2024年巴教授3月疑难脑瘤示范手术实时报道

“巴教授被称为是“脑干手术”,他确实是做一些别人不敢开的刀。他通过自己的实践后发现大家都认为这个地方(脑干)不能切,他觉得可以切。大家都认为这个只能切到百分之二三十,他可能切百分之七八十也没有问题,这个是我们较迫切需要的。”这是中国示范手术合作神经外科团队,对巴教授的高度称赞。
北京时间2024年3月27日,“国际脑干教授”,国际神经外科联合会(WFNS)教育与技术委员会前主席巴特朗菲教授匆匆走出苏州大学附属儿童医院手术室。这是一名年仅7岁的脑干海绵状血管瘤患儿,脑干出血病情危急。通过医院、铁路部门等多方联动,患儿千里迢迢被转运到苏州手术,终于抢救成功。而巴教授作为这台手术的主刀,携苏州大学附属儿童医院神经外科团队为生命中枢“排雷”,帮助果果重获了新生。

▼和中国神经外科团队手术前进行严密的讨论准备

▼巴教授全程主刀示范手术

手术室外,患者家属焦急等候亲人的音讯,他们内心期盼着亲人顺利从手术室出来后,所受病痛能得到消散。“顺利!”当他们听到巴教授用中文说着这个好消息,他们也激动的连连道谢。
“下午还有几个术前谈话和面对面咨询、远程咨询。”由于慕名而来的患者太多,自抵达中国当日,巴教授就已投入此次密集的行程之中。
巴教授抵达苏州大学附属四医院(苏州市独墅湖医院)后,便与独墅湖医院神经外科团队对患者病情进行了综合评估,为即将手术的患者进行了手术排期。由于肿瘤位置不同,手术难度较大、风险较高,手术团队组织了病例讨论,并制定了详细的手术计划。

3月份示范手术患者部分术前谈话
18岁少年脑干海绵状血管瘤多次出血
春节前夕紧急咨询巴教授快速确定手术
“我们比较关心的还是孩子,因为才18岁,动手术的风险和后遗症,我就担心这两点。巴教授就像我们的救命稻草一样,因为孩子之前发病都要都要崩溃了,哪个医院都治不了……”

在苏州大学附属四医院——巴教授咨询室内。18岁脑干海绵状血管瘤患者小林坐着轮椅,抱着一束象征着希望的向日葵,在母亲的陪伴下来到这里。“巴教授,送给您!”
“病灶有3cm了,不能再等了,所以需要手术……”
“症状恢复会很慢吗?因为我想8月份上学,能上吗?”
“I am sure(我确信可以的)!在你这个年龄,99%的机率是可以恢复的。”
“我们能遇到您,我们很幸运!”


小林一开始出血时症状较轻,然而2024年春节前夕,再次出血。右侧胳膊出现明显麻木,腿部无力,无法行走。对症治疗后可以走路了,但是麻木还是很明显。学习成绩优异的他,对于自己要求较高,同时也急切希望找到更好的治疗途径。当得知巴教授即将来华的消息,春节前一两天,小林和母亲立刻咨询巴教授。巴教授也在春节期间迅速回复。再次远程视频后,更加坚定了手术的决心。
时间就是生命,已经休学的他,迫切希望巴教授能够早些为自己手术,重回校园。自孩子得病后,爱子如命的母亲即使崩溃,但仍保持理性,走好治疗之路的每一步。巴教授对于手术也充满自信,并表示“without complications”。
47岁女性-右侧半卵圆中心海绵状血管瘤
“时间管理做到好的女强人”
看病亦是如此!
“我就放心了,我就睡一觉就可以了!我什么都不用管,就交给巴教授。”
巴教授正在为一名脑干海绵状血管瘤患者以及家属讲述她的病情及手术方案。目前病灶比较小,距离功能区深部的基底节有距离,离运动的纤维也有距离,所以现在去把它拿掉相对顺利一些,等它变大了,功能有影响了,就比较难。

对于47岁的邓女士来说,2024年3月1日是她人生的一个重要节点,在这之前她从未想过罹患脑海绵状血管瘤。确诊后,在焦虑中度过每一天,连吃饭、睡眠、工作等都受到了影响。咨询了上海的专家,但是医生的解释让他害怕,病灶部位太深,靠近功能区大脑皮层,手术风险大。
邓女士对于工作一直有着较强的责任心及较高的自我要求,因此才有了今天的成就。把“时间管理做到好的女强人”,当面对疾病时,也是如此。虽然这些症状虽然没有带来太严重的影响,但是工作上,太多事情等着她去处理,这个问题需尽早解决。长期出国出差的她,工作繁忙不可避免。这个位置的海绵状血管瘤较易引发癫痫,如果在出差的过程中,长途飞行的过程当中发生了癫痫,将危险。她开始搜寻资料,了解到了巴教授。理性、坚定,深入了解、果断决定,一步步推进自己的治疗。

面对面咨询患者及视频咨询同期进行中
带着行李来到苏州的他们
只为这一次示范手术
灿灿正在进行高考前的然后冲刺,却查出脑干海绵状血管瘤,医生认为位置不同,手术风险大,暂时观察。后病情稳定,左眼视力有所好转,无其他症状。成功进入大学的她,在随访中发现血管畸形轻微变大。远程视频中,巴教授不建议等很久,有可能发生大出血。没想到保守观察期间,灿灿再一次症状加重。这一次,当得知巴教授来到国内时,灿灿一家人带着行李,对于手术他们充满了期待。


岛叶、颞叶、额叶较大胶质瘤
手术是首要选择

“想问一下教授除了手术还有其他的方案吗?”,手里拿着整理好的资料和问题,顾先生担负着妻子的期望来到巴教授咨询室。2019年,30岁出头的妻子由于左腿麻木及幻听症状检查发现岛叶占位。随后行肿瘤切除手术,术后病理结果显示:右侧颞叶弥漫性胶质瘤(星形细胞瘤WHOⅡ级)。2023年5月,常规随访CT检查显示肿瘤增大。2024年1月妻子开始频繁出现癫痫症状,核磁影像显示肿瘤进展或复发。

巴教授认真查看了核磁影像后表示,目前肿瘤已经有了明确的手术指征,虽然肿瘤呈弥漫生长,但是这个位置自己能够达到85%到90%的切除率。首先由于肿瘤已经涉及岛叶、颞叶、额叶,体大。其次一开始术后病理为二级,需要手术明确目前肿瘤是否恶化。对于他们关心的除了手术的其他方案外,对于胶质瘤的治疗,标准就是较大水平手术切除后再进行后续辅助放化疗治疗。
背着电场治疗设备的他
为何一心寻求手术?

巴教授咨询室里来了一位看起来“奇怪”的患者,他背着大大的书包,头上的包裹纱布连着粗细不均的电线。这位就是49岁小脑半球-脑桥占位性病变患者王先生。2021年行开颅手术切除部分桥脑肿瘤后,至今王先生都在长期接受替莫唑胺化疗和电场治疗。

此次咨询巴教授,王先生想请教这位国际神外教授,目前自己是否有手术的必要性,后续治疗有什么需要注意的要点。巴教授在查看了王先生的状态后表示,目前王先生肿瘤偏良性,手术及术后的治疗都合适及时所以目前并没有手术的指征,维持目前的治疗。但是如果后续肿瘤进展出现症状的话,巴教授可以为王先生手术。
偶然查出脑干占位性病变巴教授能做手术吗?
切除率达到99%或全切

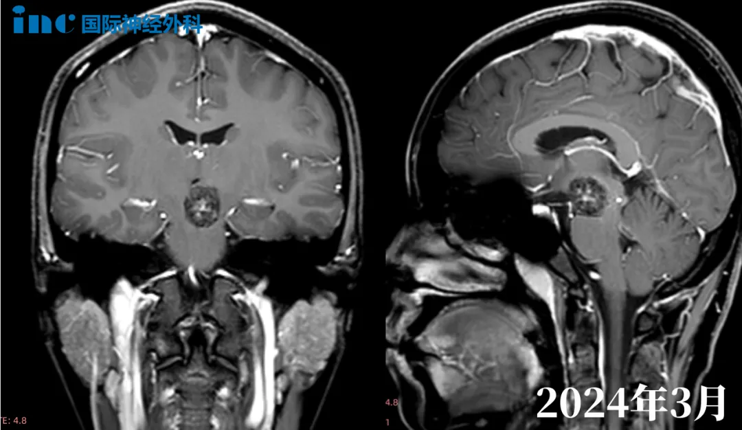
3岁男孩浩浩2024年2月偶然查出脑干占位性病变。多地寻医,得到的结果却大不相同。有的医生认为还是疑似弥漫性中线胶质瘤,也有认为是毛细胞星形细胞瘤。然而不管何种说法,医生都表示对于孩子脑干病变的手术难度很大,术后可能会有偏瘫的风险。虽然孩子目前除了右手力量减弱外暂时没有出现严重的症状,但是父母都想尽早为孩子找到更好的治疗手术方向。2024年3月27日一大早,当看到国际脑干手术教授巴教授抵达中国的报道后,他们便尽快拨通了INC的官方电话,寻求巴教授的咨询意见。

INC工作人员紧急整理了浩浩的资料,当天就送到了目前在苏州进行示范手术的巴教授手中,并于3月27日晚上就和浩浩父母连线进行了视频咨询。
视频咨询中巴教授就孩子目前能否进行手术、手术切除率、术后风险、手术复发率等问题进行了回答。巴教授表示孩子目前脑干肿瘤尺寸已经很大,需要尽快进行手术。目前影像来看巴教授偏向于浩浩是局灶性肿瘤,自己有过全切切除的类似案例,如果要手术,切除目标也依然是全切切除。术后病理是毛星的话孩子的预后会很好,切除率达到99%或全切,复发率也会较低。巴教授的评估为浩浩父母重燃希望,决定请巴教授做手术。


