
我觉得生病,心态太重要了,心态不好什么都乱了。一开始很多医生说我这个(肿瘤)很严重,要赶紧做手术,不然可能瘫痪;还有医生告诉我术中术后大出血的风险很大。我后来找巴教授就是因为不放心,我才20多岁,如果术后真的出问题,我一辈子都接受不了。
后来我就没有那么害怕了,我觉得自己肯定能治好。从咨询巴教授到手术,我只用了半个月时间,现在术后第六天,我恢复得挺好的,对手术效果也很满意。
一个巨大的鞍区占位,让27岁的武女士生活戛然而止。刚订婚没多久的她与爱人不得不携手面对这个关乎生死的考验。幸好,她的所爱之人,始终陪伴左右——在爱人的努力、家人的无条件支持下,武女士决定将一切交给巴教授。
2025年的平安夜,武女士一家收到了巴教授送给他们的第一份圣诞礼物:平安。手术顺利、肿瘤全切、垂体柄保留……不到1天时间,当武女士从ICU平安转出时,一切都已焕然一新,唯独那份珍贵的陪伴与支持始终如一。
命运再一次眷顾了这位乐观活泼的女孩,术后第一天巴教授查房,武女士的视野和视力无新发损伤;术后第三天,武女士可以正常下床走路,巴教授称赞武女士恢复得“very well”,比预期快很多,创口也愈合良好;术后第四天,术后核磁证实肿瘤全切,巴教授竖起大拇指,用中文告诉武女士:“一切都很好!”

每一次见到巴教授,武女士都面带微笑、阳光开朗,即使看到自己脑袋上的刀口,她也会开玩笑说自己像“阿哥”。她用积极向上的心态成功度过这一次考验,也向许多病友展现了乐观的力量。
接受INC采访时是武女士术后的第六天,面对未来的打算,她依然大笑:“先玩一年,放松放松吧!”
01.
即将迈入人生新阶段
却查出巨大鞍区占位
27岁的武女士和爱人感情和睦,在查出这个巨大脑瘤前不久,两人还处于订婚后的喜悦中。即将迈入人生的新阶段,武女士还没来得及做好准备,变故却悄然而至。
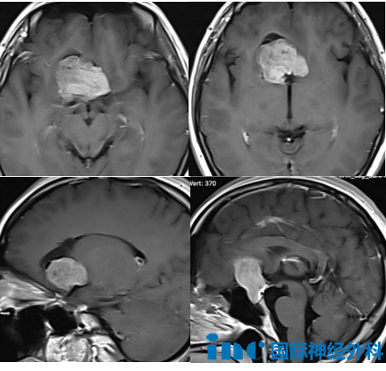
2025年10月,武女士的鼻子突然闻到一股陌生的味道(幻嗅),而后她开始头痛,还出现了癫痫。尽管在住院后已注射安定类药物,但武女士仍多次出现轻微抽搐症状。核磁显示,武女士的颅内存在一个巨大鞍区占位,约3.3cm×4.2cm×4.1cm,已致双侧大脑前动脉受压移位。
此时已是2025年末,武女士的右侧视野同样出现明显缺损,记忆力也大不如前。

02.
爱比恐惧先至
「我觉得肯定能治好」
一开始,更令武女士煎熬的,是心理上的恐惧。“我这么好的一个人,活蹦乱跳的,怎么突然长了个大瘤子?尤其是有一天晚上癫痫发作,打了药后有点麻,我就更害怕自己还会发作。”
所幸,比漫长的恐惧先一步到来的,是家人真挚的爱。加上之后癫痫被药物控制,曾经的害怕再也没有吓倒过武女士。“我觉得肯定能治好,问题不大。”为了对抗这个肿瘤,武女士和爱人很快达成共识——总要多看看医生,多咨询咨询,心里才能有个数。
然而,面诊过多位专家,给出的回复却令她心慌。“医生说我这个(肿瘤)很严重,要赶紧做手术,不做手术可能会瘫痪。另一个医生还说,肿瘤周围血管很丰富,跟动眼神经也有关系,他切不干净,术中术后大出血的风险很大,甚至可能下不来手术台。”
大出血、术后无法睁眼、可能还要二次开颅……这些话冷冰冰地砸在武女士和家人心中,但是,做足心理准备的他们都十分默契地用乐观互相鼓舞着。
03.
半个月从咨询到手术
争取「做到更好」
转机出现在武女士爱人坚持不懈的搜寻,最终找到巴特朗菲教授。“我对象当时觉得,不能说最后真的出现了什么风险,到时候再互相埋怨,不如现在考虑周全,做到更好,在有条件的基础上降低这些风险。我才20多岁,要是真的眼睛出问题,我一辈子都接受不了。”
于是,12月初,武女士联系到了INC,并得到了与巴教授视频咨询的机会。
巴教授回复

这是一个可手术切除的病变,实现近乎全切的可行性很高,预后情况也非常好,术后她有望恢复正常生活。肿瘤已经浸润大脑前动脉的血管,继续保留肿瘤、任由它生长的情况并不乐观。血管受损确实会引发很严重的状况,但我在这类肿瘤的手术中,还未出现过血管受损的情况。我经手的很多肿瘤都存在这类血供情况,不用担心,我能轻松处理这个问题。
巴教授的这番回复无异于甘霖,成功安抚了武女士一家内心对手术并发症的担忧。“我家里人都听到了,巴教授说完以后(我们)都很通透,就觉得可以(手术)。”
04.
肿瘤全切、垂体柄保留
「做完手术就好了」
经过INC的积极协调,平安夜当天,在爱人和家人的注视下,武女士被推入手术室。实际上,这一次的手术关键在于鞍内部分——这里是肿瘤的起源位置,也是垂体和垂体柄所在的重要区域。这一点,巴教授早在术前就已告知:“这部分必须谨慎处理,以保护垂体功能不受影响。同时,肿瘤已累及大脑前动脉,血管保护至关重要。”

最终,正如术前预期,这场由巴教授主刀的手术完成得十分顺利。一年一度的平安夜,武女士安然渡劫。走出手术室,巴教授向等候在外的家属带去了好消息:“very successful。”不仅肿瘤全切,垂体柄也安全保留。
“我自己觉得做完手术就好了,跟正常人没有区别,医生也是这么说的。可能术后会调节一段时间的激素,但没有影响到垂体柄的话就问题不大。”在ICU不到一天时间,武女士就顺利转回普通病房,笑容从未离开她的脸。

从术后第一天各项功能如常,那些可怕的并发症并未发生,到术后第三、第四天恢复快速,能下床走路,她就像一株怎么也打不倒的向日葵,有着坚韧的生命力和明媚的性格,即使经历磨难,也能向阳而生。
衷心祝愿武女士及家人,能够一直保持着这份开朗和乐观,哪怕长路漫漫,也能携手同行。


