
INC巴教授来华:巴教授&北京天坛医院 —— 又一台中外合作手术顺利完成
北京时间2025年8月12日,一场秋雨降临京城,为这个炎热的天气带来一丝凉意。夜幕已降临,在首都医科大学附属北京天坛医院外,一行人匆忙走过被雨水浸湿的路面——来自德国神经外科专家巴特朗菲教授刚刚结束当日天坛行程。
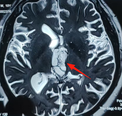
19岁的生命遭遇严峻挑战,巨大三脑室肿瘤位于大脑中心深部,血供丰富、质地坚韧,与三脑室壁、丘脑、深部血管黏连紧密,手术异常艰难。巴教授主刀,中外专家通力协作,经胼胝体-脉络膜裂入路安全全切肿瘤,为年轻的生命重燃希望!

除了接受手术的新患者,此次行程中还有一位曾接受过巴教授成功手术的老患者特地前来感谢:“您是我们全家的英雄!”新老之间,宛如生命的接力,既承载着新患者对未来的期盼,也是老患者新生的见证。
一、这台强强联合的手术:情况究竟如何?
19岁少年飞宇,一个40×25×31mm的巨大肿瘤已完全占据第三脑室,从室间孔向下压迫中脑。三脑室,这个前后仅2.5-3cm、宽约0.5cm的狭小腔隙,却密集分布着维系生命的关键结构。

对于飞宇一家来说,19岁的生命不容有任何闪失。他们期待的不仅是让孩子活下去,更要让他高质量地活下去——在最大限度保护脑功能的前提下,尽可能把肿瘤切干净,这正是他们寻求这场手术的意义。
“我将运用四十年的经验和技术,为该患者争取更佳治疗效果!”飞宇父母重燃希望,他们相信北京天坛医院与国际专家巴教授的强强联合,必将为孩子带来转机。
这台手术面临重重困难……
- 1. 第三脑室位于大脑中心深部。到达目标需要切开胼胝体、分离脉络膜裂、进入三脑室顶部。巨大肿瘤本身就占据空间,操作通道更加狭窄和深长。手术器械的活动范围受限,操作精确度要求极高,手部微小震颤会被放大,可能误伤周围关键结构。
- 2. 脉络膜裂是位于穹窿和丘脑之间、脉络丛附着处的一条潜在的裂隙。巨大肿瘤导致其扭曲、粘连、被挤压变薄。安全有效地打开此裂隙而不损伤下方的深部静脉系统和丘脑至关重要,操作需在极其有限的深部空间内精细进行。分离不当易撕裂脉络膜或损伤其下方的静脉系统(如丘纹静脉),导致灾难性出血或静脉性梗死。
- 3. 巨大肿瘤本身有丰富血供,深部止血困难,大量出血迅速充满术野,干扰操作并增加损伤风险。而飞宇的肿瘤质地坚韧似橡皮膏,与三脑室壁、丘脑、深部血管黏连紧密,只能分块切除或借助CUSA,强行牵拉易导致出血或伤及周围结构。
所幸,手术室外,传来好消息:“一切都顺利!”巴教授在术后第一时间向家属详细讲解了手术情况:“全程诱发电位稳定,说明功能完好。尽可能切除肿瘤的同时保护大脑功能,血管、神经,尤其是对于记忆非常重要的穹窿,都保留的很好。”
“这下我们就放心了,太感谢了!”听到这个好消息,患者父母难掩激动之情。他们格外关注孩子的每一个恢复细节。而飞宇今早已从ICU转到普通病房,巴教授亲自查房确认:飞宇的语言功能和运动功能均保持正常,恢复情况良好。在显微镜下的方寸之间,为孩子打开了崭新的人生可能。
二、“巴教授是我们全家的英雄!”老患者专程致谢
62岁患者江先生一家此次专程来感谢巴教授。这一次,一家人一扫术前的阴霾,带着灿烂的笑容而来。女儿精心为教授准备了英雄牌钢笔,“巴教授,您是我们全家人的英雄!”

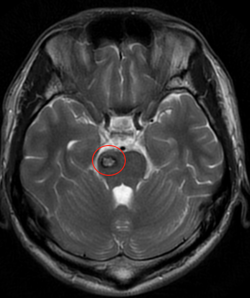
2025年1月,江先生因右侧丘脑、中脑及桥脑海绵状血管瘤突发出血,病情危急:持续头痛、视物模糊、肢体麻木疼痛无力、不能行走,一家人将他从河北120紧急转运到苏州。从咨询巴教授到手术顺利完成,仅用了短短3天时间。

对病患而言,“黄金手术时间”的宝贵性不容小觑。脑干海绵状血管瘤常常暗藏危机,首次出血症状轻微,保守观察却遭遇二次出血的致命反扑,症状急剧恶化、甚至需紧急医疗转运。“找到巴教授,想要抓住那重获新生的一线希望!”从术前无法行走,到如今的正常生活,这不仅凝聚着全家人的坚持与付出,更得益于巴教授成功实施的高难度手术。
三、在困境终寻求希望,咨询巴教授的他们
脑干海绵状血管瘤第一次出血好转还会再次出血吗?
28岁的吴先生今年5月突然头晕呕吐、双腿发软,检查发现脑干藏着“不定时炸弹”——海绵状血管瘤!考虑到患者是第一次脑干出血,且目前无神经受损现象,当地医生不建议手术。没想到仅过去几天,再次出现头晕、呕吐等症状。更令人担忧的是,头晕胀痛不适持续折磨了他40天才逐渐消退。如今,回归正常生活的吴先生内心充满焦虑:是否会再次出血?是否需要手术?

巴教授:可以等待,但问题是这类病灶可能会因再次出血而突然增大,从而引发严重症状,甚至不可逆神经功能障碍。手术的优势在于,该病灶位置非常容易到达,能够避免许多潜在问题的发生。
13岁少年丘脑中脑占位性病变,4年仅长高9cm,成长被按下暂停键...
新城的成长轨迹在2019年突然偏离了轨道,一个盘踞在丘脑和脑干的“不速之客”。这个位置险要的肿瘤不仅引发了脑积水,更让医生们束手无策:手术风险太大,只能先做造瘘术缓解症状。4年过去了,这个本该蓬勃发育的少年仿佛被按下了暂停键:身高仅增长9厘米,声音依旧稚嫩,青春期迟迟不肯到来...

巴教授:手术是必要的,孩子有很大机会回归正常生活。具体是何种病变,要看术后病理结果。
还有一名右额叶占位患者,在得到巴教授可以且需要手术的评估后,他们决定抓住这次巴教授来华的机会,尽早手术。
INC巴教授手术交流持续进行中!生命相托,巴教授一把手术刀游离于毫厘之间,每一点努力,都是为了对神经最大程度的保护,都关系到患者未来的生命质量。


