国际神经外科联合会颅底手术委员会前主席、INC法国Sébastien Froelich(福洛里希)教授3月底“中国行”进入。。。!一直被国内外同仁誉为“国际神经内镜及颅底手术的教授”,以神经内镜技术及显微神经外科手术较为见长。他神经内镜“筷子手法”,为国际神经内镜发展和颅底显微手术技术进步贡献卓著。此次行程,国内神经外科同仁将有机会和福教授共同交流学习、一睹这位神经内镜国际教授的风采。
除了学术交流,疑难颅底肿瘤示范教授手术也是“中国行”重要行程之一。“很幸运地遇到了您,您给予了他二次生命!”奋力挽救、家属感谢、他为一个个中国家庭带来希望。国内脊索瘤、复杂脑膜瘤、颅咽管瘤、垂体瘤等患者也将有机会邀请这位国际神外颅底手术专家,亲自主刀实施高难度颅底肿瘤示范教学手术。

中外专家盛赞福洛里希教授
“我想发自内心的向全部中国患者,对于那些患有颅底肿瘤以及其他神外疾病的患者们,是能够通过神经内镜手术治疗的疾病,我建议Froelich教授作为你们的咨询及手术医生。”
——INC巴特朗菲教授
“我以为Froelich教授内镜做得好,但是没想到教授的显微镜也做得好,我觉得法国全部高难度的脊索瘤,全都在教授一个人手里,另外他岩斜区的肿瘤做得也好”
——苏州大学附属四医院神经外科黄煜伦主任
“法国的Froelich教授,首先提出这个‘chopsticks technique(筷子技术)’,使用筷子是我们中国人较会用的,但是这个技术倒是Froelich教授提出来这个技术,它确实有大的好处”
——无锡二人民医院神经外科王清主任
2023年度,INC法国Froelich教授三次来华均受到中国神经外科领域的广泛关注。多家官媒曾报道了Froelich教授来华对国际合作的意义。Froelich教授作为国际“双镜联合”的教授,神经内镜及显微镜综合运用,致力患者更好的预后。

神经外科显微镜+内镜”双镜联合“手术教授
复杂颅底手术的国际高手
福教授教授曾在一次专访中谈及作为一名神经外科医生对于颅底手术的看法:这是一场场为患者的战斗,不仅是生命更是生存质量而进行的一场战斗,而福教授作为国际颅底手术教授,这样的战斗他有着自己的坚持和信仰。
INC法国福洛里希教授
”双镜联合“手术教授
“颅底手术或者说全部手术都不是为切除肿瘤而战,而是为了病人而战。因此,不考虑病人的状态以及病人的预后切除病灶或按照病理治疗是很简单的。但是我们不应该忘记,虽然病人是沉睡的状态但是患者将会醒过来,较重要的事情是他会如何醒来,术后他会怎样生活。这也是我从日常工作中能够忙里偷闲的放松,因为有时候你需要到外面呼吸一下新鲜空气,也需要汲取新的想法,与他人交流。我认为离开自己的地方,找到新的技术和经验,再带回来是重要的。”
颅底肿瘤可位于颅底的不同位置,是颅神经、大动脉血管、血管丛、静脉窦群集的区域,但此处肿瘤完整地切除而无严重的并发症困难,是现代神经外科一直在开拓的领域。
而对于颅底肿瘤患者而言,由于肿瘤的复杂性,他们往往难以抉择,手术还是放疗?内镜还是开颅?从而治疗陷入迷雾之中……
INC法国福洛里希教授对于开颅手术及神经内镜各个手术入路都运用得炉火纯青,并了神经内镜“筷子技法”,娴熟得运用到颅底肿瘤的手术之中。针对复杂颅底肿瘤,福洛里希教授会根据具体病情,内镜或是开颅、还是选择神经内镜+显微镜“双镜联合”,从而达到肿瘤较大水平的顺利切除,确定患者的术后生活质量,带来更好的预后。
INC法国福洛里希教授
部分精彩案例交流

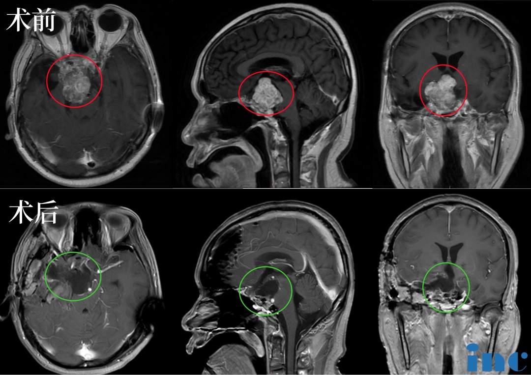
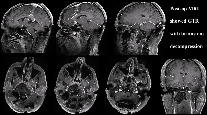
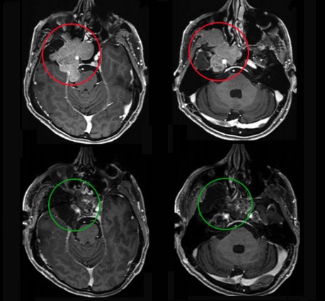
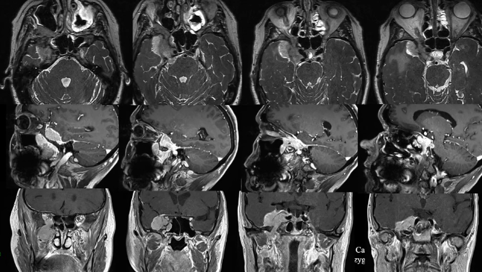
48岁男性较大脊索瘤复发,“双镜联合”成功手术

6岁男孩较大脊索瘤单、鼻孔8mm切口、不开颅成功手术


26岁男士较大颅颈交界区脊索瘤压迫脑干,福教授双镜联合全切巨型脊索瘤

21岁女性颅颈交界区脊索瘤

53岁男性高难度岩斜区脑膜瘤

53岁男性累及海绵窦和Meckel's腔的脑膜瘤

75岁女性-视神经管脑膜瘤,肿瘤切除与好转视力如何兼得?

52岁女性-较大蝶窦-海绵窦脑膜瘤,如何才能顺利手术?

35岁男性后视交叉性较大颅咽管瘤

37岁女性蝶鞍中央垂体瘤

福教授往期中国行学术交流回顾
INC推动国际学术发展,法国福洛里希教授来华,多次参与学术活动。跟随我们一起回顾这些交流的精彩瞬间!
01
2023年5月13日,INC上海办公室
学术沙龙议题:《岩斜区脑膜瘤和内镜技术的前沿技术》
福洛里希教授以“岩斜坡脑膜瘤的治疗策略”为议题的学术沙龙活动在INC中国代表处正式展开。10多名来自全国各地医院的神经外科主任级别专家,与福洛里希教授展开神经外科手术技术探讨和临床经验交流。
02
2023年11月24日,北京天坛医院神经外科中心
演讲议题:《颅底及颅颈交界区卷索瘤》
2023年11月24日,2023北京神经外科创新与发展国际研讨会、2023北京天坛医院神经外科中心学术大会在京召开。此次会议由首都医科大学附属北京天坛医院神经外科学中心承办。福教授受邀发表《Skull Base and Craniocervical Junction Chordoma颅底及颅颈交界区脊索瘤》精彩演讲。


03
2023年11月25日,INC年度云端峰会
演讲议题:《颅底手术发展新趋势》
INC国际神经外科医生集团“三届国际神经外科顾问团云端峰会”于中国一高楼,被誉为“上海之巅”的上海中心大厦的J酒店开幕。INC旗下国际神经外科顾问团(WANG)十多位成员教授再度聚首上海,以“Neurosurgery is art”为主题,与国内专家共话神外美学!近百位国内神经外科专家受邀参会,见证了这场云集多位国际“教授”专家的国际神经外科界较高规格的学术盛宴。
福教授同参会的国内外神外医生们交流了“New trend in skull base surgery”颅底手术发展新趋势这一学术课题。


04
2023年11月26日,苏州大学附属四医院
福教授受邀参会二届独墅医帜颅脑解剖培训班暨苏州市2023年继续医学教育项目“神经解剖培训”会议,并参与揭牌“苏州大学附属独墅湖医院神经外科临床解剖实训基地”。同时,福教授还进行神经解剖培训课程,现场讲解Kawase入路理论及解剖实操。



