
在这个气温骤降的冬天,
INC国际学术交流的热度远未降温。
2023年11月,
INC十多位国际神经外科不同领域教授
再度聚首上海之巅,
带来一场国际规格的云端学术盛宴,
七大国际神经外科杂志主编见面会。
INC青年神经外科医生教育基金,
北京天坛医院正式揭牌!
国内外学术交流、手术示范合作,
引导、教育、培训国际年轻神经外科医生,
加强和促进国际各国神经外科交流合作。

2024年,国际学术交流热度持续升温。
INC巴特朗菲教授1月中国行即将开启!
回顾2023,一次次中外学术交流,
神经外科前沿理论的碰撞,
一台台手术的顺利开展,
为一个个患者带来希望。
展望2024,
INC巴特朗菲教授来华行程正在启动,
为更多患者家庭带来新希望。
INC巴特朗菲教授2023年中国示范手术回顾
2023年中外交流进入新篇章,INC自开年以来不断深化中外神经外科交流合作,2023年3月下旬,INC旗下国际神经外科顾问团成员德国巴特朗菲教授(Prof.Helmut Bertalanffy)受邀顺利来华学术交流并示范手术。6月北京天坛医院聘任INC巴特朗菲教授为外籍顾问后展开多台疑难手术合作,书写中外友谊新篇章。回顾2023年,巴教授多次来华进行示范手术交流,期间多家主流媒体关注,新华社、人民日报、学习强国等中央各大媒体多篇重磅报道。

首都医科大学附属北京天坛医院

2023年,首都医科大学附属北京天坛医院正式引进INC巴特朗菲教授作为其神经外科外籍专家,多台示范教学合作手术,谱写中外合作新篇章。巴特朗菲教授多次赴北京天坛医院进行学术交流,这不仅切实为患者带来了益处,更为中外神经外科领域更高质量更深合作、更大发展作出新的更大贡献!中外专家同台手术,通过手术示范、案例探讨,就疑难脑瘤手术技术的进展进行深入交流。默契合作之下,共同点亮了多个疑难脑瘤患者新的希望。

北京天坛医院聘请巴教授为外籍专家聘书


▼46岁女性-听神经瘤

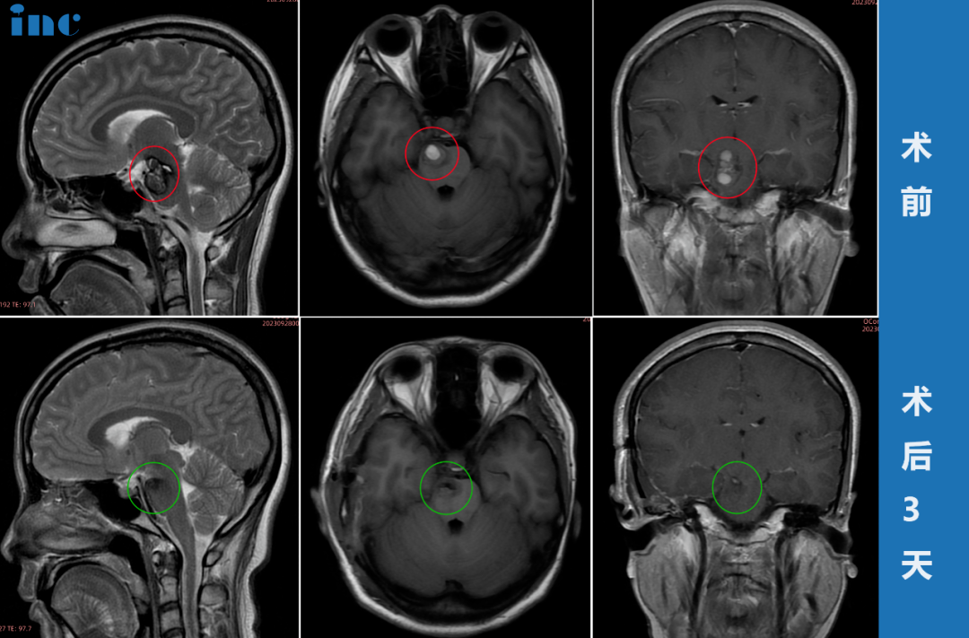
▼36岁女性-松果体区肿瘤

苏州大学附属独墅湖医院

苏州大学附属独墅湖医院作为巴教授中国之行的重要一站,巴教授在这里为疑难脑瘤患者研讨较佳手术入路、手术体位,与病人家属术前谈话、主刀示范手术、术后查房察看病人恢复情况等。



巴教授与中国行部分疑难神外患者及其家属温馨合影
2023年至今,巴教授在苏州大学附属独墅湖医院完成了近40台高难度脑瘤手术示范。每一台手术对医者来说,都是较大的挑战,对每个家庭来说,也意味着深切的希望和期盼。在团队的配合下,巴教授进行较大水平的肿瘤切除,且完好地保留了患者的正常神经功能,手术均顺利完成。目前,这些患者术后恢复良好,全部患者均已顺利出院。
▼部分苏州独墅湖医院巴教授成人示范教学手术患者术前影像,接受手术的多名患者肿瘤分别位于脑干、脊髓及丘脑、基底节、桥臂、松果体、鞍区、功能区、CPA桥小脑脚区等疑难位
▼34岁男性-脑干延髓胶质瘤

▼30岁女性-脑干海绵状血管瘤

▼20岁女性-胸髓髓内海绵状血管瘤

▼30岁女性-丘脑海绵状血管瘤

▼80岁女性-颅咽管瘤

▼23岁男性-半卵圆中心海绵状血管瘤

苏州大学附属儿童医院

2023年至今,在苏州大学附属儿童医院,除了正常的教学、病例讨论和查房外,巴教授还指导了多例疑难脑瘤患儿的手术。


▼今年,截至目前巴教授指导手术的部分儿童例的术前磁共振资料,肿瘤位于脑干、脑室、桥臂、颞叶、小脑等疑难位置。(部分儿童案例)
▼11岁男孩-四脑室肿瘤

▼13岁男孩-脑干脊髓胶质瘤

▼6岁女孩-颞叶岛叶胶质瘤

中外专家携手攻克疑难手术病例,INC打造国际化学术交流平台
今年已经是INC巴特朗菲教授正式受聘在华进行教学和学术交流活动的5个年头了。讲课带教、参观交流、与国内专家合作手术示范、公益互助……每次教授来到国内医院都会与中国神经外科医生团队更进一步地深入交流。多次国内示范手术的合作及交流,也让巴教授与国内手术团队有了格外的默契。
对于神经外科手术,他们有着共同的目标,“在我们站上手术台的那一刻起,我觉得我们今天这个手术只能成功,我们没有任何退路、不能退缩。”由于巴教授国内示范手术多数都是高难度的,也让国内越来越多的青年医师能够获得更多的知识,解决了很多临床上以前解决不了的问题,这就是中外交流的意义所在,也是巴教授一次次中国行的意义所在。
近年来,国内神经外科技术进步迅速,国内外神经外科医生均有进一步提升技术的强烈意愿。INC为国内神经外科的进一步发展提供广阔的交流平台,建立完善的中外学术交流合作模式。秉承着促进国际神经外科技术与学术交流的理想,INC自成立以来,主办了多场旗下顾问团国际教授的专场学术沙龙、多次国际神经外科教授来华的亲自手术示范指导、三届神经外科中外交流年会,两场国际神经外科杂志主编团见面会,在国内的反响热烈空前。INC致力国内外神经外科学术交流的同时,旗下国际神经外科顾问团的教授也会为一些国内治疗未果或手术风险较大的脑肿瘤及神经外科疾病患者进行示范教学手术。国内患者无需出国即可在INC合作的多家公立医院接受INC旗下国际神经外科顾问团的海外教授专家亲自实施的示范教学手术。
回顾2023年,一批国际神经外科教授在华开展学术交流、示范手术,推进了中外神经外科领域专家学者良性互动,为国内复杂位置、较高难度的神经外科疾病患者提供更多治疗选择和新的希望。随着学术交流的深化合作,国内外神经外科科医生期待更多面对面沟通交流、切磋手术技巧的机会,更能拉近彼此的距离,增加相互了解。2024年的学术交流计划倍受瞩目。INC还将邀请国际各国的神经外科教授来到中国进行学术交流、示范手术,展开多样化交流与合作。



