inc国际神经外科医生集团
导航
(爱恩希)INC国际咨询电话

神外科普

[field:typename/]
当前位置:INC > 神外科普 >
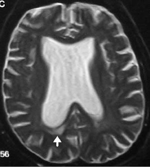
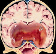
脑脊液动力学百年经典理论争议-国际小儿神外教科书教授谈脑积水新病理机制

脑脊液动力学百年经典理论争议-国际小儿神外教科书教授谈脑积水新病理机制

2023年11月25日,INC国际神经外科医生集团三届国际神经外科顾问团云端峰会于中国一高楼,被誉为上海之巅的上海中心大厦的J酒店开幕。时隔四年,INC旗下国际神经外科顾问团...

2024-03-11 10:36:48
为开颅手术保驾护航——谈神经外科麻醉的重要性

为开颅手术保驾护航——谈神经外科麻醉的重要性

我觉得挺好的(巴教授在术前、术中、术后和国内医生团队的交流),我觉得国内的脑外科青年医生都应该向巴教授学习。 苏州大学附属四医院麻醉科主任李健 我们的确从巴教授和...

2024-03-11 10:15:54
手术难度堪比脑干,早在30年前巴教授已有成功案例发表!

手术难度堪比脑干,早在30年前巴教授已有成功案例发表!

我经历的这场较大考验的开颅手术成功了,太神奇了,我没有任何并发症。手术结果不仅远远超出了我的预期,甚至很多医生也发出惊叹!我巴特朗菲教授和他的手术团队,我充满...

2024-03-05 09:21:05
谈开颅神器、医生的三只“眼”——神经外科术中神经电生理监测

谈开颅神器、医生的三只“眼”——神经外科术中神经电生理监测

较重要的一个感受其实是巴教授会主动要求我做一系列的监测,手术当中也会调整监测的方式,这一点和我之前的经历是差异比较大的。 苏大附儿院王勇强副主任医师 面对巴教授的时...

2024-03-01 10:58:19
2月25日|INC国际脑膜瘤教授Couldwell教授首届WFNS国际神经外科会专题演讲视频

2月25日|INC国际脑膜瘤教授Couldwell教授首届WFNS国际神经外科会专题演讲视频

2024年2月25日,INC国际神经外科医生集团旗下国际神经外科顾问团成员教授、国际神经外科学院前主席William T.Couldwell教授受邀出席1st WFNS International Global Neurosurgery Conference(一届WFNS国...

2024-02-27 09:11:29
从鼻孔就能摘除脑子里的肿瘤?

从鼻孔就能摘除脑子里的肿瘤?

瘤子长在脑壳里,手术却从鼻子里去做? 图示为内镜经鼻入路切除脊索瘤 谈起脑瘤,大家总会联想到开颅手术,不由心生恐惧。其实,并不是全部的脑瘤都需开颅,随着神经内镜技术...

2024-02-26 09:50:36
欧洲神外教授谈脑膜瘤手术Simpson分级和复发的八大进展

欧洲神外教授谈脑膜瘤手术Simpson分级和复发的八大进展

感谢你们的盛情邀请,能与这些可敬的同事们一起在这个美妙的场所共聚一堂,我深感荣幸 INC瑞典Tiit Mathiesen教授 欧洲神经外科教授教授 北欧神经外科一人 2023年11月25日,INC国...

2024-02-26 09:28:38
2分钟动画解读:什么是双较电凝?有什么作用?

2分钟动画解读:什么是双较电凝?有什么作用?

伴随着手术显微镜的进步与发展,神经外科手术得以愈来愈细致化,各类有利于肿瘤切除的手术体位、手术入路及设备也应运而生。手术设备的进步、手术医生的钻研、手术入路的改进...

2024-02-23 13:54:19
INC福教授现场实操教学“Kawase入路”,领略国际神外教授风采!

INC福教授现场实操教学“Kawase入路”,领略国际神外教授风采!

了解人体较好的方式就是解剖,解剖是研究人体构造的一门学问,也是医学的基础、外科学的基础。 做好一个外科医生,首先一步就是解剖。 纵观人类整个医学史,其中解剖学的发...

2024-02-20 10:15:27
中外专家“谈”福洛里希教授——这是怎样一位“年轻”的国际颅底手术教授?

中外专家“谈”福洛里希教授——这是怎样一位“年轻”的国际颅底手术教授?

INC 2024国际神外教授来华学术交流项目持续进行中,2024年2月底,国际颅底手术教授、神经内镜筷子手法提出者国际神经外科联合会颅底手术委员会主席INC法国福洛里希教授将受邀再次来...

2024-02-04 10:42:51