inc国际神经外科医生集团
导航
(爱恩希)INC国际咨询电话

脑胶质瘤

脑胶质瘤
当前位置:INC > 脑胶质瘤 >

INC之美国UCSF神经外科主席Berger教授讲解功能区胶质瘤治疗新技术

美国神经外科协会前主席、美国加州大学旧金山分校医学中心(UCSF)神经外科主席 Mitchel S. Berger教授 作为INC国际神经外科医生集团旗下国际神经外科顾问团成员,曾于2019年3月来沪在...

2020-03-16 22:08:31

脑干肿瘤如何一步步完整切除?操作技巧详细图解

脑干肿瘤 占儿童颅内肿瘤的10%-20%,占成人颅内肿瘤的1.5%~2.5%, 脑干胶质瘤 是较常见的病理类型,其他包括海绵状血管瘤、转移瘤、成血管细胞瘤、脱髓鞘病变、肉芽肿等。 根据CT、...

2020-03-03 20:16:43

丘脑上肿瘤发展速度有多快?

丘脑是大脑中的一个小的结构,位于大脑皮层和中脑之间的脑干上方。丘脑虽然很小,但在却是人体必不可少、重要的组织,它与大脑皮层和中脑之间有广泛的神经连接。其不...

2020-03-02 20:06:34

脑成像可能有助于评估液体活检何时对胶质母细胞瘤患者有益

用血液检测而不是手术活检来追踪脑癌可以较大地好转胶质母细胞瘤(GBM)患者的生活质量,并为他们的护理提供关键信息,但并非全部病例都可行。现在新的研究显示大脑成像可以评估...

2020-03-02 19:55:35

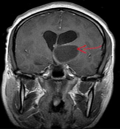
基底节胶质瘤:早期发现、及时治疗是存活的关键

基底节区 胶质瘤 ,是指生长在基底节区或附近的胶质瘤。基底节(basal ganglion)又称基底核(basal nucleus),位于近大脑半球底部的白质中,是大脑半球深部较大的核团,位于基底节区的胶质...

2020-02-28 14:44:07

较难手术之一的丘脑胶质瘤,手术后生存期有多长?

胶质瘤 ,是一种起源于大脑正常胶质细胞的肿瘤。那么胶质细胞又是什么呢?如果把神经元比作各类植物的话,胶质细胞就是孕育植物的土壤,即,广泛分布于中枢和周围神经系统的支...

2020-02-27 22:07:12

科学鉴别 | 脑瘤头痛与普通头痛,到底怎么区分?

头痛,几乎是大家都时不时会碰上的老朋友了。而在神经外科范畴内,很多常见的 脑瘤 也多以头痛为首发症状。到底怎么知道自己是脑瘤头痛还是普通头痛?两者如何清楚地区别开来...

2020-02-25 19:50:30

听神经瘤会停止生长吗?

生活中,耳朵和眼睛是人们直接接触外界的桥梁,眼睛为人们带来了五彩缤纷的国际,耳朵为人们带来了鸟鸣蛙叫的精彩声音。但比起眼睛,耳朵却容易被忽视。事实上,为人们带来有...

2020-02-24 21:49:08

Neuro-Oncology:儿童低级别胶质瘤的联合治疗发现新希望

在对人类细胞和小鼠的实验中,研究人员报告说,有证据表明,在降低儿童 低级别胶质瘤 的生长方面,将实验性癌症药物TAK228(也称为sapanisertib)与现有的抗癌药物曲米替尼联合使用可能...

2020-02-24 21:46:17

Nature Medicine:新的人工智能算法有助于检测脑瘤

脑瘤 是在大脑中生长的大量异常细胞。仅2016年,就有33万脑癌病例和22.7万相关死亡。早期发现对好转患者预后至关重要,多亏了一组研究人员,他们开发了一种新的成像技术和人...

2020-02-21 20:05:43

相关