inc国际神经外科医生集团
导航
(爱恩希)INC国际咨询电话

胶质瘤(一年)

INC国际神经外科医生集团
当前位置:INC > > 胶质瘤(一年)
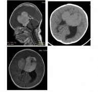
“感谢巴教授,真的救了我们,救了大家!”巴教授9月疑难示范手术患者采访纪实

“感谢巴教授,真的救了我们,救了大家!”巴教授9月疑难示范手术患者采访纪实

还好我们做了正确的决定,在较好的时机做了这台手术...

2026-01-27 17:12:01
当医生告知胶质瘤开颅可能会瘫痪,我却坚持手术:1个月后,我带着家人到处旅行

当医生告知胶质瘤开颅可能会瘫痪,我却坚持手术:1个月后,我带着家人到处旅行

我是莫女士,今年41岁。在很多人眼里,我大概属于那...

2026-01-20 10:29:41
半年内脑干胶质瘤体积翻倍,术后9天他迫不及待:“我想回去上学!”

半年内脑干胶质瘤体积翻倍,术后9天他迫不及待:“我想回去上学!”

初冬的苏州,暖阳笼罩。在儿童医院的病房走廊,一名...

2025-11-27 10:07:46
巴教授国内最小患者 | 11月龄脑干胶质瘤开颅术后1年半:“非常活跃,发育很好!”

巴教授国内最小患者 | 11月龄脑干胶质瘤开颅术后1年半:“非常活跃,发育很好!”

新生命的到来,原本是钟女士人生中最大的惊喜,但是...

2025-11-21 00:06:42
一天激长9mm!被高级别胶质瘤困在轮椅上的他,仅4个月后成为运动小健将!

一天激长9mm!被高级别胶质瘤困在轮椅上的他,仅4个月后成为运动小健将!

一个几乎将脑干压没了的巨大恶性肿瘤( 弥漫性中线胶...

2025-06-13 15:14:32
脑干胶质瘤术后半年回访:确诊脑干胶质瘤,德国手术逆风翻盘

脑干胶质瘤术后半年回访:确诊脑干胶质瘤,德国手术逆风翻盘

德国汉诺威VS上海,不同的国度,不同的人生旅途,从表情...

2021-05-14 17:13:39
5岁宝宝突患胶质瘤案例,医生说只能活2个月,结局让人泪目……

5岁宝宝突患胶质瘤案例,医生说只能活2个月,结局让人泪目……

【宝宝胶质瘤案例】俗话说,孩子的事情,再小也是大...

2025-06-10 16:25:59
胶质瘤“跳级”,二级一年后变成四级,原因为何?

胶质瘤“跳级”,二级一年后变成四级,原因为何?

胶质瘤恶变这是其病理及分子基因组学本身的一大特点...

2021-03-12 23:49:58
随访报告|功能区胶质瘤全切术后3个月,无癫痫、无瘫痪、没有复发

随访报告|功能区胶质瘤全切术后3个月,无癫痫、无瘫痪、没有复发

功能区胶质瘤手术全切案例简要病史:16岁女孩艺文(...

2022-08-12 23:32:45
16岁学生基底节胶质瘤近全切后一年回访:没有复发、无需辅助治疗,计划圆西藏行之梦

16岁学生基底节胶质瘤近全切后一年回访:没有复发、无需辅助治疗,计划圆西藏行之梦

16岁学生基底节胶质瘤案例回访:恰同学少年,风华正...

2022-08-13 11:13:26
持续长达3个月的头痛,一查出来竟然是脑胶质瘤?!

持续长达3个月的头痛,一查出来竟然是脑胶质瘤?!

头痛是生活中常见的症状,睡眠不足、抑郁、焦虑、感...

2020-01-09 16:51:23
功能区胶质瘤手术偏瘫几率多大?15岁女孩全切术后3个月,无瘫痪、没有复发

功能区胶质瘤手术偏瘫几率多大?15岁女孩全切术后3个月,无瘫痪、没有复发

胶质瘤是较常见的原发性颅内肿瘤,约占30%。通常起源...

2022-04-11 11:23:46
INC美国神外专家11月来沪现场咨询,国内脑瘤、脑血管病患者利好!

INC美国神外专家11月来沪现场咨询,国内脑瘤、脑血管病患者利好!

INC美国神外专家11月来沪现场咨询,国内 脑瘤 、脑血管...

2019-12-27 10:13:17
10个月胶质瘤宝宝如何活下去?INC三位海外儿童神外专家给予存活生机

10个月胶质瘤宝宝如何活下去?INC三位海外儿童神外专家给予存活生机

2018年9月2日,一个名叫小叶(化名)的孩子呱呱坠地,...

2019-12-27 09:49:51
疫情之下冒险出国手术切除脑干胶质瘤,术后半年回访,恢复良好

疫情之下冒险出国手术切除脑干胶质瘤,术后半年回访,恢复良好

33岁的周老师因头部不适和眼部肿痛就医,检查结果显...

2021-05-24 16:28:24
11个月大婴儿患恶性脑瘤,INC专家教你辨别脑部胶质瘤的症状

11个月大婴儿患恶性脑瘤,INC专家教你辨别脑部胶质瘤的症状

先天性胶质母细胞瘤是一个少见的实体,很少有报道。...

2023-06-04 16:22:48
脑瘤手术“拖不起”,低级别胶质瘤半年内长大,恶化为恶性胶质瘤!

脑瘤手术“拖不起”,低级别胶质瘤半年内长大,恶化为恶性胶质瘤!

脑肿瘤是怎么样一个发展进程?以下两个gif图带你看懂...

2020-07-01 11:50:22
脑胶质瘤死前一个月症状

脑胶质瘤死前一个月症状

胶质瘤死前一个月症状 胶质瘤死前一个月的症状相对明...

2022-06-10 11:08:28
脑干胶质瘤2月快速增大,术后即清醒、无瘫痪,INC国际教授如何一刀挽救21岁研究生?

脑干胶质瘤2月快速增大,术后即清醒、无瘫痪,INC国际教授如何一刀挽救21岁研究生?

脑干中脑解剖结构复杂,中脑约为人拇指头大小,集合...

2023-01-28 16:19:18
10个月婴儿患中脑顶盖胶质瘤,顺利全切肿瘤后恢复良好

10个月婴儿患中脑顶盖胶质瘤,顺利全切肿瘤后恢复良好

这个女婴在2个月大时,在常规的临床检查中发现眼窝额...

2022-06-09 16:44:10
“感谢巴教授,真的救了我们,救了大家!”巴教授9月疑难示范手术患者采访纪实

“感谢巴教授,真的救了我们,救了大家!”巴教授9月疑难示范手术患者采访纪实

还好我们做了正确的决定,在较好的时机做了这台手术...

2026-01-27 17:12:01
脊髓胶质瘤四级能活多久?脊髓胶质瘤4级活了十一年了

脊髓胶质瘤四级能活多久?脊髓胶质瘤4级活了十一年了

脊髓胶质瘤四级能活多久 脊髓胶质瘤四级大约能活半年...

2022-10-27 15:13:10
震惊!脑干胶质瘤一个月长这么大?

震惊!脑干胶质瘤一个月长这么大?

胶质瘤一个月的生长速度与肿瘤水平有关,因人而异,...

2023-06-08 13:49:57
延髓胶质瘤手术成功率:看INC国际教授为15个月大男孩成功全切手术

延髓胶质瘤手术成功率:看INC国际教授为15个月大男孩成功全切手术

延髓胶质瘤属于脑干胶质瘤的异质组。这些肿瘤起源于...

2022-08-24 16:23:48
脑干胶质瘤术后三个月还是头晕?术后怎么办?

脑干胶质瘤术后三个月还是头晕?术后怎么办?

脑干胶质瘤术后三个月还是头晕 脑干胶质瘤术后三个月...

2023-05-08 17:56:22
脑干胶质瘤三个月长大了一半?正常吗?

脑干胶质瘤三个月长大了一半?正常吗?

脑干胶质瘤在三个月内增大了一倍的情况是有可能的。...

2023-06-09 15:48:07
脑干低级别胶质瘤,2个月迅速生长6mm

脑干低级别胶质瘤,2个月迅速生长6mm

21岁的张远早在6年前就检查出无症状脑积水,当时由于...

2023-02-21 20:35:06
脑胶质瘤会不会停止生长?看脑干中脑胶质瘤2个月迅速增大

脑胶质瘤会不会停止生长?看脑干中脑胶质瘤2个月迅速增大

21岁的张远(化名)是一名高校研究生,早在6年前就检...

2023-01-17 21:11:24
脑干胶质瘤术后3个月很吐?术后多久能下床?

脑干胶质瘤术后3个月很吐?术后多久能下床?

脑干胶质瘤术后3个月很吐 脑干胶质瘤术后可能会有呕...

2023-05-09 10:25:58
脑干胶质瘤生存期只有一年吗?儿童脑干胶质瘤生存期

脑干胶质瘤生存期只有一年吗?儿童脑干胶质瘤生存期

脑干胶质瘤生存期只有一年吗 一些恶性脑干胶质瘤存活...

2023-02-01 17:00:05
脑干胶质瘤3个月症状?脑干性胶质瘤发病原因和症状

脑干胶质瘤3个月症状?脑干性胶质瘤发病原因和症状

脑干胶质瘤3个月症状 颅内压升高、认知行为改变、运...

2023-05-30 15:14:10
脑干胶质瘤3个月症状加重

脑干胶质瘤3个月症状加重

脑干胶质瘤3个月症状加重?脑干胶质瘤是一种恶性肿瘤...

2023-08-24 10:01:07
脑干胶质瘤3个月能长多大

脑干胶质瘤3个月能长多大

脑干胶质瘤3个月能长多大?脑干胶质瘤是一种位于脑干...

2023-08-24 09:46:18
仅1月速战速决!精英高管发现胶质瘤到全切手术纪实

仅1月速战速决!精英高管发现胶质瘤到全切手术纪实

如蝶破茧,涅槃重生对于莫女士而言,被宣判罹患脑瘤...

2025-06-10 11:30:54
脑干胶质瘤3个月症状消失

脑干胶质瘤3个月症状消失

脑干胶质瘤3个月症状消失?脑干胶质瘤是一种位于脑干...

2023-08-24 09:57:55
脑干胶质瘤寿命,脑干胶质瘤生存期只有一年吗

脑干胶质瘤寿命,脑干胶质瘤生存期只有一年吗

脑干胶质瘤寿命 脑干胶质瘤寿命良性大概有5年左右生...

2022-09-01 20:30:37
脑干胶质瘤症状有哪些?死前三个月症状?

脑干胶质瘤症状有哪些?死前三个月症状?

脑干胶质瘤症状有哪些 脑干胶质瘤患者的临床症状根据...

2023-05-30 13:48:44
脑干胶质瘤术后一个月复发?术后脑干胶质瘤失明?

脑干胶质瘤术后一个月复发?术后脑干胶质瘤失明?

脑干胶质瘤术后一个月复发 脑干胶质瘤术后一个月复发...

2023-05-09 11:11:54
胶质瘤不手术真的活半年吗?胶质瘤不手术吃药能控制吗?

胶质瘤不手术真的活半年吗?胶质瘤不手术吃药能控制吗?

胶质瘤不手术真的活半年吗? 胶质瘤不只能活半年,要...

2023-03-10 14:18:46
脑干胶质瘤复发瘫痪,3个月复发率?

脑干胶质瘤复发瘫痪,3个月复发率?

脑干胶质瘤复发瘫痪 脑胶质瘤Ⅱ级以上、Ⅱ级、Ⅲ级、...

2023-05-24 10:10:53
丘脑胶质瘤为何手术难度大?

丘脑胶质瘤为何手术难度大?

2022年9月份下旬在当地医院检查发现右侧丘脑内有一个...

2023-02-26 21:12:05
儿童脑干胶质瘤为什么会发抖?一年长多少?

儿童脑干胶质瘤为什么会发抖?一年长多少?

儿童脑干胶质瘤为什么会发抖 胶质瘤全身发病首先要考...

2023-05-11 16:24:56
脑干胶质瘤术后出现症状,术后一个月头晕?

脑干胶质瘤术后出现症状,术后一个月头晕?

脑干胶质瘤术后出现症状 脑干胶质瘤引起的后遗症主要...

2023-05-10 13:11:52
儿童脑干胶质瘤存活2个月

儿童脑干胶质瘤存活2个月

儿童脑干胶质瘤只存活2个月是很严重的一种,恶性程度...

2023-05-19 11:30:35
脑干胶质瘤术后一年复发率?术后头皮疼?

脑干胶质瘤术后一年复发率?术后头皮疼?

脑干胶质瘤术后一年复发率 脑干胶质瘤术后复发的概率...

2023-05-10 12:00:41
视神经胶质瘤为什么四个月后复发?

视神经胶质瘤为什么四个月后复发?

视神经胶质瘤为什么四个月后复发?视神经胶质瘤四个月...

2024-06-05 18:36:50
脑干胶质瘤一个月出现症状

脑干胶质瘤一个月出现症状

脑干胶质瘤一个月出现症状?脑干胶质瘤是一种恶性脑...

2023-08-29 17:04:06
脑干胶质瘤手术后一年转移到脊柱

脑干胶质瘤手术后一年转移到脊柱

脑干胶质瘤手术后一年转移到脊柱?脑干胶质瘤是一种...

2023-09-05 09:21:37
视路胶质瘤术后几个月激素会正常?

视路胶质瘤术后几个月激素会正常?

视路胶质瘤术后几个月激素会正常?视路胶质瘤手术后,...

2024-06-11 22:48:31
小脑脑干胶质瘤能活多久?能活半年吗?

小脑脑干胶质瘤能活多久?能活半年吗?

小脑脑干胶质瘤能活多久 患有脑干胶质瘤的生存期一般...

2023-05-30 11:44:07
怀胎七月罹患多发胶质瘤累及脑干,中国、美国、德国辗转治疗生死时速抢救母子

怀胎七月罹患多发胶质瘤累及脑干,中国、美国、德国辗转治疗生死时速抢救母子

28岁的纪女士怀孕已有六个月,本该沉浸在将为人母喜...

2023-09-21 18:11:07
产后半年发现了延髓胶质瘤还会遗传给孩子吗?

产后半年发现了延髓胶质瘤还会遗传给孩子吗?

产后半年发现了延髓胶质瘤还会遗传给孩子吗?产后半年...

2024-09-25 17:09:25
脑干中线胶质瘤表现?活不过三个月?

脑干中线胶质瘤表现?活不过三个月?

脑干中线胶质瘤表现 脑干胶质瘤常表现为共济失调,即...

2023-05-26 16:39:58
脑干胶质瘤怎么引起的?只能活3个月?

脑干胶质瘤怎么引起的?只能活3个月?

脑干胶质瘤怎么引起的 脑干胶质瘤是颅脑常见的原发性...

2023-05-26 15:33:34
视神经胶质瘤为什么四个月?四个月的化疗周期原因

视神经胶质瘤为什么四个月?四个月的化疗周期原因

视神经胶质瘤的治疗方案,包括手术切除、放疗和化疗...

2023-06-27 15:35:01
点击查看更多

相关文章