眩晕的年发病率约为3.1%,患病率为22.9%。眩晕的各种原因很难识别,需要仔细检查。基于前庭症状的病理学,眩晕被分为中枢性或外周性。小脑疾病是前庭功能障碍的主要原因。位于小脑的脑海绵状血管瘤(CCM)是小脑疾病的一个例子。CCM的解剖位置对患者的主诉有直接影响。CCM是低流量的脑和脊髓血管畸形,由被内皮细胞包围的扩张的正弦通道组成,缺乏相互连接的紧密连接。脑干和小脑的CCM比幕上海绵状血管瘤少见。CCM流行病学约占总人口的0.5%,18%位于幕下。小脑紊乱可能导致中枢性眩晕症状。
CCM也被称为海绵状血管瘤,海绵状血管瘤,或海绵状血管瘤。脑干和小脑的CCM比幕上的少见。小脑海绵状血管瘤占全部幕下病例的9.3-52.9%。Horne等人在较近的荟萃分析中报道,6%的CCM发现于小脑。
在De Oliveira等人的一项研究中,全部位于小脑的CCM患者都有急性或突然发作的头痛和小脑综合征症状,如共济失调、计量障碍、眼球震颤、言语异常或呕吐。CCM患者可能因癫痫发作、局灶性神经功能缺损、伴有或不伴有出血而被送往医疗机构,或者他们可能因与CCM无关的原因在进行脑部MRI时被偶然发现。
CCM的破裂风险比动静脉畸形低。每年的出血率估计在0.7%和1.1%之间。既往出血被发现是继发出血的一个危险因素,但患者性别、病变大小、位置、多重性和影像学可见的相关发育性静脉异常不是。
CCM治疗方案包括观察、手术,在少数情况下,还包括放射手术。需考虑手术引起的发病风险。小脑海绵状血管瘤的治疗与脑海绵状血管瘤的治疗相同。患者的临床表现影响治疗计划。完全偶然的CCM保守治疗,每年核磁共振扫描。手术通常对小脑海绵状畸形患者有良好的结果。早期血肿清除可能比实际病灶清除更有利于症状缓解和局部肿块效应的缓解。严重出血和临床情况不稳定的患者可能需要急诊手术。也有人建议在出血后等待4-6周。病变残留可导致出血或癫痫发作,手术时需要完全切除。放射外科,是伽玛刀,是治疗深部和位置明确的CCM以及不接受外科治疗的患者的重要选择。
INC德国巴特朗菲教授小脑海绵状血管瘤全切案例交流
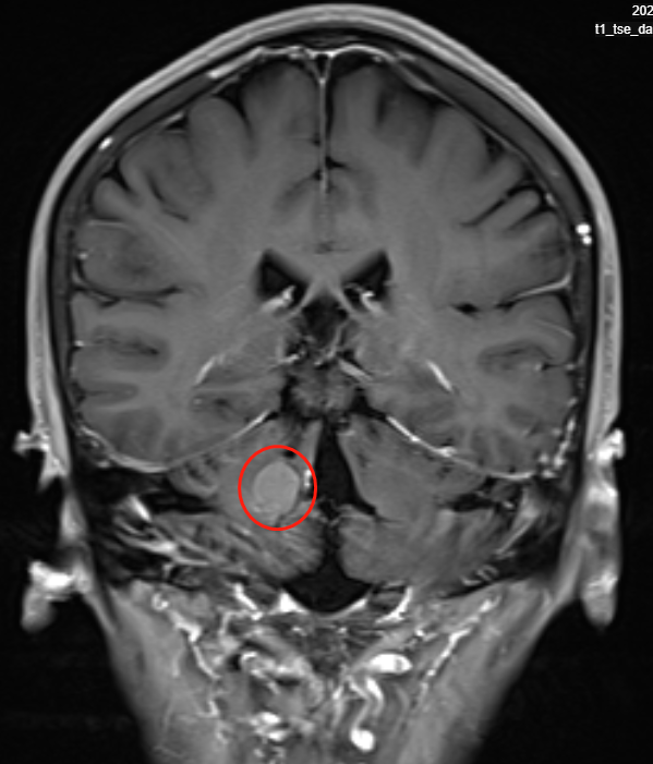
病情回顾:40多岁的赵女士因耳呜到医院检查,本以为是耳朵出了小毛病,但较后核磁检查发现右侧小脑海绵状血管瘤伴出血,大小约10mm,几天后耳呜症状消失,侍观察故无不同处理。然而距离发现仅过去5个月,赵女士就出现了头晕、头痛、呕吐,完事CT检查结果提示病灶未出血。2022年6月20日,复查CTA发现病灶再次出血。进行核磁共振检查提示:右侧小脑顶部海棉状血管瘤、右侧桥臂出血灶,国内医生建议手术治疗,但表示术后患者的症状无法完全消失,并且有症状加重的可能。听到这个答案,原本就饱受疾病折磨的赵女士情绪更加低落,如果手术后症状不但不会好转还会加重的话,那冒险手术的意义在哪里呢?

治疗过程:看着因为脑内的不定时炸弹饱受折磨的赵女士情绪一天天抑郁、精神低迷吃不下饭,赵女士家人决心要找到能够为赵女士手术并争取良好预后的主刀医生,多方查询后决定咨询INC德国巴特朗菲教授。教授就手术的切除率以及赵女士一家关心的术后症状恢复等情况做了详细解释,可以全切切除病变,术后会有轻微的神经障碍,但是经过几个月的时间恢复会回到正常状态。
得到教授的回复,赵女士的精神得到振奋,打起精神一家人决定赴德接受手术。巴教授根据患者病变的特点较终确定了相对创伤小的手术入路和手术方案。手术由巴特朗菲教授亲自操刀,将赵女士的海绵状血管瘤顺利全切。术后1天可自行持筷进食,在护士陪同下行走,术后3天在护士陪同下独自行走。
能完全切除脑肿瘤及脑血管病变,能让复发率降至较低甚至为0,能让患者获得长期生存甚至治愈,这样高水平的脑瘤手术正是巴特朗菲教授擅长的,不仅是脑干,包括丘脑、脊髓、基底节、小脑等其他疑难位置,作为教科书级别的脑瘤教授,巴教授也能做到力之能及,为这些走到绝路的患者带来希望。
INC旗下国际神经外科顾问团是由国际各发达国家神经外科宗师联合组成的教授集团,其成员教授大多为国际神经外科各的奠基者、开拓者,德国巴特朗菲教授即为INC顾问团成员教授之一。国内疑难神经外科病患(包括脑瘤、脑血管病变、癫痫等)患者若想寻求更高质量、更佳预后的手术技术,可请国际上神经外科教授评估手术方案。


