讲,畸形有各种各样的,例如癫痫,但用手术切除大脑畸形的部分就可以治愈这种癫痫。
当今时代,药物和疗法发展得很快。有的医院不一定能提供专业的治疗方案,单就儿童神经外科而言,不是每家医院都能做到,它非常专业,只有少数医院可以聚集足够的儿童患者以便提供这种服务。然后,几乎每天都有新的疗法,疗法的发展速度很快。
3000+字咨询报告:耐心与专业的具象化
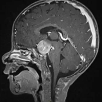
15月大的婴儿,由于生长发育障碍经检查后发现为视神经胶质瘤。尽管病变已经浸润到了视交叉-下丘脑和间脑结构,但所幸并未累及视神经和脑下垂体,未发生脑积水。

很快,医生通过右侧翼点途径对肿瘤进行了直达方式手术,然而,由于患者过于年幼,第一次术后的MRI显示肿瘤仅被有限切除,其尺寸基本没有变化(3.0 x 2.4 x 2.2厘米)。
尽管手术并没有引起进一步的神经功能障碍,但却出现了一些并发症,如硬膜下积液、尿崩、间脑综合症(DS)等。
*间脑综合症(DS)*:间脑综合征是一种罕见的新生儿疾病,多数情况下是由低级别的下丘脑和视神经通路肿瘤引起的,即毛细胞性星形细胞瘤和混合型胶质瘤。这些低级别的肿瘤与DS有关时表现出较大的侵袭性。主要临床特征包括生长迟缓、消瘦、皮下脂肪减少,多动(活动过度)伴随眼球震颤、斜视、头部晃动和颅内压增高的表现(头痛、嗜睡、呕吐),这些可能与脑积水有关。
最终患儿被诊断为毛细胞性星形细胞瘤KIAA1549-BRAF阳性。于2021年8月2日开始化疗,采用了基于长春新碱和卡铂联合治疗的LGG方案。
但是脑肿瘤的阴影仍然存在,家属无奈之余,联合咨询了国际三大小儿神经外科教授Di Rocco教授、Bertalanffy教授以及Rutka教授。
在求诊报告中,他们提出了5个问题,而就是这样简单的5个疑问,Di Rocco教授却对此写了3000多字的“论文”分析病情,从患者首发症状、救诊过程、病情进展、病因影像解析、治疗风险和原因分析、后续治疗计划、研究进展、参考文献资料等进行了全面的案例分析。

Di Rocco教授咨询报道截取
Di Rocco教授这3000字咨询报告的背后是他从业小儿神经外科50来的经验,跨越了现代小儿神经外科半个发展史的阅历。
数十次来华:只为倾囊相授小儿神外知识
Concezio Di Rocco教授曾受到来自法国、埃及、吉尔吉斯斯坦等国家的邀请进行讲座和现场演示,且联合全球知名小儿神外专家创办了儿童神经外科研究所课程。
该项课程在过去30年里为世界培养了无数儿童神经外科医生,包括目前国内若干著名三甲医院的儿童神经外科主任专家,都曾是他的学生。Concezio Di Rocco教授将其领先的治疗技术分享给世界各地儿科神经外科医生进行借鉴参考和学习,为世界儿科神经外科的发展做出了巨大贡献。

15年间数十次来华,Concezio Di Rocco教授不仅现场倾囊相授SCI科学论文写作技巧及发表精髓,还一直热心于帮助中国儿童神外事业发展。
Di Rocco教授曾到访苏州大学附属儿童医院,为6名神经外科疑难杂症孤儿进行义诊。教授之前也与苏州大学附属儿童医院的专家进行过多次学术交流,非常赞赏这里儿童神经外科专家的专业素质以及与国际接轨的理念和学术能力。

12+本著作:培养更多国际小儿神外医生
Concezio Di Rocco教授曾主编或参与撰写的著作有12余本之多,只为推动国际小儿神外的人才培训,为国际提供更多小儿神外医生。
关于其主编的《Child´s Nervous System》

纵观当今小儿神经外科教育事业,儿童神经外科发展不好,这是因为在医学院的培训中,老师认为太专业。神经外科教师认为太专业,儿童外科教师也认为太专业,一直都没有好的教程。
因为这个原因,在儿童神经外科协会,我们建立了一个专业的杂志,即是《Child´s Nervous System》,而我是这本杂志的主编。我们在世界各地提供专门的、现代的教程,我们先开始在欧洲,然后在南美洲和亚洲教。在三年内,我们教了医科学院不教的所有的内容,这是我极大的荣幸。

Di Rocco教授主编的世界著名小儿神经外科杂志《Child´s Nervous System》

Di Rocco教授一生撰写或参与撰写的儿童神经外科部分著作
“医生之本,德术并举”。Concezio Di Rocco教授50年来专注于儿童神经外科的各种疑难杂症,救治过无数儿童及其家庭。但一人所学并非独有,一人之力也实在有限,为了让国内外更多神外疑难患儿获得新生的机会,教授还倾囊相授毕生所学,致力于推动国际小儿神外事业的共同发展。
儿童神经系统疾病需要儿童神外与成人神外、肿瘤等多学科共同协作,以达到更佳的诊疗效果。为此,Di Rocco教授还呼吁儿童与成人神经外科医师应通力合作,集结各方力量竭尽所能地救治各类神外患儿。
众人共举,才能托起儿童健康,还他们一个无忧、快乐的童年。


