颞叶记忆
记忆是我们成长和回忆的一部分,形成我们的身份和生活经历。忘记记忆可能意味着失去自己的一部分、重要的人和美好的时光。记忆如此迷人,当记忆被慢慢“消除”,我又是谁?
颞叶是人类大脑的二大叶,几乎占大脑总体积的四分之一,在处理听觉信息、记忆形成、语言理解以及情绪和言语产生的某些方面起着关键作用。它拥有像海马体这样的结构,对长期记忆至关重要,以及初级听觉皮层,对理解声音至关重要。
颞叶是听觉、言语、记忆、嗅觉、感觉,情绪和行为的功能中心。常见的颞叶病变包括胶质瘤、海绵状血管瘤、颞叶癫痫等。颞叶损伤的八大症状主要包括传导性失语、感觉性失语、记忆力减退、听觉理解能力下降、综合感觉能力下降、偏盲、精神异常、癫痫发作等。
到底什么是颞叶?颞叶有什么功能?
temporal这个词指的是头部的太阳穴,它指的是颞叶在大脑中的位置。

颞叶内的许多子结构都有特定的功能。颞叶较里面的部分,被称为边缘系统,包括海马体和杏仁核。
颞叶的结构包括几个关键区域,其中较为人所熟知的是听觉皮层(auditory cortex)、威尼克区(Wernicke's area)和海马体(hippocampus)。
听觉皮层位于颞叶上方的颞上回(superior temporal gyrus),负责处理来自耳朵的声音信号。这一区域将声波转化为大脑可以理解的神经信号,是听觉感知的基础。
威尼克区位于颞上回的后部,与语言的理解功能密切相关。这一区域的损伤可导致感性失语症,患者虽然能够流畅地发音,但理解语言的能力受损,难以把听到的话转化为有意义的概念。
海马体位于颞叶内部较深的位置,是大脑中主要的记忆和学习中心。海马体对短期记忆转化为长期记忆扮演着关键角色,同时也参与空间记忆的形成。
除此之外,颞叶还参与处理部分视觉信息,如面部识别和场景识别,这些功能涉及到颞下回(inferior temporal gyrus)等区域。颞叶的不同部分通过神经网络紧密相连,并与大脑的其他部分如前额叶、顶叶和枕叶等进行广泛的信息交换,以支持复杂的认知功能。

如果颞叶受损会怎么样?
1、颞叶癫痫:颞叶癫痫是较常见的癫痫形式,也是较常见的癫痫发作原因。
2、各种形式的失语症,一种言语和语言障碍。布洛卡区受损往往会阻碍说话的能力,而韦尼克区受损则会阻碍理解语言的能力。
3、记忆能力受损:损伤的性质取决于损伤的位置,但常见的问题包括难以识别人、脸或物体;长期记忆力差;自传体记忆紊乱,听觉记忆减退。
4、性格的改变,特别是在情绪调节和人际交往方面。
5、自我形象和自我认知的改变;因为颞叶容纳了我们的许多记忆,自传式记忆的中断或丧失会导致性格的改变,以及一个人的自我意识的改变。
6、自动行为的改变,如饥饿、口渴、食欲和性欲。一些额叶紊乱的人会出现上瘾、不恰当的性行为、冲动控制能力差和攻击性。食欲的变化成问题,因为暴饮暴食和饮食不足都会影响整体健康,从而影响大脑功能,加剧原有的损伤。
7、执行能力的改变。一些颞叶受损的人很难计划或协调他们的行动。
8、空间导航和空间推理能力的变化。额叶受损会阻碍记忆,而空间推理——包括驾驶——严重依赖于记忆。因此,一些患有颞叶损伤的人可能会在驾驶、方向或在导航方面遇到困难。
9、皮质性聋。这种疾病包括听力的完全丧失,即使感觉器官功能正常。也就是听觉信息到达了感知器官,却没有经过大脑的处理,也就是说完全丧失了对声音的感知。
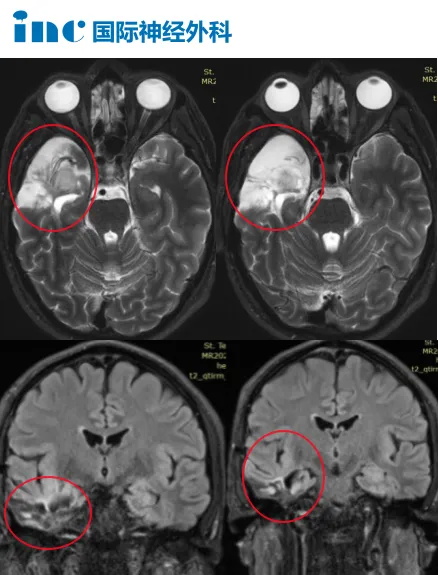
颞叶胶质瘤开颅术后3个月肿瘤复发,无法控制的癫痫
INC国际教授多次中国行,切实为海内外患者治疗带来更多选择。一名40岁法国颞叶弥漫性星形细胞瘤患者,因癫痫发作查出颞叶胶质瘤。一开始开颅手术后,术后3个月复发,癫痫也再次发作,且药物无法控制。香港的医生建议先尝试进行少量的替莫唑胺化疗,看看反应如何,然后再做另一次开颅手术。下一步该如何走?

▼2024年4月,远程视频中
等待对患者来说是不利的,因为这会给肿瘤继续生长的机会,手术应尽早进行,越早越好,因为那样我们就可以得到新的组织病理学结果,然后我们就会知道放疗和化疗是否有必要。肿瘤位于右侧颞叶区,我们可以进行很广泛的切除,甚至几乎超出肿瘤的边缘。
颞叶手术中,术中核磁也重要。在手术中,当你到达肿瘤和健康组织的边界时,它们看起来一样,无法区分,因为没有一个清晰的边界。当我们到达这个区域时,我们将停止手术,然后我们将把患者转移到术中核磁设备中,因为核磁成像仍然可以分辨出有多少残留肿瘤(还没切除的)。假设仍然有一厘米的肿瘤边缘,你用肉眼是看不到的,但你可以在核磁成像中看到,然后我们就知道还可以顺利切除多少。通过术中核磁,我们可以比仅使用显微镜更能精确地切除肿瘤。
▼INC国际教授中国示范手术中,术中核磁应用

癫痫中的“变色龙”——颞叶癫痫治疗实例
当前治疗颞叶癫痫还新兴了一种微创的激光黑科技——激光间质热疗(LITT)。INC旗下国际神经外科顾问团成员、神经外科领域癫痫/脑瘤专家James T.Rutka教授指出,LITT是一种MRI磁共振引导下的经皮微创手术,激光通过光纤作用于靶点,从而选择性地消融病变组织。该技术优势在于,可以在磁共振的实时引导和监测下,实现对脑深部病变的准确消融治疗。目前,其效用已被临床研究证实可用于癫痫和部分脑肿瘤的控制。
▼Rutka教授讲解激光间质热疗(LITT)技术原视频
这是七岁的小儿患者,有局部癫痫和右内侧颞叶肿瘤。首先采用经侧裂入路为孩子进行了开颅切除术,术后影像显示我们得到了很好的切除率,有七年的时间没有发作癫痫,但很不幸,后来又开始发作了,这一次他不愿意再作开颅手术了。

Rutka教授建议他使用激光间质热疗(LITT)来清除这个小的癫痫病灶。这是患者取位步骤,准备做神经导航并让患者接受术中磁共振检查。这里能看到对靶点和周围组织进行定位,以便我们应用激光探针。

这个过程中,SickKids医院Rutka教授手术团队用Vario术中导航,然后准备行激光消融。这是手术室内的术中磁共振磁,还有一个机器人做导向导航,可以将一把探针进入到所选择的靶点区域。

这个视频展现激光烧灼看起来是什么样子的。这是温度为42或43度的地方。烧灼过程中这变成蓝色的。蓝色区域摄氏度为45或46度,更强的激光烧灼导致致痫灶的消融。治疗后,他没有癫痫发作,术后情况也好,家属很满意。他们在医院住过一个晚上,二天就回家了,不用再做开颅手术。

我还能记得你、认识你、听见你的声音……颞叶的正常功能让这其中的美好恰到好处。当失去这些,甚至变的“神神叨叨”,活在另一个国际里。其实,即使罹患颞叶病变,也可以寻求更好的治疗,鲜活地活着。
参考资料:Olivia Guy-Evans,MSc.Temporal Lobe:Definition,Functions,Location&Structure


