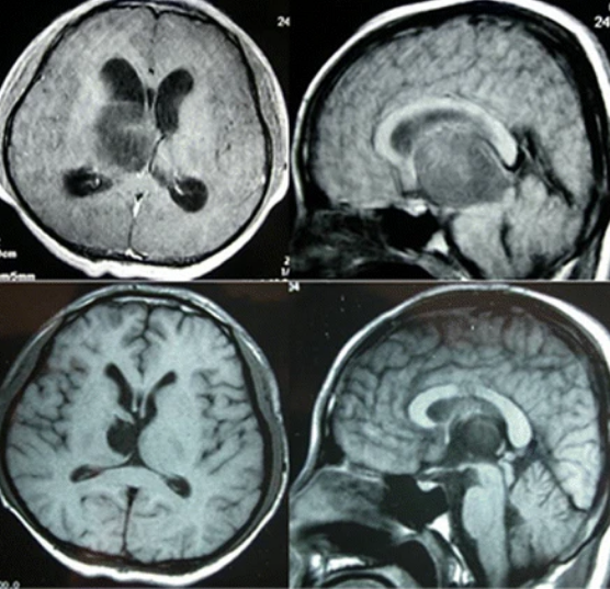
基底节区胶质瘤,是指生长在基底节区或附近的胶质瘤。基底节(basal ganglion)又称基底核(basal nucleus),位于近大脑半球底部的白质中,是大脑半球深部规模较大的核团,位于基底节区的胶质瘤往往会影响到患者的肢体运动功能。胶质瘤历来以高死亡率被冠以“病魔”的称谓,其主要由于胶质瘤被发现时,已经发展为恶性的高级别胶质瘤,难以治疗。

在过去的几十年里,神经外科以及整个医学领域所经历的较大变化之一,就是使用高科技成像技术,以清晰和详细的方式观察人体内部。核磁共振成像、CT扫描、超声波和PET扫描使神经外科医生能够检测和诊断各种各样的大脑和脊椎问题,大大减少了“探索性手术”诊断的需要。
影像学技术发展的一个结果是脑瘤的“偶然”发现的数量大大增多,让人们更早的发现了肿瘤,从而患者能够得到更好的治疗。运动员在赛场上发生碰撞后的出血,可能会被扫描,或者司机、乘客在发生车祸后,也可能会被扫描,在各种前沿影像学技术的扫描下,就可能早早发现肿瘤。但这常常给病人带来一个难题--你是要治疗一个可能远远长不出来的小的良性肿瘤,还是现在就冒着脑外科手术的风险来避免以后的灾难性发展?
国际神经外科学院院长James T. Rutka教授表示,基底节区胶质瘤早期即使的小,及时治疗也是重要的。虽然一般针对基底节区胶质瘤的治疗,有手术、放疗、化疗三种,但手术也是优选,即使手术有风险。其实不管是低级别胶质瘤还是高级别胶质瘤,一般手术治疗是一选择,手术可以合适地完全切去肿瘤部分,以组织其继续生长,其手术切除率越高,患者的预后就越好。
但一个偶然发现脑瘤的病人,通常会被这个消息完全击垮。当你没有症状的时候,很难相信你甚至有脑瘤。国际颅底肿瘤手术教授巴特朗菲教授表示,神经外科需在手术的过程中做出艰难的决定--我们尽量只在必要的时候手术,但是如果小的良性肿瘤发展成恶性肿瘤,那么放弃早期治疗的决定可能是致命的。
对于神经外科医生来说,在肿瘤发展之前进行治疗是挽救生命的有力方法。国际神经外联合会(WFNS)颅底手术委员会主席Sebastien Froelich教授表示,对于医生来说,对病人说的较痛苦的话之一就是“你得了胶质瘤”,但胶质瘤及早发现是一个很好的机会。胶质瘤作为一种致命的疾病,及早科学的治疗患者也有好的生存期,对于1级胶质瘤,甚至有很大可能治好。如今,在低级别胶质瘤发展为较高级别胶质母细胞瘤之前,对其进行检测和治疗的能力可能决定其生死。
在美国,每年约有35万人被诊断出患有脑瘤,这比乳腺癌、腺癌或阿尔茨海默病的新诊断病例还要多。这些新诊断中较常见的是转移性肿瘤,继发于身体其他部位的另一种癌症。但是大约75000例诊断将是原发性脑瘤,而且这个数字还在增长。(发病率是否真的在增加,或者更多的肿瘤只是因为成像技术的提高而被诊断出来,这都是未知的。)在中国,仅仅是胶质瘤,每年都有三万人因其死亡。
INC国际神经外科专家表示,对于位于大脑深处的基底节胶质瘤,早期发现、及时治疗是存活的关键。如果能在早期发现胶质瘤,患者不必过于恐慌,胶质瘤能在早期发现是幸运的,这意味着,这时候胶质瘤还是低级别良性胶质瘤,患者通过科学的治疗有很大希望将其完全治好。


