inc国际神经外科医生集团
导航
(爱恩希)INC国际咨询电话

脑膜瘤

脑膜瘤
当前位置:INC > 脑膜瘤 >

脑膜瘤伽马刀后遗症有哪些?

尽管超过90%的颅内脑膜瘤在组织病理学上是良性的,但如果切除不完全,它们会经常复发。尽管这些肿瘤的手术方法和技术不断发展,但要完全清除它们仍然很困难,是对于鞍旁...

2019-12-18 15:57:26

什么是非典型脑膜瘤who二级,脑膜瘤能治好吗?

脑膜瘤 是脑膜的肿瘤,脑膜是覆盖大脑和脊髓的膜。较常见的是良性脑膜瘤或I级脑膜瘤,它们很小,不会像癌性肿瘤一样无限期地生长。非典型脑膜瘤who二级,非典型脑膜瘤,也称为...

2019-12-17 17:15:34

枕骨大孔区脑膜瘤:处理少见病例的技术要点

鉴于脑干,颅神经根和椎动脉(VA)距离枕骨大孔区位置最近,枕骨大孔区及其周围的脑膜瘤对 神经外科医生 来说是具有挑战性的。已经提出了几种用于去除枕骨大孔脑膜瘤(FMM)的手...

2019-12-16 17:30:49

为什么在怀孕期间脑膜瘤会长大?妊娠期脑膜瘤如何治疗案例两则

脑膜瘤是良性脑肿瘤 的一种常见类型,有时在孕妇中会急剧增长。一项新的研究表明,这种突然的肿瘤生长可能是由于怀孕引起的血流动力学改变引起的,据《神经外科大会》的官方杂...

2019-12-13 11:04:41

恶性脑膜瘤能活几年?

脑膜瘤 是常见的原发性中枢神经系统(CNS)肿瘤。脑膜瘤根据其特征分为三级。每个级别包括不同的脑膜瘤亚型。恶性脑膜瘤是指三级间变性脑膜瘤是恶性的(癌变)。恶性脑膜瘤表现为肿...

2019-12-09 17:22:32

破除颅底“迷宫”,一文了解法国Froelich教授脑膜瘤/脊索瘤等手术精髓

大脑颅底部,包括由前向后的颅前窝、颅中窝和颅后窝,呈由高到底的阶梯状排,有着凹凸不平、有大小不同的骨孔与裂隙容纳颅神经和血管,可谓是迷宫般的通道。而这个国际上,可...

2019-12-06 16:00:30

不可能的手术:较大岩斜脑膜瘤在Froelich教授手术下完全切除

法国一位53岁男性,因三叉神经痛合并三叉神经感觉减退,在当地 神经外科医院 Lariboisiere医院,查出 左侧较大岩斜脑膜瘤 (27立方厘米)。脑磁共振(mri)显示从幕部可见明显的轴外肿...

2019-12-04 16:37:26

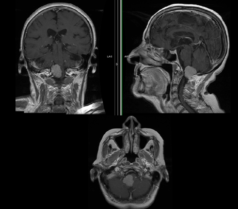
出国看病:枕骨大孔区脑膜瘤治愈率

脑膜瘤 是常见肿瘤,占全部颅内肿瘤的14.3%至19%。在全部脑膜瘤中,只有1.8%至3.2%发生在枕骨大孔区,枕骨大孔区脑膜瘤( FMMS)是具有挑战性的肿瘤,需要特别考虑,因为邻近延髓,下颅...

2019-11-28 17:27:53

大脑镰旁脑膜瘤严重么?大型镰状脑膜瘤的内镜辅助手术

大脑镰旁脑膜瘤 起源于大脑镰,约占全部颅内脑膜瘤的5-9%。库欣从外科手术的角度将大脑镰旁脑膜瘤与矢状窦旁脑膜瘤区分开来,报道大脑镰旁脑膜瘤常被覆盖的大脑皮层所掩盖,而...

2019-11-26 18:10:06

一文读懂枕骨大孔区脑膜瘤手术顺利性以及术后结果

大孔脑膜脑膜瘤 (FMM)占全部颅内脑膜瘤的1.8-4%,约占颅后颅窝脑膜瘤的6.5%。尽管显微外科和颅底技术不断发展,但枕骨大孔区脑膜瘤(FMM)的外科治疗仍然是神经外科医师面临的...

2019-11-21 17:29:50

相关