2023年9月INC中德交流项目实时报道
教授如约而来!
北京时间9月25日,国际颅底脑干肿瘤手术教授Helmut Bertalanffy(巴特朗菲)教授抵达此次中国行的一站——苏州市独墅湖医院(苏州大学附属独墅湖医院),正式开启2023年秋季中国行活动。

苏州市独墅湖医院作为此次巴教授中国之行的重要一站,届时巴教授在这里进行疑难脑瘤患者咨询,研讨较佳手术入路、手术体位,与病人家属术前谈话、主刀示范手术、术后查房察看病人恢复情况等。今日巴教授在苏州独墅湖医院的一台成人示范手术已完成,更多资讯持续关注2023巴教授中国行报道。
能不能手术、能切多少、并发症风险多高?现场面对面咨询国际神外专家巴教授
“对我来说,找到并接近病灶并不困难”
“我做过很多这样的手术,结果很好,没有长期性的问题。切除率全切在海绵状瘤中,这是可能的。”
“我在神经外科手术做了40多年,脑干上海绵状血管瘤已经30多年了”
……
2023年9月巴特朗菲教授秋季中国行进行中,昨日巴教授在苏州大学附属独墅湖医院办公室中,与来自于全国各地远道而来的疑难脑瘤患者们进行了专场面对面咨询。这位严谨中不失和蔼的国际教授以自己丰富的咨询经验和耐心细致的评估令患者连连感谢。这些疑难脑瘤患者都是什么情况呢?巴教授又是如何现场为他们评估的?一起来看看部分患者的现场面对面咨询实时报道!

33岁男士-桥臂胶质瘤,脸麻、面瘫后续治疗方案何去何从?

13时30分,韩先生(化名)走进诊室,巴教授礼貌地和他及其家属打招呼。韩先生今年33岁,罹患脑干桥臂胶质瘤,大小17mm。由于位置深,手术风险大,医生不建议手术及活检。早在2022年,韩先生由于头晕、右侧脸麻、面瘫就查出这个病灶,怀疑脱髓鞘病变。无奈持续保守观察至2023年7月,MRI复查提示病灶增大,考虑低级别胶质瘤,症状一直也并无好转。
听闻巴教授9月来华的消息后,选择远程咨询巴教授。视频中巴教授明确表示:病灶已经增大,再等六到七个月,那时也许肿瘤会长到现在的两倍大,这对患者来说并不有利。同时巴教授对这种手术有信心,患者可以得到很好的恢复。得到这样肯定的回复,韩先生准备面对面咨询巴教授。
巴教授面对面咨询后评估:
巴教授评估内容:“在你的情况下,得到明确的诊断是很重要的。今天,没有人知道这种肿瘤的确切性质。你还年轻,所以你需要知道这到底是什么。即使是局部炎症,我也不能完全排除这种可能性。但如果是肿瘤,它会不断生长。我们已经看到肿瘤在长大。所以如果你让它越来越大,而你不知道它是什么,那么有一天你会处于一种难以治疗的境地。病灶位于脑桥和桥臂右侧,一半病变在脑干内,一半病变在桥臂内。对我来说,找到并接近病灶并不困难。而且,在手术过程中,我们有一个不同的检查,测量通过脑干的运动和感觉通路,从大脑到脑干,再到手和腿。我们还通过直接刺激来测量七神经,即面神经。通过电刺激我们可以得到神经的反应。在手术过程中,这些反应指引着我。因此,如果我们看到响应下降,那么我们就会更加小心。”
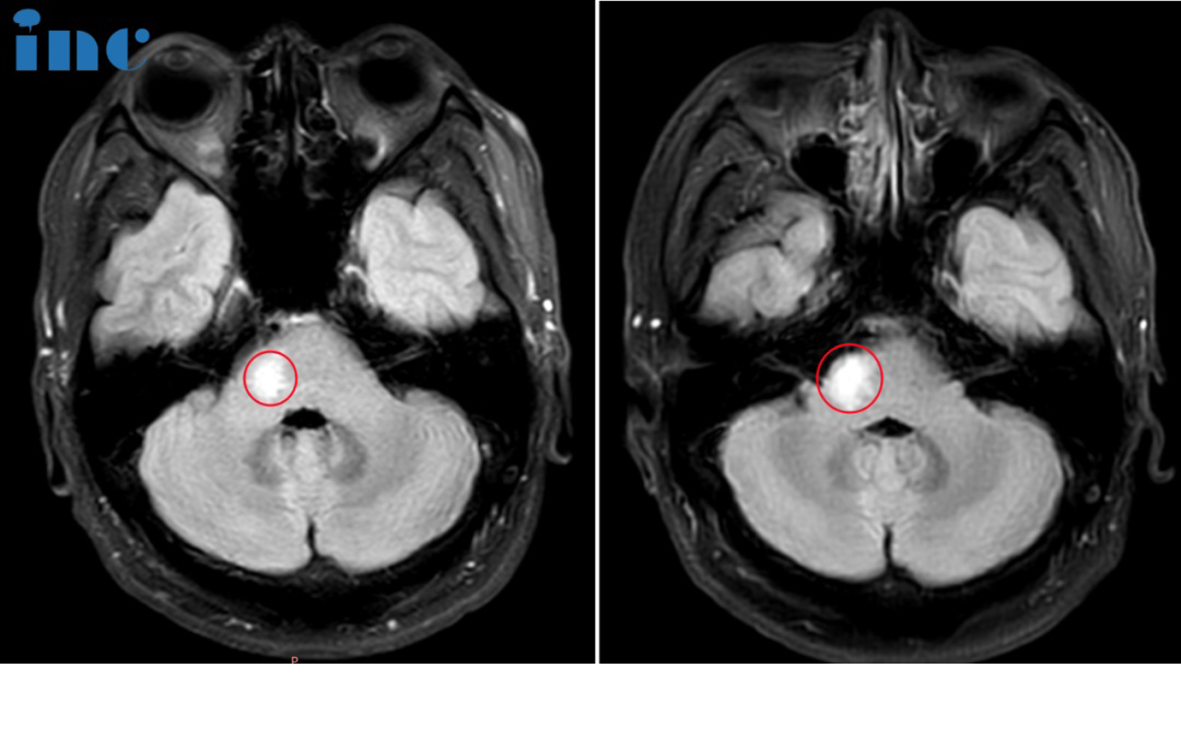
30岁年轻女性-脑干海绵状血管瘤,还能孕育新的小生命吗?


咨询室迎来2位患者,30岁的萱萱2023年3月查出中脑及桥脑右侧占位海绵状血管瘤继发出血。当地医生考虑手术风险大,偏瘫几率大,建议保守治疗。和很多年轻的脑干海绵状血管瘤女性患者一样,当她们步入婚姻自然的要迎接新的小生命。但这一直虎视眈眈的脑干海绵状血管瘤一旦伺机而动如出现急性脑干出血,而致患者和胎儿于困境中,又该怎么办?
萱萱多方打听之后,了解到在脑干海绵状血管瘤治疗领域一位国际神外教授巴特朗菲教授,专门研究过孕期海绵状血管瘤的治疗。通过INC他们远程咨询巴教授,巴教授表示这是一个潜在的手术病例,因为有相当大的内出血。然而,手术指征需仔细地被确定,因为这名年轻患者的临床状况好。我们较好在近期与患者单独面谈,详细讨论此事。得到巴教授的回复之后,他们决定再一次亲自见见巴教授,完全解决这个“不定时炸弹”。
巴教授面对面咨询后评估:
详细问诊、审阅各种影像资料后,巴教授说道:“我有很多病人都患有这种畸形。通常,出过一次血,将来发生出血的可能性很高。而且这个畸形也不太小,至少有2厘米。这意味着,我们不能指望它可以一直保守下去。另一点是,如果你想要一个孩子,那么出血的风险也很高。这是众所周知的,这是因为怀孕后的激素。与正常情况相比,血液中的怀孕激素会增加更大的可能性。其中一些病变的表面有一个黄体酮的受体。黄体酮会导致新的出血。目前也没有药物可以治疗这个疾病,因此只能手术。这种手术是我的专长。我做过很多这样的手术,结果很好,没有长期性的问题。我在独墅湖医院做了很多手术,他们这里有很好的设施。切除率全切在海绵状瘤中,这是可能的。”
同时关于他们担心的遗传以及术后何时可以孕育新生命的问题,巴教授也做了详细解答。
萱萱:我们的孩子是否有可能也患有这种疾病?
巴教授:家里其他人如果没有的话,孩子也不会有。如果你真的想知道,那么整个家庭都需去做基因测试。
萱萱:手术后我们能考虑一两年后生孩子?
巴教授:不,可能还没花那么长时间。我想说的是,在手术后至少六个月,但不需要等两年。
30岁男性-脑干海绵状血管瘤,可以顺利全切、无并发症吗?

30岁的脑干海绵状血管瘤患者江先生在父母的陪伴下走进咨询室。“你好!”
“巴教授你好!”……“Maybe we offer him a seat somewhere, we have some chairs outside?”当看到江先生父亲站在旁边时,巴教授立刻让随行的工作人员再准备一把椅子。简单的问候之后,面对面咨询正式开始。
“你是从什么时候出现症状的?大概持续了多久?”
“从2016年1月份开始,头晕、行走不稳,重影复视。大概持续了一周左右,复视好了80%左右,一个月之后走路也好转了。2016年至2018年,我大概有4次出血。18年到现在,出血有3次,但是我感觉应该没那么严重,轻微的肢体麻木……”在了解了江先生详细的病史后,巴教授结合他的影像开始分析。“这是一个典型的脑干海绵状血管瘤,从四脑室鼓出来。已经发生过这么多次出血,如果不治疗后面出现大量的出血就很危险了。所以现在建议手术切除。”
在陪伴在旁的父母更加担心的是,“我们就是怕手术有后遗症,他还没结婚。从他生病之后,我和他爸爸较担心这个。”
巴教授面对面咨询后评估:
巴教授评估内容:“到今年,我做了40年的神经外科手术,和30年的脑干手术。这就是手术的医术,在这个区域做海绵状肿瘤手术,不增加新的功能障碍。做过许多和江先生类似的病例,96%以上都是恢复的好。对于这类病人,一个好的手术是重要的。”对于江先生父母担心的这个问题,巴教授自信回复,他们并不需要担心太多,并建议他们这一次应选择手术,苏州独墅湖医院也有好的设备以及术后的康复训练师。
教授认为手术应该早做,不做带着这种恐惧。现在拿掉,在今后的生活当中,就没有这种恐惧感。而且这个疾病没有任何药物,也没有放疗可以治疗。的治疗就是手术。
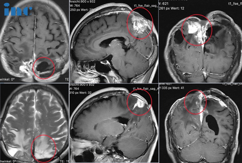
54岁女性-大脑镰旁脑膜瘤,2次开颅、放疗再次复发还有解决办法吗?

唐女士今年54岁,罹患顶叶脑膜瘤17年。较开始在北京某医院进行开颅手术,术后行放疗十余次后因伤口愈合不良终止。因皮肤溃烂诱发颅内感染,再次新开颅去骨瓣减压术及皮瓣移植术。后来病情出现反复,2020年 8 月出现走路不稳,细致动作差,行头颅 MRI 提示右枕部颅脑术后改变,左侧顶部大脑镰异常信号,怀疑脑膜瘤,再次行开颅手术。术后病理肿瘤浸润脑组织,WHO I-II 级(ki67 小于5%)。两次开颅均出现术后伤口愈合不良,癫痫也反复发作。
2021 年肿瘤再次复发,遂于北京某医院行伽玛刀治疗,放疗 2周后出现皮肤伤口溃烂。2023 年6月15日复查增强 MRI,双侧镰旁可见明显强化,较大截面积 3.0*2.9cm,较 2021 年12月有所增大。17年间2次开颅手术,2次放疗,期间多次复发。肿瘤和之前的治疗对大脑造成的损伤也导致唐女士行走不太稳、辨距不良、平衡感差等等。病情之复杂,唐女士不知道自己的病还有没有其他办法可以治疗。
巴教授在远程咨询中也为唐女士做了详细评估。从临床角度来看,患者目前的情况不需要紧急治疗。然而,从长远来看,由于局部残留肿瘤--复发或残留的大脑镰脑膜瘤--以及多次手术后的脑水肿和皮肤问题,患者可能需要再次治疗。如果要对该肿瘤进行手术,他将尝试98-99%的切除率(包括受累的大脑镰)。
再次面对面咨询时,当得知唐女士目前正在服用一种抗血管药物,如果要做手术,是要把抗血管药物停掉了5到6周以上才能做手术,这样才能风险降到较低,不然开颅出血这个风险很高。建议再复查,如果体积变大了,再做手术也是没有问题的。
INC旗下国际神经外科顾问团成员、德国巴特朗菲教授9月中国行学术交流活动进行中!线下一对一面对面咨询、示范手术咨询正在进行中。由于示范手术需要协调医院的床位、手术设备等,想要在国内咨询教授手术的患者要提前确认。


