人类的活动、认知是通过大脑释放的电信号来进行操控。但如果这种电信号传导过程中出现紊乱或者胡乱放电,就会出现癫痫(民间称为抽羊角风)症状,如果揪出了导致放电紊乱的病根,也就有了治疗癫痫的针对性方案。
“说实话,娃一年半前才手术,第一次手术没切干净,现在肿瘤残余还在一天天长大。真的家里人没有能接受的。我真的压力好大,我先生真的是我第一次看他哭的稀里哗啦的,平时对娃很严厉。我是觉得既然第二次,我能切肯定希望都要切掉,不管结果如何,作为父母我们也要尽更大的努力……”——这是一位母亲的咨询电话,孩子因癫痫查出胚胎发育不良性神经上皮瘤DNET。其实DNET是一种非常良性的肿瘤、经过全切可以获得良好效果,但为何这个孩子要面临第二次手术。
呕吐、癫痫,6岁的女儿查出脑瘤
可可8岁了,2年前的一天晚上,临睡觉前,可可突然手脚抽筋、四肢僵硬,牙齿紧紧地咬住嘴唇、口吐白沫,整个状态大概持续了几分钟才缓解。在这之前,孩子还出现了呕吐,杨女士连夜将可可送到当地医院。医院检查结果提示可可颅内多处占位,考虑是肿瘤性病变。这对一位母亲来说,无疑是晴天霹雳。
根据杨女士的回忆,当时问诊的神经外科医生仔细查看了患儿的影像资料,发现虽然存在多处占位性病变,未见弥散受限。结合临床病症,初步诊断是低级别肿瘤性病变,考虑是胚胎发育不良性神经上皮瘤或节细胞胶质瘤,建议立即手术。
第一次开颅手术,“虽然有残余,但是肿瘤1级,随访即可”
在医生的建议下,最终可可进行了开颅手术。术后病理诊断为胚胎发育不良性神经上皮瘤(DNT),WHOI级。
什么是胚胎发育不良性神经上皮瘤?
DNT患者的主要表现为难治性癫痫发作,是药物难治性癫痫的重要病因。作为一种良性肿瘤,手术切除可获得很好疗效,术后无需放疗、化疗。术后癫痫绝大多数能得到明显控制。复发性癫痫发作的主要危险因素是术前年龄>10岁和癫痫持续时间较长(>2年)。很少发生肿瘤复发甚至恶性转化。

但是可可只是切除了左侧颞叶和海马体附近的肿瘤,丘脑,基底节,大脑脚仍有残余。根据当时医生的说法,这些位置太深,手术很可能造成孩子瘫痪等,因此残留部分。然而手术后孩子出现了动眼神经麻痹、斜视、弱视,医生表示是一过性症状。确实经过经按摩和康复治疗后现已基本恢复正常,癫痫术后也未再发作。“该肿瘤属于良性肿瘤,如果手术可以全切,预后良好。虽然还有残余,但是比较少,可以先观察随访。”医生的话让杨女士悬了一个月的心终于可以放下了。

第一次术后MRI
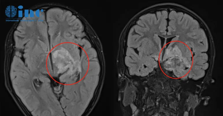
术后2年,左侧颞叶处发现1*0.7cm结节,且还在增大
可可和残余的肿瘤和平共处了2年,然而复查MRI发现左侧颞叶附近有一小结节增大,术前6mm,现11.1mm,已明确不是复发,是手术未注意的残留,但在增大。
半年内该残留增加了2-3毫米,医院建议再次手术,但丘脑,基底节和大脑脚部分仍是手术风险大,无法切除。而且该说要把孩子的颞叶切了,杨女士慌了。没想到原本良性的肿瘤,现在却面临着2次开颅……
MRI显示肿瘤已延伸并浸润基底节和丘脑


巴教授邮件回复详情:我可以为这个孩子提供第二次手术

INC德国巴特朗菲教授咨询结果部分截图
参考资料:
Sandberg DI,Ragheb J,Dunoyer C,et al.Surgical outcomes and seizure control rates after resection of dysembryoplastic neuroepithelial tumors.Neurosurg Focus 2005;18:E5.
Vogt VL,Witt JA,Delev D,et al.Cognitive features and surgical outcome of patients with long-term epilepsy-associated tumors(LEATs)within the temporal lobe.Epilepsy Behav 2018;88:25.
Nolan MA,Sakuta R,Chuang N,et al.Dysembryoplastic neuroepithelial tumors in childhood:long-term outcome and prognostic features.Neurology 2004;62:2270.
Ray WZ,Blackburn SL,Casavilca-Zambrano S,et al.Clinicopathologic features of recurrent dysembryoplastic neuroepithelial tumor and rare malignant transformation:a report of 5 cases and review of the literature.J Neurooncol 2009;94:283.


