脉络膜丛乳头状瘤(CPP)作为一种良性乳头状肿瘤,主要出现在儿童的侧脑室。其中位发病年龄为4岁,大多数患者在5岁前被确诊。这种肿瘤具有十分典型的“软性子”,不仅生长缓慢,还是软的、粉红色、球形的肿块,具有不规则的突起,并且高度血管化,且像嫩豆腐般易碎。
尽管在诊断后数年有远处转移的可能,但典型的脉络膜丛乳头状瘤通常被划分为WHO 1级肿瘤,大多数患儿在全切除术后的预后良好,5年总生存率为90-100%。
如果肿瘤生长在侧脑室,通常会引起抽搐、精神改变、导致视力丧失的乳头水肿和偏瘫等局部缺陷。位于第四脑室则表现为头痛、共济失调、眼球震颤、小脑体征、头晕、视力下降、呕吐和复视。术后可能发生的并发症包括肿瘤自发性出血、肿瘤碎片的扩散和脑积水等。
脉络丛乳头状瘤的完全切除是手术治疗的主要目标。术前明确解剖位置和供血动脉是制定正确手术入路的基础。然而,如果巨大的肿瘤起源于侧脑室或第三脑室,并在这两个腔内发展,可能很难识别肿瘤的实际起源,因此要求主治医师拥有极为丰富的临床经验,以制定使患儿更大受益的治疗方案。
01. 女婴头颅增大竟是巨大脑瘤“现形”
Di Rocco教授曾接诊过一名4个月大的女婴,父母发现她的头颅异常增大,一检查才发现,一个巨大的脉络丛乳头状瘤,位于第三脑室,并延伸到了侧脑室。经囟门超声和脑磁振造影证实,在伴有继发性梗阻性脑积水的第三脑室和侧脑室确实存在肿块。

颅脑MR显示侧脑室及第三脑室内的脉络膜丛乳头状瘤
02. Di Rocco教授定制化综合治疗方案
考虑第三脑室脉络膜丛乳头状瘤已延伸至侧脑室,由于肿瘤体积巨大,血管丰富,Di Rocco教授决定为患儿先行化疗,目的是减少肿瘤大小和血管供应,以便后续切除肿瘤。之所以采用这种方法,是基于教授丰富的临床经验,以及对于高度血管化并带蒂的肿瘤辅助化疗后将有利于手术的研究结论。同时,由于供养肿瘤的细血管直径过小,因此不能考虑术前栓塞。

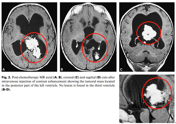
化疗后磁共振轴位(A, B)、冠状位(C)、矢状位(D)在静脉注射增强后显示位于左脑室后部的肿瘤肿块。
在接受化疗3个月后,检查显示肿瘤体积略有缩小。然而,这种轻微的大小变化与肿瘤位置的显著变化有关。此时肿瘤实际位于侧脑室,第三脑室并未受累,于是,Di Rocco教授及时调整了手术入路,采用左后顶骨入路,允许控制后方放置的供血动脉,为患儿成功全切肿瘤。

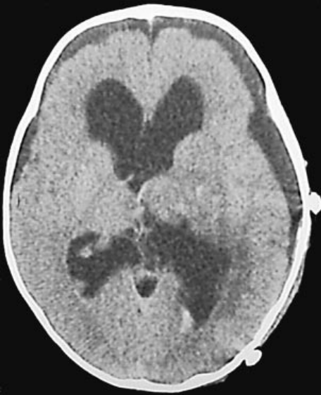
术后CT扫描显示肿瘤完全切除,存在轻微硬膜下积液以及脑室持续扩张,术后一周内即缓解。
术后患儿表现出轻微的运动障碍,各类症状得到了有效缓解,头围也逐渐回缩。术后影像学检查证实肿瘤已根治性切除,但显示在张力作用下脑室持续扩张。Di Rocco教授经内镜行第三脑室造瘘术,后放置脑室-腹腔分流术治疗脑积水。在术后9个月的随访中,女孩的神经状况良好。
INC 国际小儿神外专家团
国际儿童神外专家 Concezio Di Rocco教授

自2014年5月起,Di Rocco教授就担任了德国汉诺威国际神经科学研究所(INI)的儿科神经外科主任。从事儿童神外事业50余年,Di Rocco教授尤为擅长小儿神经纤维瘤、癫痫、脑积水、蛛网膜囊肿、颅缝早闭、脑和脊髓肿瘤、脑和脊柱畸形(半椎体畸形,皮质发育不良,脊髓脊膜膨出,脊髓内脂肪瘤,Arnold-Chiari畸形等)难治病症方面的治疗,曾进行过12000多次神经外科手术。
国际儿童神外大咖 James T. Rutka教授

教授是世界神经外科联合会(WFNS)执行委员会&顾问委员会成员之一,发表超过500多篇的文章,在临床上的研究方向以颅内肿瘤为主,对胶质瘤、纤维瘤、颅咽管瘤、室管膜瘤具有多年的临床经验,擅长清醒开颅术、显微手术和被广泛用于治疗恶性脑瘤和癫痫的国际前沿技术激光间质热疗(LITT)技术经验,对于儿童胶质瘤,尤其是高级别胶质瘤开展多项临床试验,其所在的医院加拿大SickKids是国际知名的儿童医院之一。
国际脑干手术大咖 Helmut Bertalanffy教授

教授擅长颅底、脑干病变、功能区、大脑小脑、脊髓等复杂位置的肿瘤性、血管性疾病的手术治疗,尤其擅长颅底、脑干等复杂区域病变的肿瘤切除术、神经吻合术等,脑干病变成功手术病例近千台,以精湛高超的手术技术不损伤神经功能且全切病变。巴教授历经千万个小时用超精确的物理剥除诠释了医术为何为艺术。


